医影在线

标题: CT13482:对称钙化!外伤就诊! [打印本页]

作者: lirenxiong    时间: 2008-5-17 05:51
标题: CT13482:对称钙化!外伤就诊!
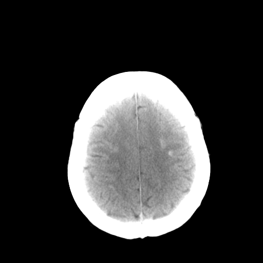
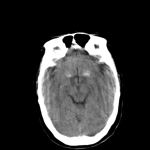
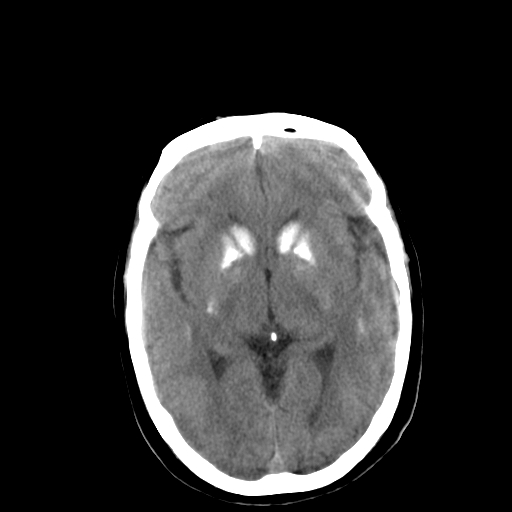
女,58 ,对称钙化!外伤就诊!










[本贴已被 翁志蓬 于 2008-5-16 22:57:09 修改过]

作者: lgl2007    时间: 2008-5-17 06:07
甲旁减可能.
作者: 拾荒者    时间: 2008-5-17 06:08
常见病考虑甲旁低及fahr病等,结合病人体态、实验室检查、家族史等综合考虑。
作者: qian    时间: 2008-5-17 06:40
支持甲旁减。
作者: pujunzhi    时间: 2008-5-17 06:58
支持甲旁低,此人年龄较大,注意生理性钙化。
作者: ydx_74    时间: 2008-5-17 07:11
甲旁减
作者: jxlshd    时间: 2008-5-17 08:34
支持甲旁低,此人年龄较大,注意生理性钙化
作者: yangyudong333    时间: 2008-5-17 13:13
支持甲旁减。
作者: 随光逐影    时间: 2008-5-17 15:30
考虑为:甲状旁腺机能低下或fahr氏病。建议:结合临床及实验室检查。
作者: 358450m    时间: 2008-5-17 15:51
支持甲旁减。
作者: 沙漠骆驼    时间: 2008-5-17 15:52
支持:甲状旁腺机能低下或fhr氏病./ 应结合临床了解病史及家族史等实验室检查.
作者: 深泽交通    时间: 2008-5-17 19:58
zhi chi 2
作者: xulianj    时间: 2008-5-18 03:16
支持考虑:甲状旁腺机能低下或fahr氏病。建议:结合临床及实验室检查。
作者: zhengfaming    时间: 2008-5-18 04:04
甲旁减
作者: xxhwh    时间: 2008-5-18 04:27
常见病考虑甲旁低及fahr病等,结合病人体态、实验室检查、家族史等综合考虑
作者: panyishengct    时间: 2008-5-18 05:48
见病考虑甲旁低及fahr病等,结合病人体态、实验室检查、家族史等综合考虑。
作者: zsl6918    时间: 2008-5-18 05:50
代谢性病变改变,考虑甲旁减
作者: dyqct    时间: 2008-5-18 06:11
标题: 回复:ct13482:对称钙化!外伤就诊!
以下是引用拾荒者在2008-5-16 22:08:00的发言:[br]常见病考虑甲旁低及fahr病等,结合病人体态、实验室检查、家族史等综合考虑。

支持!
作者: zyyzzy    时间: 2008-5-18 06:20
常见病考虑甲旁低及fahr病等,结合病人体态、实验室检查、家族史等综合考虑
作者: 光影★小胖    时间: 2008-5-18 06:22
常见病考虑甲旁低及fahr病等,结合病人体态、实验室检查、家族史等综合考虑。
作者: jinguoji    时间: 2008-5-19 06:06
支持甲旁减。
作者: dr.yang    时间: 2011-7-25 00:15
支持考虑:甲状旁腺机能低下或fahr氏病。建议:结合临床及实验室检查。




欢迎光临 医影在线 (http://bbs.radida.com/bbs/) Powered by Discuz! X3.2