医影在线

标题: CT13417:M8Y,头部,舌麻木一月 [打印本页]

作者: XIANXIANZHONGYI    时间: 2008-5-13 03:09
标题: CT13417:M8Y,头部,舌麻木一月
48m,明天如果强化了再上传。











[本贴已被 jiajie 于 2008-5-12 19:30:42 修改过]

作者: kbzyycm    时间: 2008-5-13 03:25
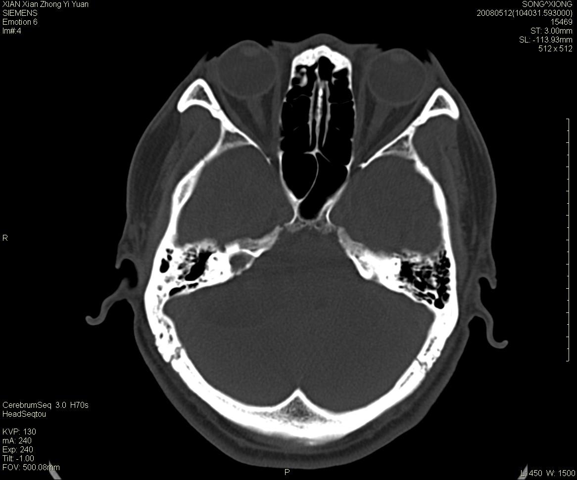
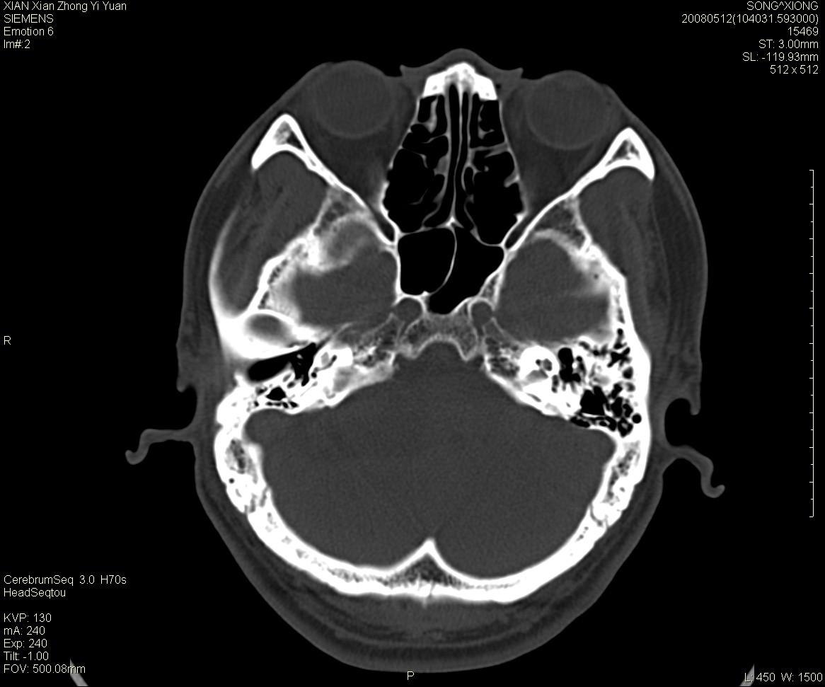
考虑听神经瘤,内听到扩大。
作者: liuyue    时间: 2008-5-13 03:57
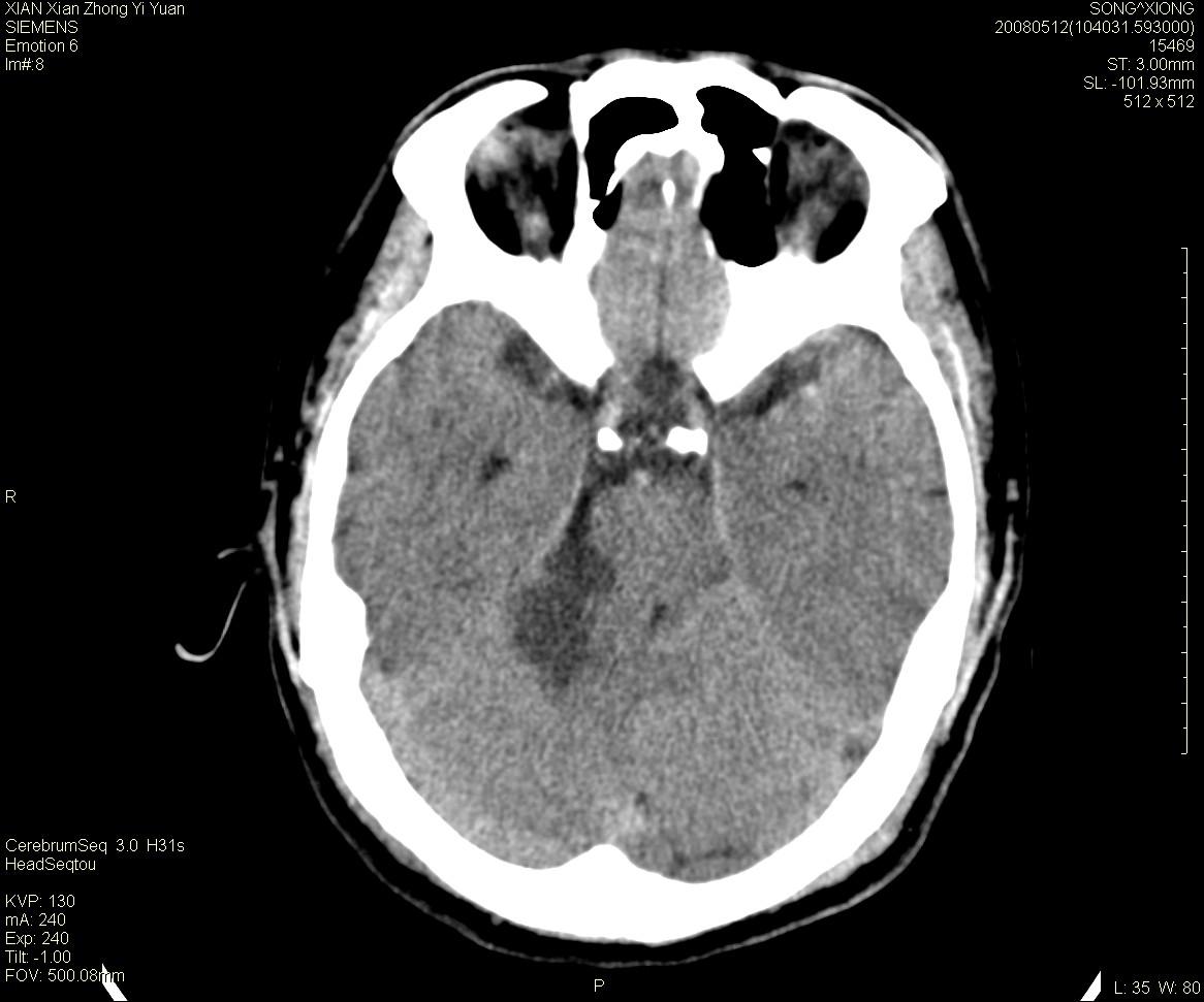
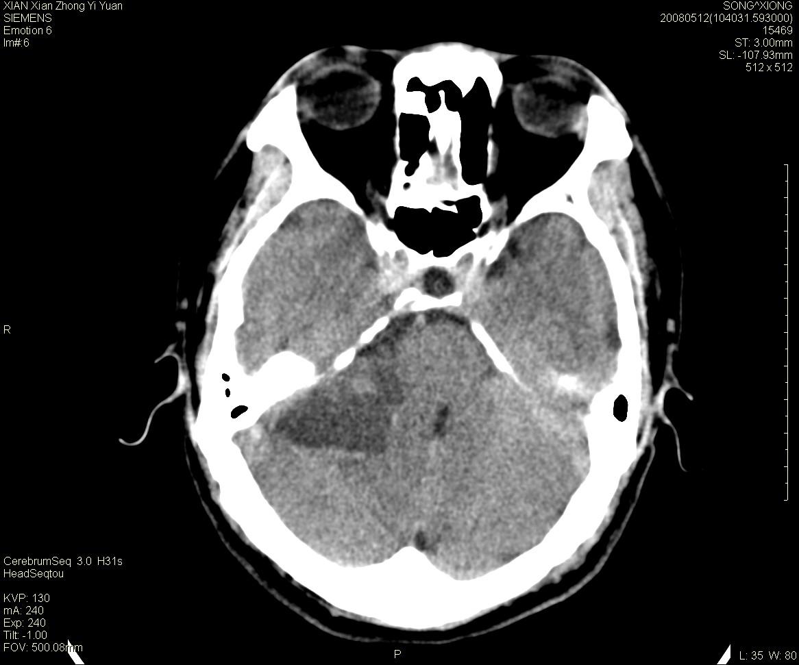
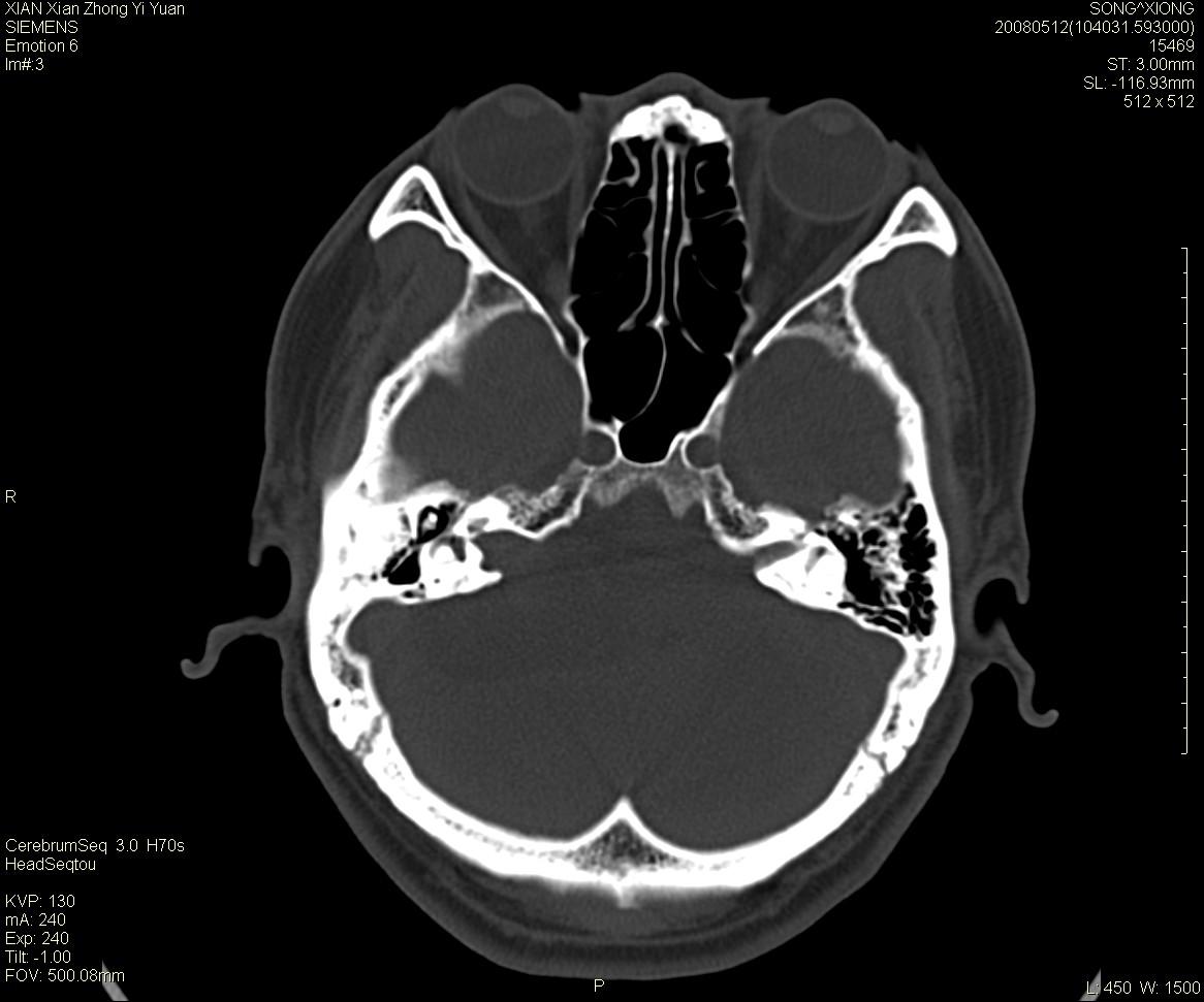
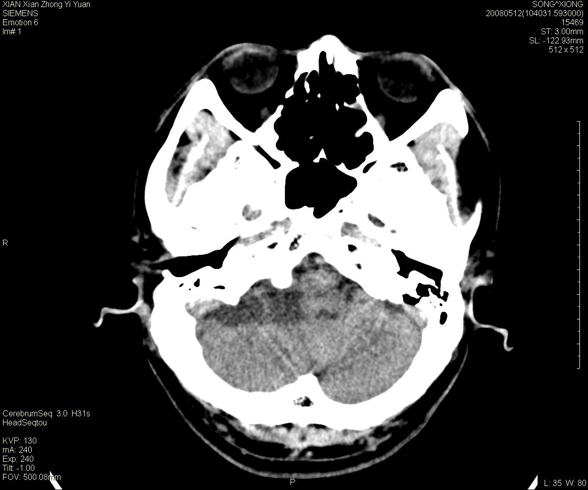
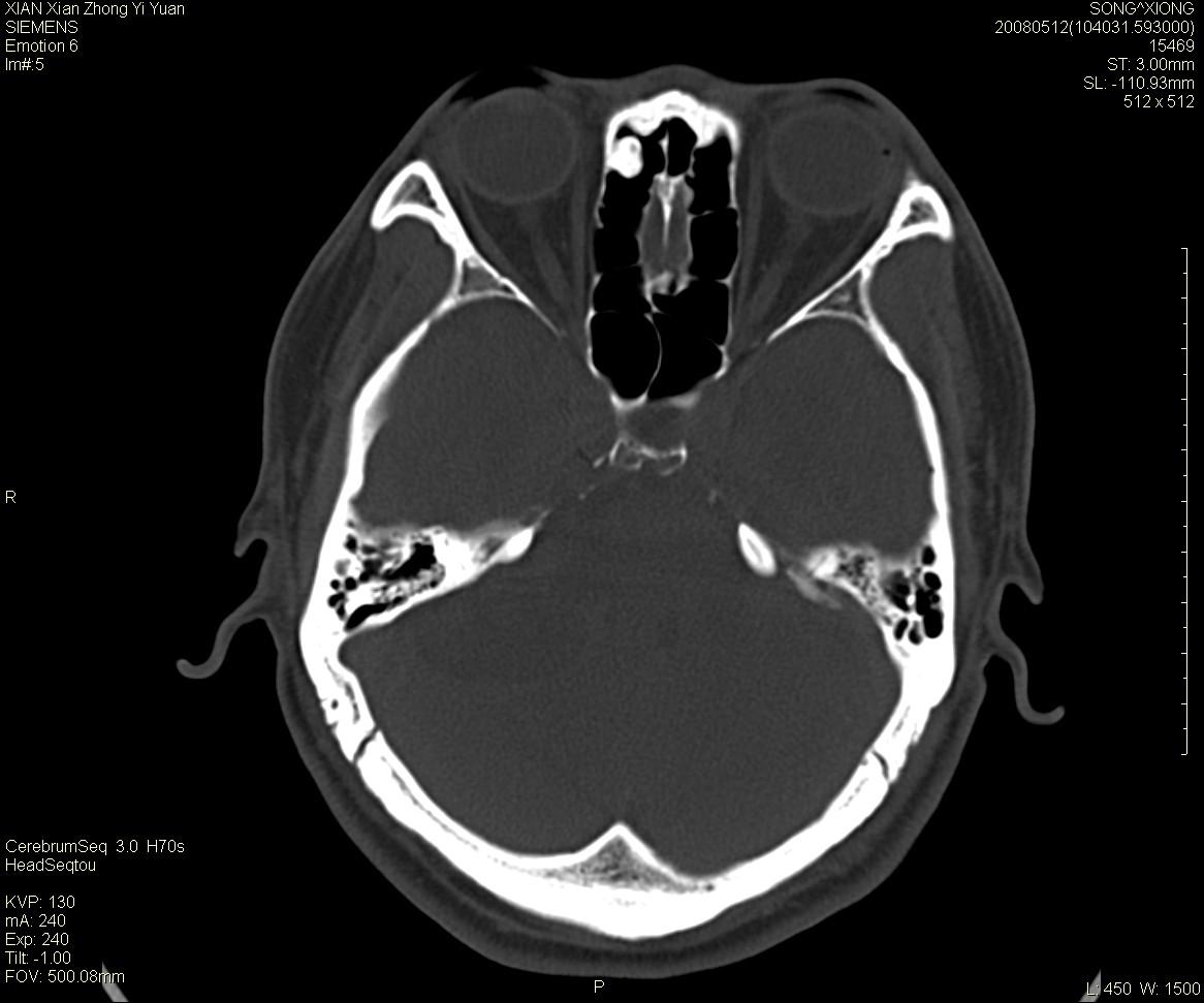
右侧内耳道慢性增宽,内耳道口出可见稍高密度影,桥小脑角池可见以较大低密度影,内缘较清,小脑、脑干、第四脑室受压、移位。
考虑:听神经瘤。
作者: 随光逐影    时间: 2008-5-13 04:09
右侧听神经瘤可能性大。
作者: hongtao    时间: 2008-5-13 04:22
右侧内耳道慢性增宽,内耳道口出可见稍高密度影,桥小脑角池可见以较大低密度影,内缘较清,小脑、脑干、第四脑室受压、移位。
考虑:听神经瘤。
作者: 358450m    时间: 2008-5-13 05:16
标题: 回复:ct13417:m8y,头部,舌麻木一月
以下是引用随光逐影在2008-5-12 20:09:00的发言:[br]右侧听神经瘤可能性大。

作者: yangyudong333    时间: 2008-5-13 14:38
右侧听神经瘤可能性大。
作者: zsl6918    时间: 2008-5-13 15:23
符合听神经瘤
作者: 形影不离    时间: 2008-5-13 15:29
支持 右侧听神经瘤可能性大。
作者: zjzjr    时间: 2008-5-13 18:30
支持 右侧听神经瘤可能性大。
作者: shenjiu    时间: 2008-5-13 18:35
骨窗显示内听道扩大,考虑右侧听神经瘤
作者: zhangnianqiu_20    时间: 2008-5-13 18:35
右侧听神经瘤可能性大。
作者: dyqct    时间: 2008-5-15 16:50
典型的右侧听神经瘤。
作者: pujunzhi    时间: 2008-5-15 22:32
听神经瘤




欢迎光临 医影在线 (http://bbs.radida.com/bbs/) Powered by Discuz! X3.2