医影在线

标题: CT13403:M,85Y。胆系低位梗阻。胰头占位? [打印本页]

作者: 光影★小胖    时间: 2008-5-12 05:59
标题: CT13403:M,85Y。胆系低位梗阻。胰头占位?
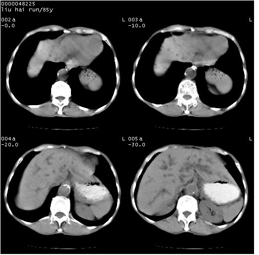
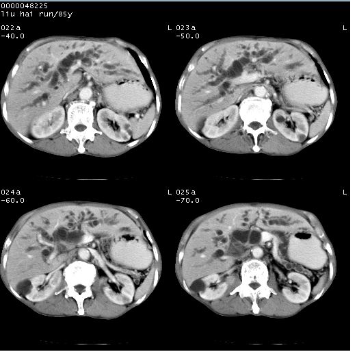
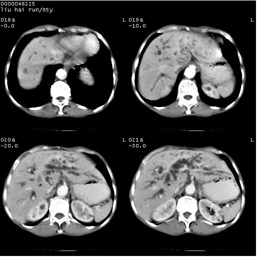
彩超示胰头实质欠均匀,胰管扩张。















[本贴已被 翁志蓬 于 2008-5-12 0:29:56 修改过]

作者: 358450m    时间: 2008-5-12 06:04
胆系低位梗阻。胰头占位
作者: panyishengct    时间: 2008-5-12 06:11
胆系低位梗阻。胰头占位
作者: liangshusheng    时间: 2008-5-12 06:19
壶腹周围癌可能。
作者: 宇宙CT    时间: 2008-5-12 06:27
胆系低位梗阻。胰头占位
作者: luochengyi    时间: 2008-5-12 06:44
胆系低位梗阻。胰头占位
作者: liufaming    时间: 2008-5-12 06:57
有“双管征”,胆总管胰头段突然中断,考虑为胰头癌。
作者: xuyinsheng66    时间: 2008-5-12 07:27
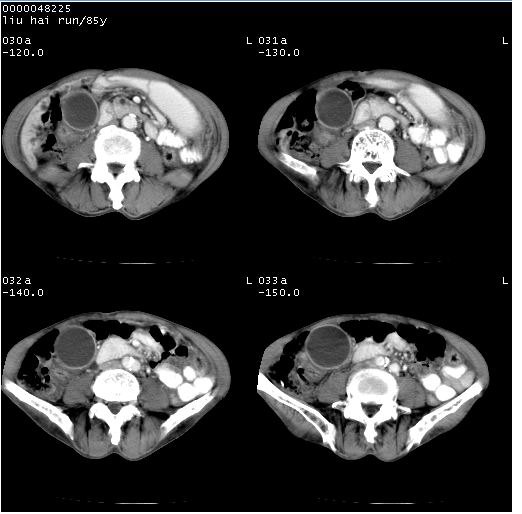
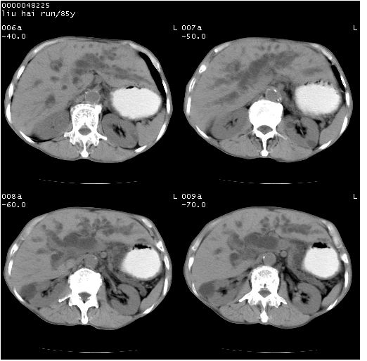
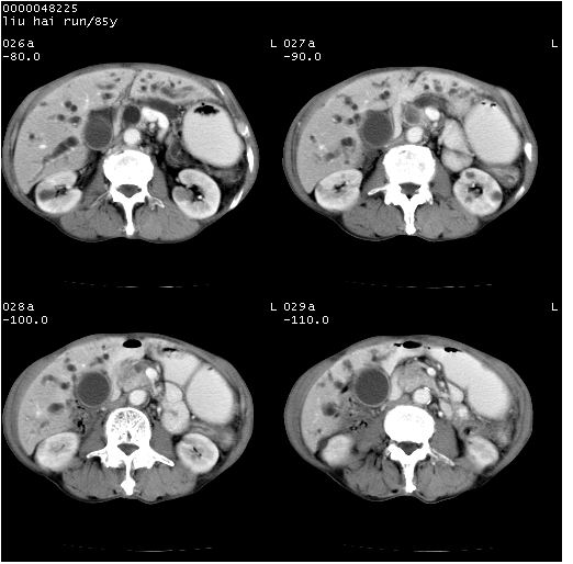
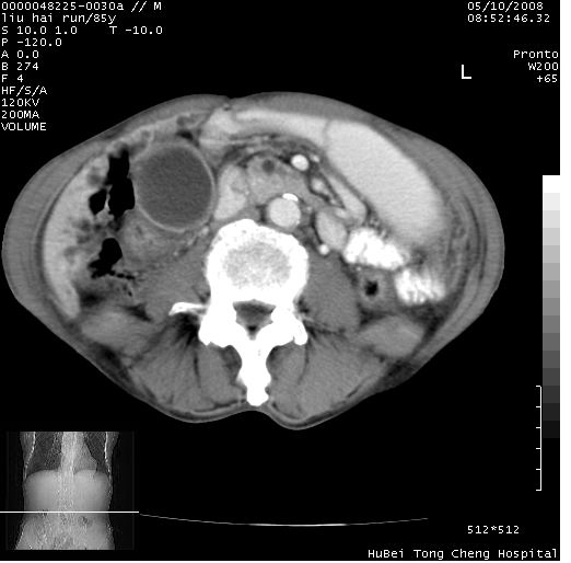
影像表现:壶腹部扩张胆管呈截断样改变,肝内外胆管重度扩张,胆囊增大,胰管亦明显扩张,呈不规则患珠样,胰体尾部略有萎缩,增强扫描后壶腹部低密度影轻度强化,与钩突分界不清。
ct诊断:胆管癌。鉴别诊断:胰腺癌,胰腺癌为少血供肿瘤,增强后强化不明显,静脉期及延时后与正常胰腺分界清晰。
作者: yangyudong333    时间: 2008-5-12 14:32
胆系低位梗阻。胰头占位  
   
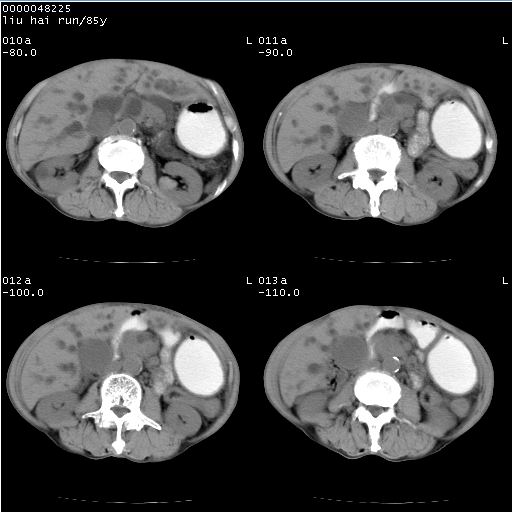
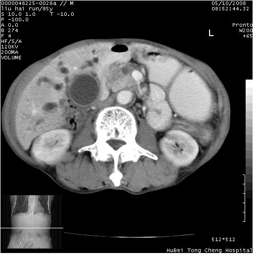
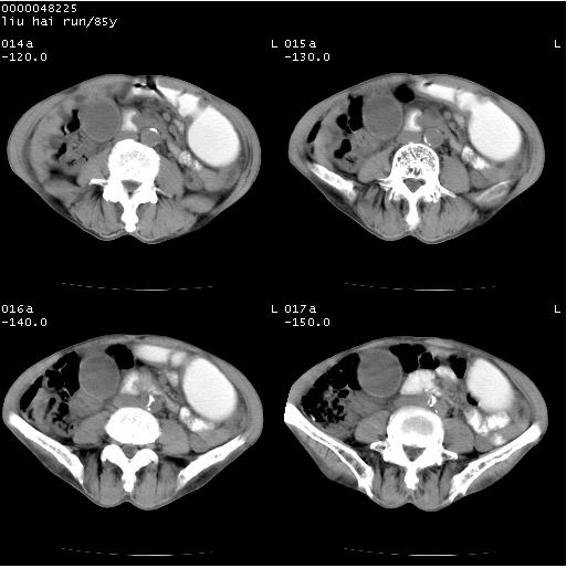
双肾多发囊肿
作者: 卜一    时间: 2008-5-12 14:42
胆系低位梗阻。胰头占位!支持!
作者: 杀毒软件    时间: 2008-5-12 15:56
支持胆系低位梗阻。胰头占位  
   
双肾多发囊肿
作者: 形影不离    时间: 2008-5-12 16:11
1.胆系低位梗阻,原因待查。建议进一步检查。2.双肾多发囊肿。
作者: mzh123    时间: 2008-5-12 16:34
标题: 回复:ct13403:m,85y。胆系低位梗阻。胰头占位?
以下是引用xuyinsheng66在2008-5-11 23:27:00的发言:[br]影像表现:壶腹部扩张胆管呈截断样改变,肝内外胆管重度扩张,胆囊增大,胰管亦明显扩张,呈不规则患珠样,胰体尾部略有萎缩,增强扫描后壶腹部低密度影轻度强化,与钩突分界不清。[br]ct诊断:胆管癌。鉴别诊断:胰腺癌,胰腺癌为少血供肿瘤,增强后强化不明显,静脉期及延时后与正常胰腺分界清晰。

双肾囊肿
作者: haha215315    时间: 2008-5-12 16:50
胆系低位梗阻。胰头占位
作者: 深泽交通    时间: 2008-5-12 20:13
zhi chi 2
作者: zsl6918    时间: 2008-5-12 20:19
胆总管下端突然截断,胰腺萎缩,胰管扩张,肝内外胆管扩张,考虑胆总管下端癌可能性大。不除外胰腺钩突占位。
作者: 随光逐影    时间: 2008-5-12 21:32
1)胆系低位梗阻(肝内外胆管扩张、胰管扩张、胆囊增大);考虑为:胰头癌可能性大,不排除胆总管下端癌。2)双肾多发囊肿。
作者: zjzjr    时间: 2008-5-13 00:11
胆总下端突然截断,肝内胆管呈软藤样扩张,支持胆管癌可能性大,建议mrcp.
作者: dyqct    时间: 2008-5-13 01:22
标题: 回复:ct13403:m,85y。胆系低位梗阻。胰头占位?
以下是引用yangyudong333在2008-5-12 6:32:00的发言:[br]胆系低位梗阻。胰头占位  [br]   [br]双肾多发囊肿

支持!
作者: 拾荒者    时间: 2008-5-14 05:10
标题: 回复:ct13403:m,85y。胆系低位梗阻。胰头占位?
以下是引用随光逐影在2008-5-12 13:32:00的发言:[br]1)胆系低位梗阻(肝内外胆管扩张、胰管扩张、胆囊增大);考虑为:胰头癌可能性大,不排除胆总管下端癌。2)双肾多发囊肿。

作者: 黑白光影    时间: 2008-5-14 05:45
1.胆系低位梗阻,原因待查。建议进一步检查。2.双肾多发囊肿。
作者: dr.yang    时间: 2011-12-6 06:59
:[br]1)胆系低位梗阻(肝内外胆管扩张、胰管扩张、胆囊增大);考虑为:胰头癌可能性大,不排除胆总管下端癌。2)双肾多发囊肿。




欢迎光临 医影在线 (http://bbs.radida.com/bbs/) Powered by Discuz! X3.2