医影在线

标题: X4207:看看这个骨折片,是不是很典型! [打印本页]

作者: whli    时间: 2008-5-17 07:15
标题: X4207:看看这个骨折片,是不是很典型!





[本贴已被 whli 于 2008-6-1 21:03:26 修改过]

作者: 寻芳者    时间: 2008-5-17 07:36
孟氏骨折-------------------------------------------------
作者: hexue    时间: 2008-5-17 07:39
孟太奇骨折
作者: jxlshd    时间: 2008-5-17 08:30
孟氏骨折
作者: yuhongjun    时间: 2008-5-17 13:13
孟氏骨折
  
   
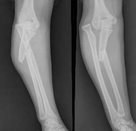
孟氏骨折:尺骨上1/3骨折合并桡骨头脱位。1914年意大利外科医生monteggia最早报导了这种类型骨折,故称孟氏骨折。分三种类型(一)伸直型   比较常见,多发生儿童。肘关节伸直或过伸位跌倒,前臂旋后掌心触地。作用力顺肱骨传向下前方,先造成尺骨斜形骨折,残余暴力转移于桡骨上端,迫使桡骨头冲破,滑出环状韧带。向前外方脱位。骨折断端向掌侧及桡侧成角。成人直接暴力打击造成骨折,骨折为横断或粉碎型。
   (二)屈曲型   多见于成人。肘关节微屈曲,前臂旋前位掌心触地,作用力先造成尺骨较高平面横型或短斜型骨折,桡骨头向后外方脱位,骨折断端向背侧,桡侧成角。
   (三)内收型   多发生幼儿。肘关节伸直,前臂旋前位,上肢略内收位向前跌倒,暴力自肘内方推向外方,造成尺骨喙突处横断或纵行劈裂骨折,移位较少,而桡骨头向外侧脱位。
作者: yangyudong333    时间: 2008-5-17 13:50
支持楼上
作者: 358450m    时间: 2008-5-17 15:47
标题: 回复:x4207:看看这个骨折片,是不是很典型!
以下是引用yuhongjun在2008-5-17 5:13:00的发言:[br]孟氏骨折[br]  [br]   [br]孟氏骨折:尺骨上1/3骨折合并桡骨头脱位。1914年意大利外科医生monteggia最早报导了这种类型骨折,故称孟氏骨折。分三种类型(一)伸直型   比较常见,多发生儿童。肘关节伸直或过伸位跌倒,前臂旋后掌心触地。作用力顺肱骨传向下前方,先造成尺骨斜形骨折,残余暴力转移于桡骨上端,迫使桡骨头冲破,滑出环状韧带。向前外方脱位。骨折断端向掌侧及桡侧成角。成人直接暴力打击造成骨折,骨折为横断或粉碎型。[br]   (二)屈曲型   多见于成人。肘关节微屈曲,前臂旋前位掌心触地,作用力先造成尺骨较高平面横型或短斜型骨折,桡骨头向后外方脱位,骨折断端向背侧,桡侧成角。[br]   (三)内收型   多发生幼儿。肘关节伸直,前臂旋前位,上肢略内收位向前跌倒,暴力自肘内方推向外方,造成尺骨喙突处横断或纵行劈裂骨折,移位较少,而桡骨头向外侧脱位。[br]

作者: dyqct    时间: 2008-5-17 18:26
典型!
作者: 黑白光影    时间: 2008-5-17 20:26
孟氏骨折。典型。
作者: 麻醉一生    时间: 2008-5-17 21:24
典型!
作者: csyxxx    时间: 2008-5-17 21:36
孟氏骨折
作者: zhengfaming    时间: 2008-5-17 23:57
孟氏骨折
作者: 眼睛    时间: 2008-5-18 02:47
孟氏骨折。典型
作者: 王2008    时间: 2008-5-18 03:16
孟氏骨折,典型。
作者: shiqingfa    时间: 2008-5-18 05:20
孟氏骨折。典型。
作者: 随光逐影    时间: 2008-5-18 05:34
典型 monteggia氏骨折。
作者: zzh1105    时间: 2008-5-18 05:44
支持典型孟氏骨折。
作者: jinguoji    时间: 2008-5-18 06:23
典型孟氏骨折。
作者: 杀毒软件    时间: 2008-5-19 01:40
典型!
作者: hswey    时间: 2008-5-31 04:33
孟氏骨折。典型
作者: 小小乡医    时间: 2008-5-31 06:03
太典型了
作者: zhangkening    时间: 2008-6-3 00:37
支持孟氏骨折。
作者: shibing    时间: 2014-2-7 09:24
孟氏骨折




欢迎光临 医影在线 (http://bbs.radida.com/bbs/) Powered by Discuz! X3.2