医影在线

标题: DSA0138:F38Y,肝脏病变 [打印本页]

作者: jiajie    时间: 2008-5-18 04:21
标题: DSA0138:F38Y,肝脏病变
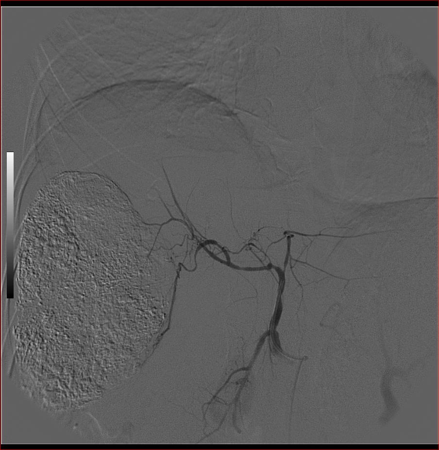
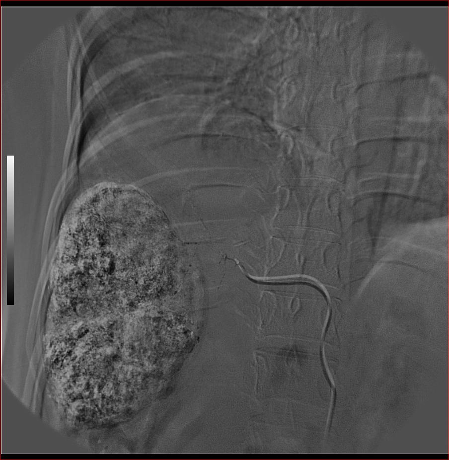
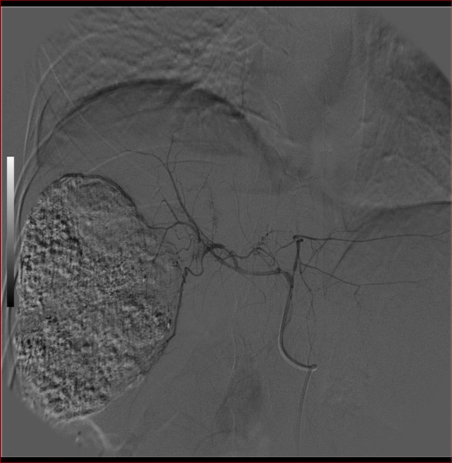
第一次:












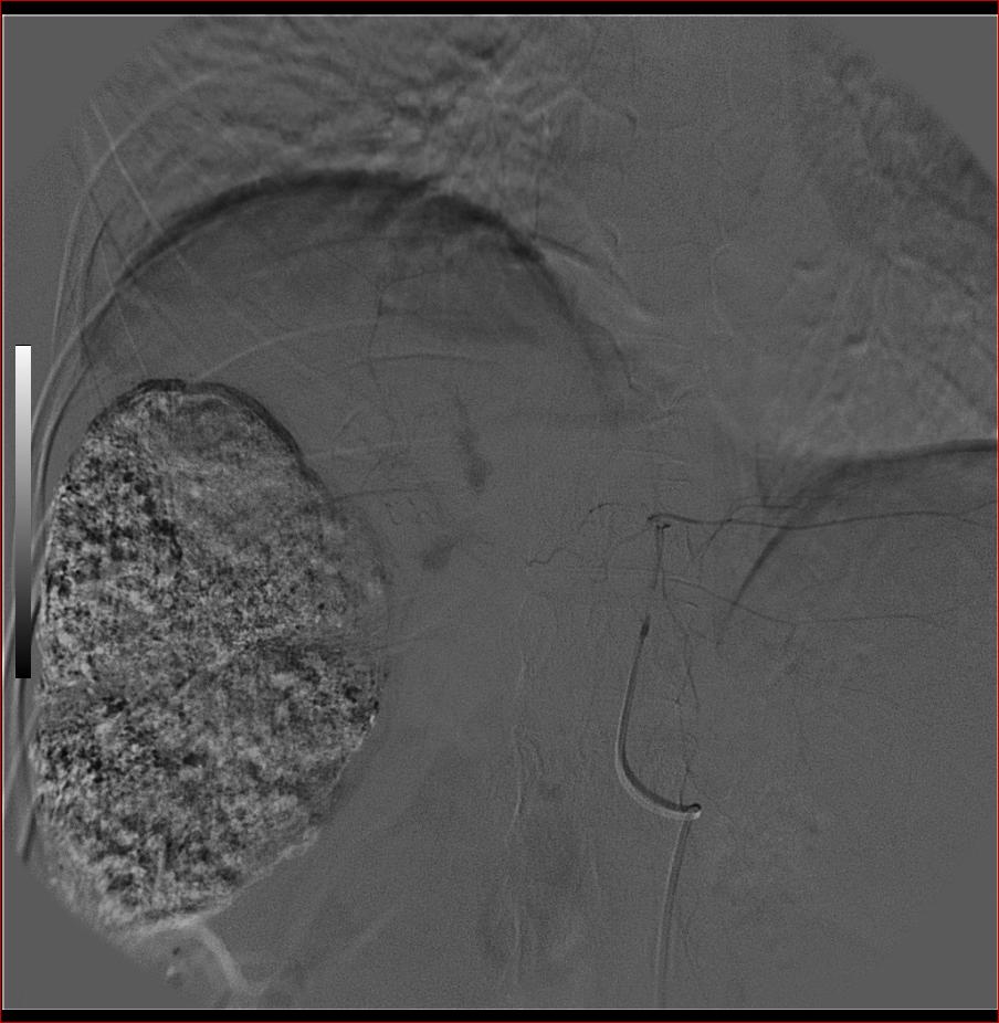
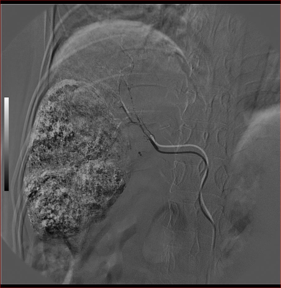
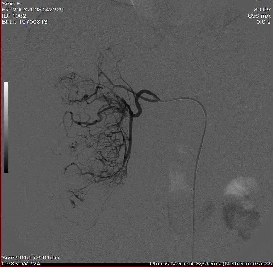
第二次(50天后)









作者: zzh1105    时间: 2008-5-18 07:59
栓塞的非常理想。
作者: zjzjr    时间: 2008-5-19 04:49
巨块型肝癌介入术后,肝左叶有转移吗(第二次进行肝左动脉栓塞了吗?)
作者: 汀    时间: 2008-5-19 04:53
漂亮
作者: qiuleiyu    时间: 2008-5-22 05:02
好牛的,右肝动脉发自肠系膜上动脉,不用微导管分次进行末梢栓塞,肿瘤染色完整。再次学习了。
作者: 卜一    时间: 2008-5-27 18:05
非常漂亮!学习了!谢谢!
作者: 未见异常    时间: 2008-5-29 07:12
干的漂亮
作者: xxhwh    时间: 2008-6-4 22:11
漂亮!请问jiajie兄第一次打了多少ml栓塞剂?病人耐受情况如何?
作者: 影象小泰斗    时间: 2008-6-28 02:32
厉害!!!学习了!!!
作者: yangaidong    时间: 2008-7-28 14:51
雕虫小技
作者: 五阿哥    时间: 2008-9-10 06:57
我想问一下楼主,这是肝癌吗?你们有没有做病检,建议上传ct或mr图像!
作者: 吴承学    时间: 2008-10-3 16:07
标题: 回复:dsa0138:f38y,肝脏病变
以下是引用zzh1105在2008-5-17 23:59:00的发言:[br]栓塞的非常理想。

作者: jinguoji    时间: 2009-8-21 22:34
做的很不错。
作者: dr.yang    时间: 2012-11-7 23:20
学习过




欢迎光临 医影在线 (http://bbs.radida.com/bbs/) Powered by Discuz! X3.2