医影在线

标题: X4211:F64Y,胸骨局部小骨质突起 [打印本页]

作者: sunyboy    时间: 2008-5-18 01:42
标题: X4211:F64Y,胸骨局部小骨质突起
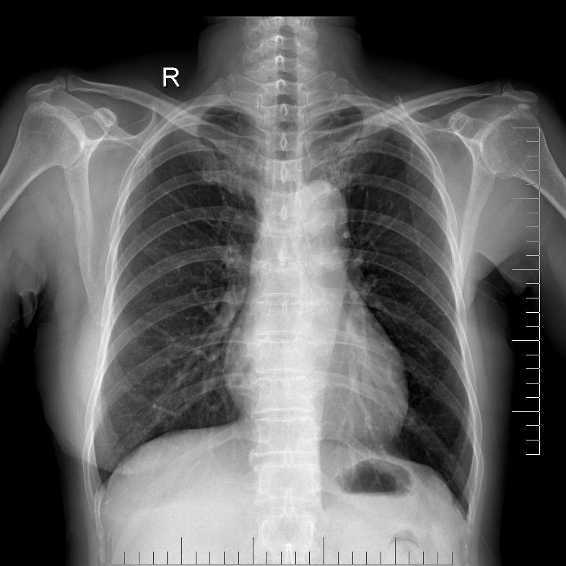
患者:女,64,头晕10年,再发3天,入院体查时发现




[本贴已被 jiajie 于 2008-5-17 19:23:24 修改过]

作者: liangshusheng    时间: 2008-5-18 01:57
考虑良性骨瘤、骨软骨瘤之类的
作者: yangkui0    时间: 2008-5-18 02:13
正常
作者: 358450m    时间: 2008-5-18 03:02
良性骨瘤
作者: zhengfaming    时间: 2008-5-18 03:30
考虑骨瘤,另似乎左侧乳房缺如
作者: 黑白光影    时间: 2008-5-18 04:39
考虑胸骨良性骨瘤
作者: fsk123    时间: 2008-5-18 04:48
未见异常
作者: zzh1105    时间: 2008-5-18 05:09
胸骨骨瘤
作者: shiqingfa    时间: 2008-5-18 05:15
考虑胸骨良性骨瘤
作者: dyqct    时间: 2008-5-18 05:46
标题: 回复:x4211:f64y,胸骨局部小骨质突起
以下是引用zhengfaming在2008-5-17 19:30:00的发言:[br]考虑骨瘤,另似乎左侧乳房缺如

支持!
作者: 杏林古木    时间: 2008-5-18 05:49
胸骨骨软骨瘤可能。骨瘤在颅骨以外区域生长者,良性的很少。
作者: hexue    时间: 2008-5-18 06:00
标题: 回复:x4211:f64y,胸骨局部小骨质突起
良性骨瘤
作者: 随光逐影    时间: 2008-5-18 06:09
考虑胸骨骨瘤。
作者: jinguoji    时间: 2008-5-18 06:16
支持考虑骨瘤,另左侧乳房缺如!
作者: 寻芳者    时间: 2008-5-18 06:52
左侧乳房缺如----------------------详细问问病史!!!
作者: yuhongjun    时间: 2008-5-18 13:19
支持考虑骨瘤,另左侧乳房缺如!
作者: zxczxc    时间: 2008-5-18 23:56
正常改变。
是前肋软骨钙化。
作者: 杀毒软件    时间: 2008-5-19 01:36
正常改变
左侧乳房缺如.
作者: luoyanmin    时间: 2008-5-19 02:21
骨瘤
作者: dr.yang    时间: 2008-5-19 07:02
标题: 回复:x4211:f64y,胸骨局部小骨质突起
以下是引用358450m在2008-5-17 19:02:00的发言:[br]良性骨瘤

作者: yangyudong333    时间: 2008-5-19 14:22
胸骨骨瘤
作者: 麻醉一生    时间: 2008-5-19 18:59
考虑胸骨良性骨瘤
作者: 宇宙CT    时间: 2008-5-19 19:24
考虑胸骨良性骨瘤
作者: lishibao    时间: 2008-5-19 20:20
未见异常
作者: zhangyiwen    时间: 2008-5-19 22:51
标题: 回复:x4211:f64y,胸骨局部小骨质突起
以下是引用zhengfaming在2008-5-17 19:30:00的发言:[br]考虑骨瘤,另似乎左侧乳房缺如

作者: LJJ88    时间: 2008-5-20 16:40
良性骨瘤
作者: wy232326    时间: 2008-5-21 00:00
考虑胸骨良性骨瘤可能
作者: linshaobo    时间: 2008-7-7 23:40
体位关系。
作者: 5708    时间: 2008-7-8 03:48
考虑骨瘤
作者: shibing    时间: 2014-2-19 16:13
胸骨骨瘤




欢迎光临 医影在线 (http://bbs.radida.com/bbs/) Powered by Discuz! X3.2