医影在线

标题: CT13486:F 17Y 咳嗽 咳痰数日请会诊 [打印本页]

作者: zhangling    时间: 2008-5-17 16:54
标题: CT13486:F 17Y 咳嗽 咳痰数日请会诊
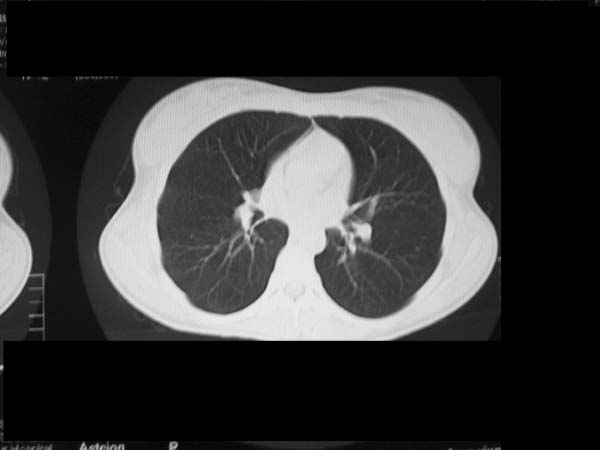
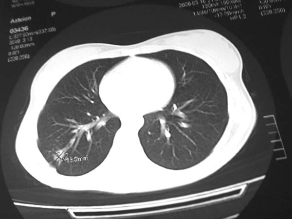
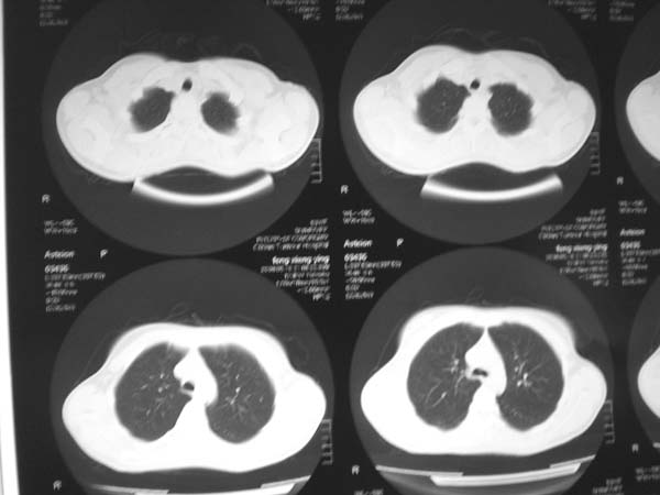
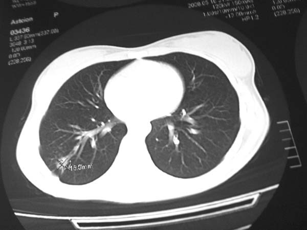
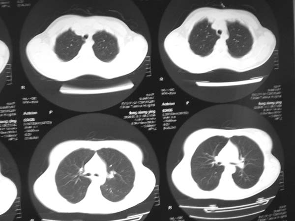
白细胞9600不发烧

















[本贴已被 jiajie 于 2008-5-17 19:02:25 修改过]

作者: 子十    时间: 2008-5-17 17:58
考虑右下结核球
作者: muzi888    时间: 2008-5-17 18:04
纵隔窗无法看,先抗炎治疗吧!
作者: 深泽交通    时间: 2008-5-17 18:52
右肺下叶结核灶
作者: 花心小百合    时间: 2008-5-17 19:14
右下肺背段病灶,考虑结核与炎症鉴别,请进一步检查.
作者: yangyudong333    时间: 2008-5-17 19:58
考虑结核球,建议治疗后复查
作者: 358450m    时间: 2008-5-17 20:03
标题: 回复:f 17y 咳嗽 咳痰数日请会诊
以下是引用子十在2008-5-17 9:58:00的发言:[br]考虑右下结核球

作者: 358450m    时间: 2008-5-17 20:05
标题: 回复:f 17y 咳嗽 咳痰数日请会诊
以下是引用子十在2008-5-17 9:58:00的发言:[br]考虑右下结核球

作者: mzh123    时间: 2008-5-17 21:13
结核与肿瘤同时考虑
作者: panyishengct    时间: 2008-5-17 21:40
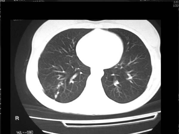
右下肺外基段病灶,考虑炎症,建议治疗后复查,以排外结核
作者: xulianj    时间: 2008-5-18 03:27
考虑炎症,建议治疗后复查。
作者: zhengfaming    时间: 2008-5-18 03:58
结核球
作者: 随光逐影    时间: 2008-5-18 04:49
考虑为:右肺下叶外基底段结核球。
作者: dyqct    时间: 2008-5-18 06:03
标题: 回复:ct13486:f 17y 咳嗽 咳痰数日请会诊
以下是引用panyishengct在2008-5-17 13:40:00的发言:[br]右下肺外基段病灶,考虑炎症,建议治疗后复查,以排外结核  [br]   [br]

支持!
作者: zsl6918    时间: 2008-5-18 06:03
炎性病变,结核可能
作者: 光影★小胖    时间: 2008-5-18 06:10
结核可能性大,不排除肿瘤.
作者: zyyzzy    时间: 2008-5-18 06:38
考虑结核球,建议治疗后复查
作者: jinguoji    时间: 2008-5-19 06:25
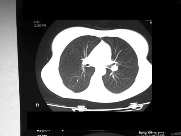
考虑右下肺外基段炎症,建议抗炎治疗后复查。
作者: 拾荒者    时间: 2008-5-19 07:10
以下是引用panyishengct在2008-5-17 13:40:00的发言:
右下肺外基段病灶,考虑炎症,建议治疗后复查,以排外结核  
   



支持!
作者: zhangling    时间: 2008-5-21 20:59
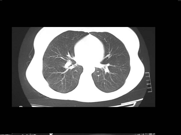
结果;痰中找到结核杆菌
作者: 影象小辈    时间: 2008-5-21 22:12
结核灶可能性大
作者: 光影相伴    时间: 2008-5-22 02:49
右下肺外基段病灶,考虑炎症。
建议:治疗后复查,以排外结核。
作者: zhangling    时间: 2008-5-22 05:35
痰涂片已找到结核杆菌  将结果告诉大家




欢迎光临 医影在线 (http://bbs.radida.com/bbs/) Powered by Discuz! X3.2