医影在线
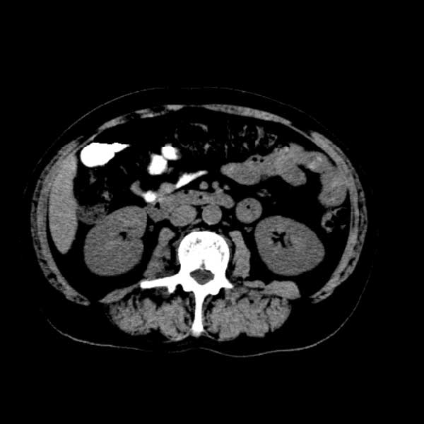
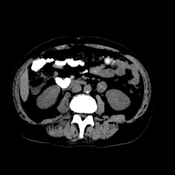
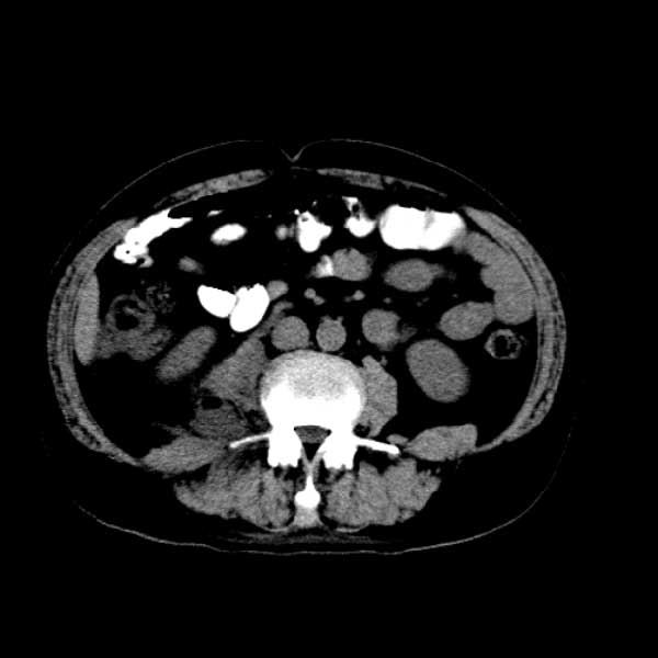
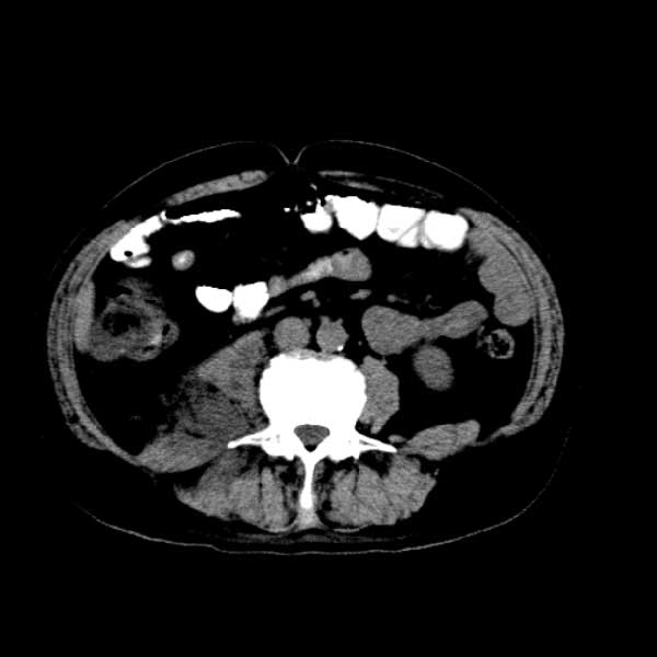
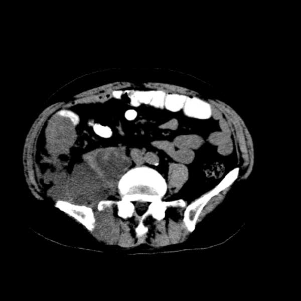
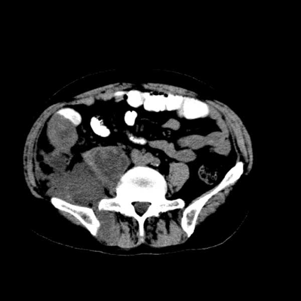
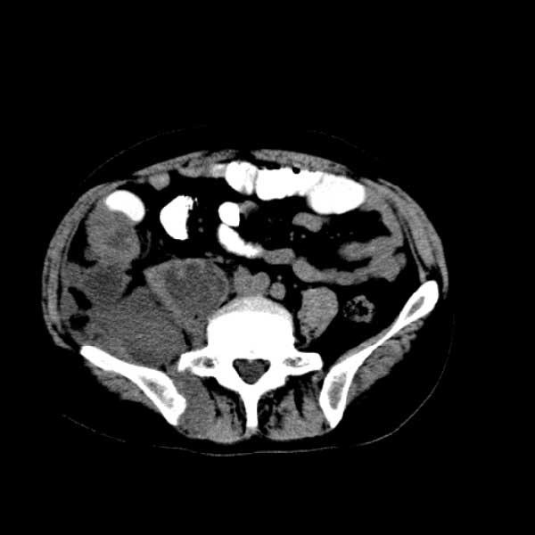
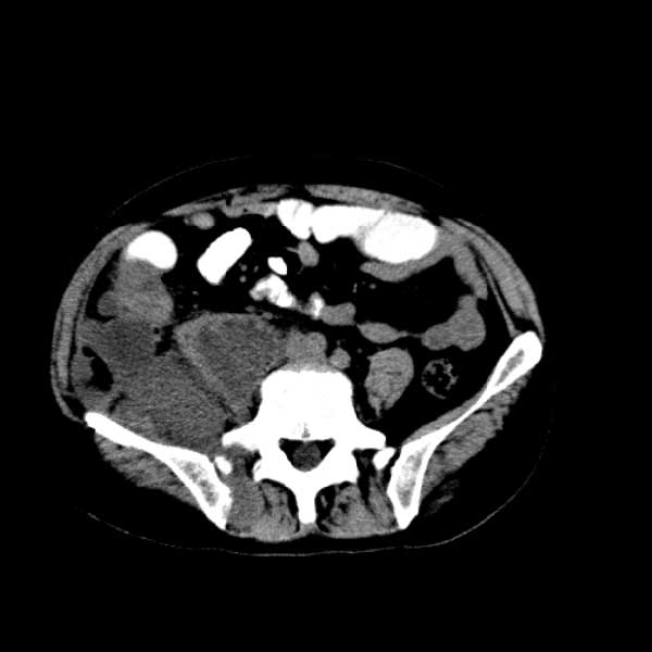
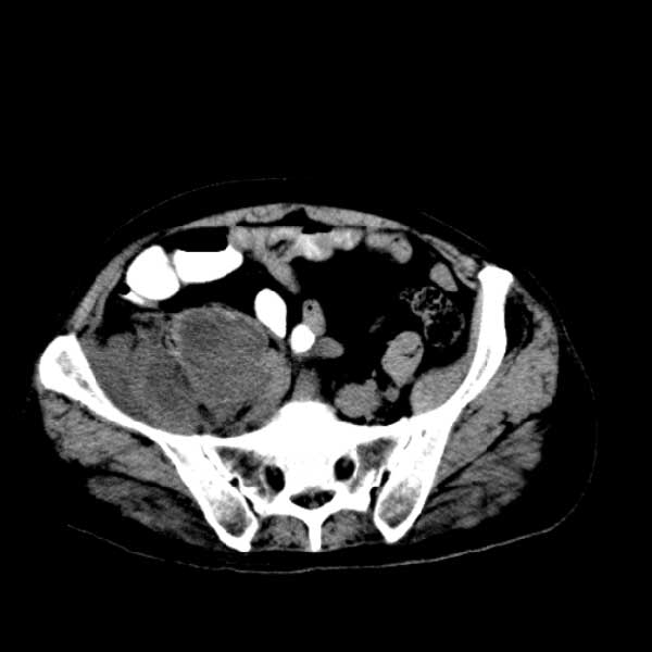
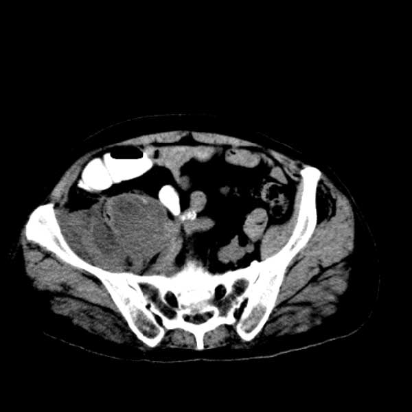
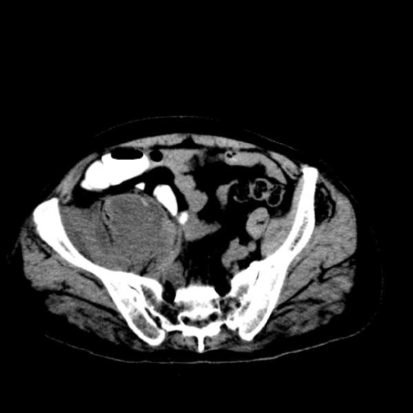
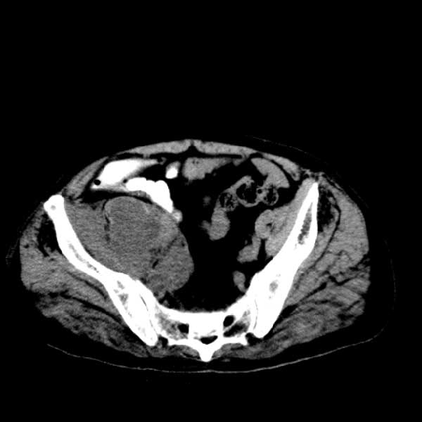
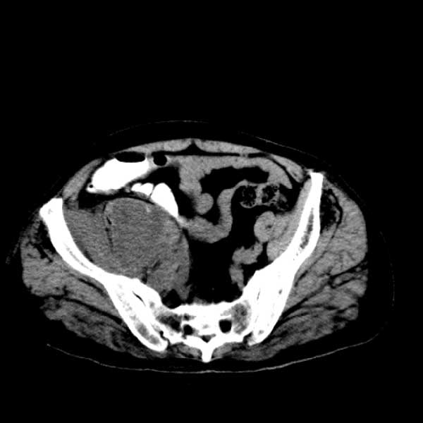
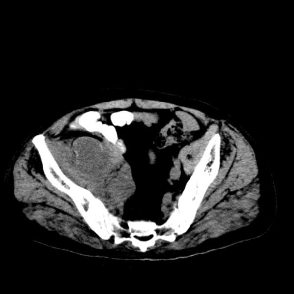
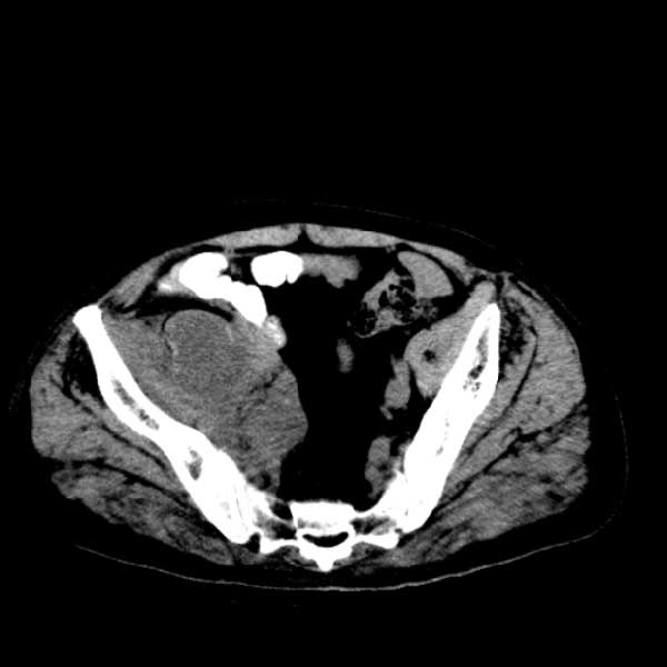
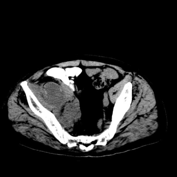
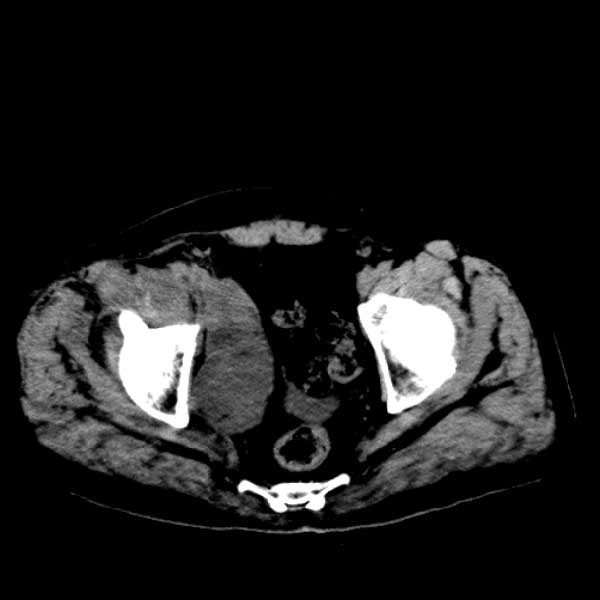
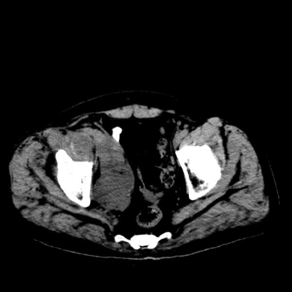
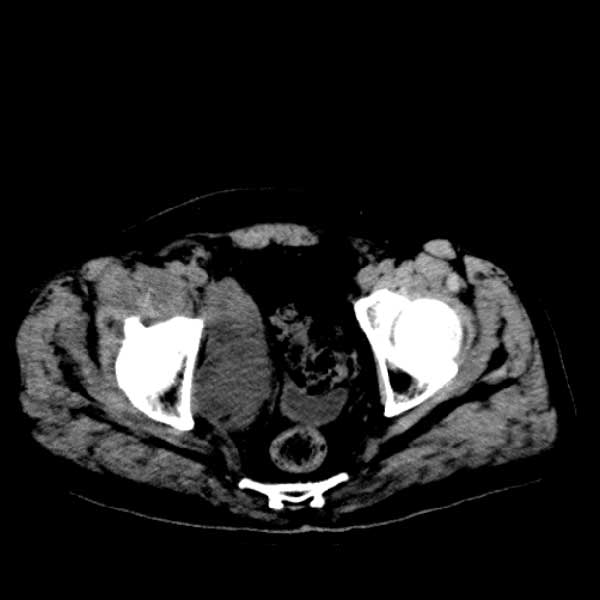
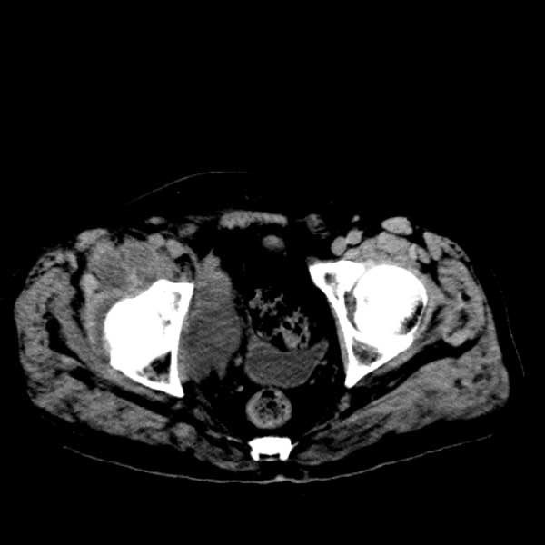
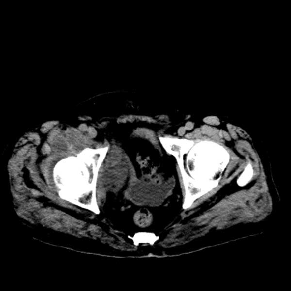
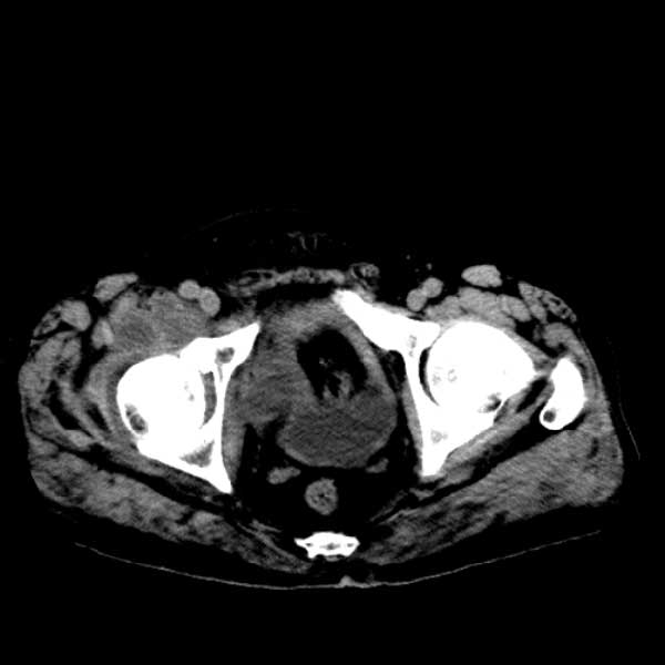
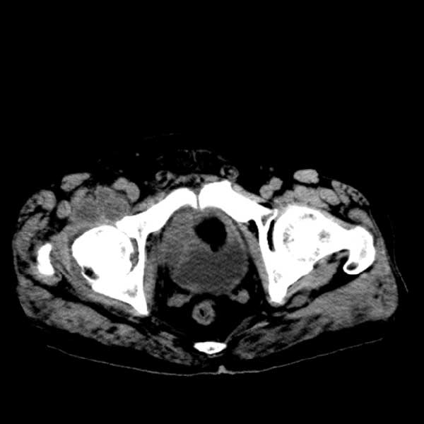
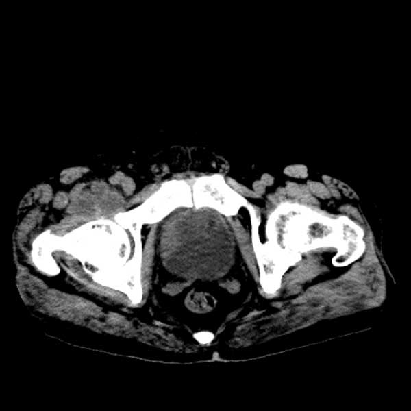
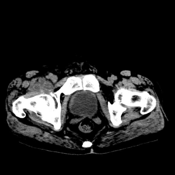
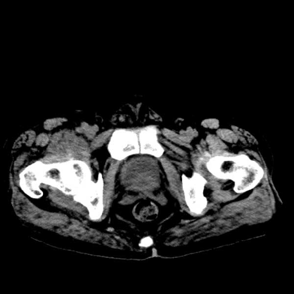
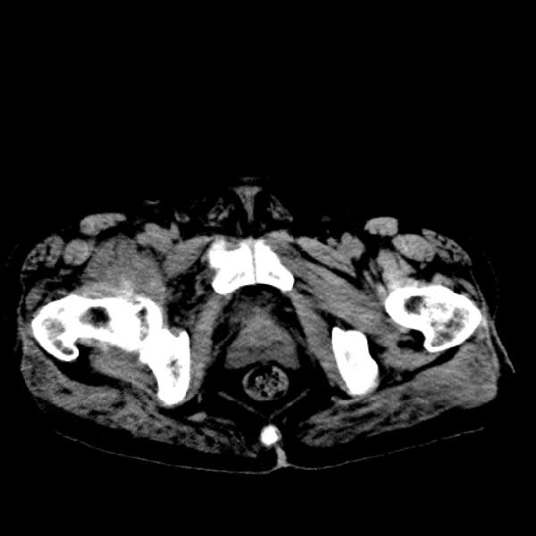
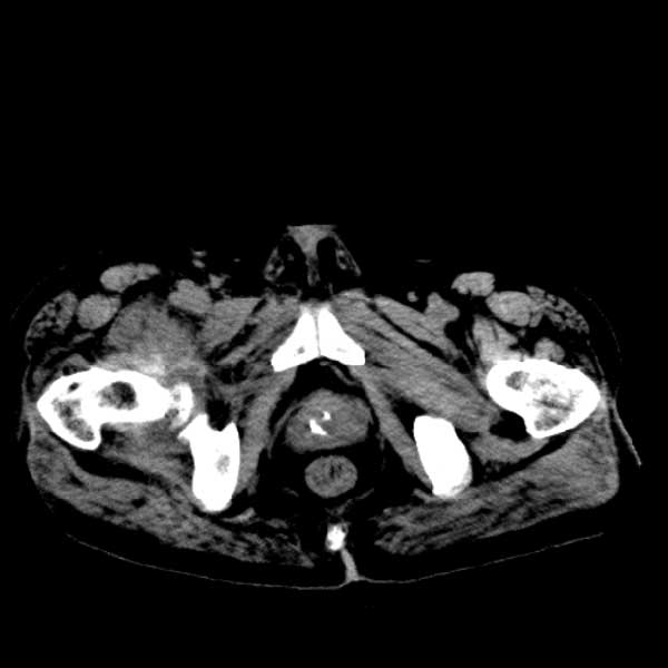
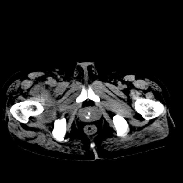
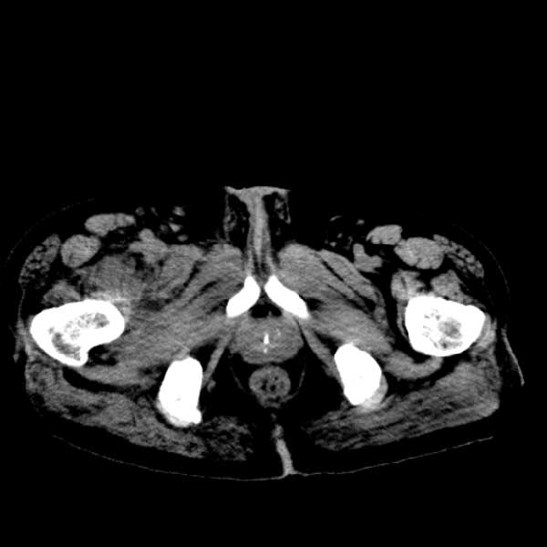
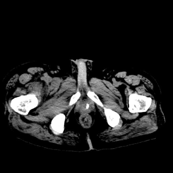
标题: CT13513:男 71 腹部疼痛20余天,近几天高热就诊,骨窗未见异 [打印本页]
作者: 叶子123 时间: 2008-5-19 02:26
标题: CT13513:男 71 腹部疼痛20余天,近几天高热就诊,骨窗未见异





















































[本贴已被 叶子123 于 2008-5-18 18:28:32 修改过]
[本贴已被 jiajie 于 2008-5-18 18:38:25 修改过]
作者: panyishengct 时间: 2008-5-19 02:53
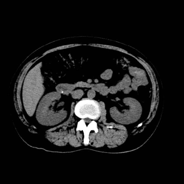
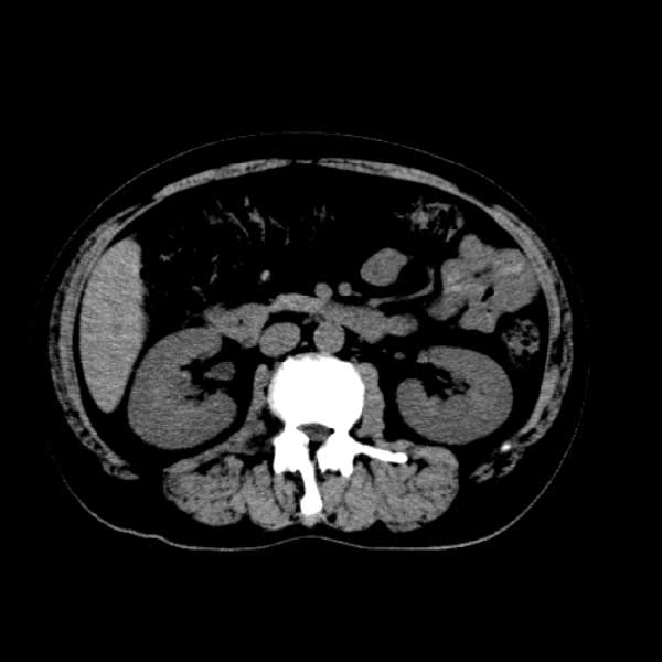
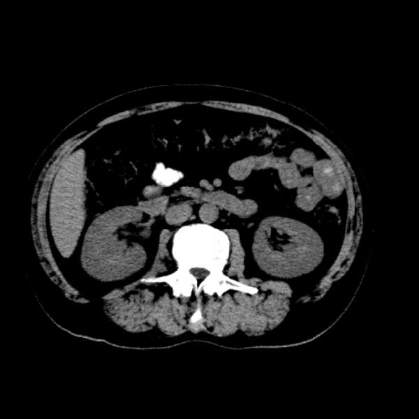
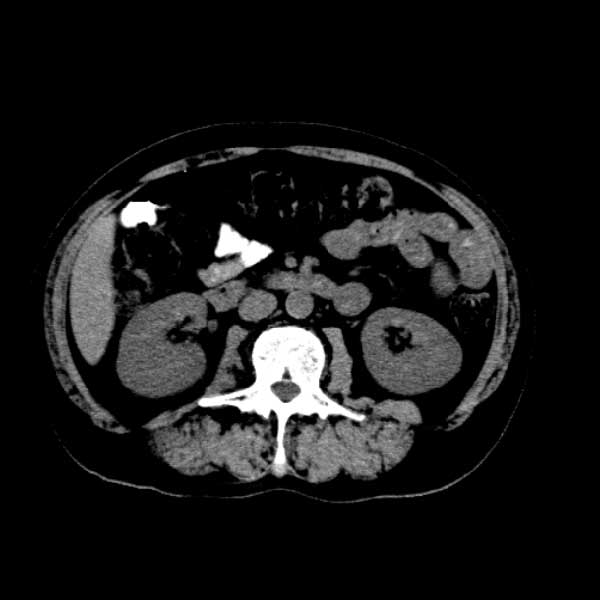
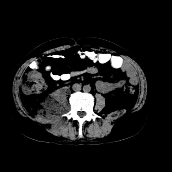
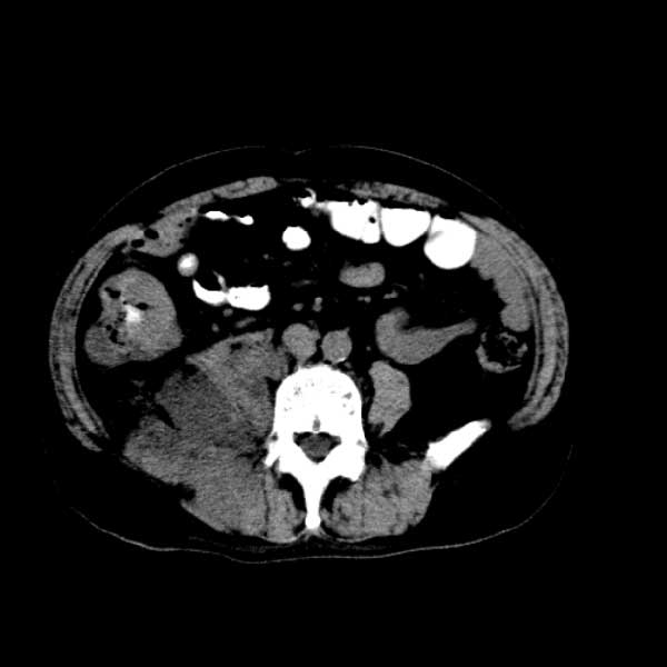
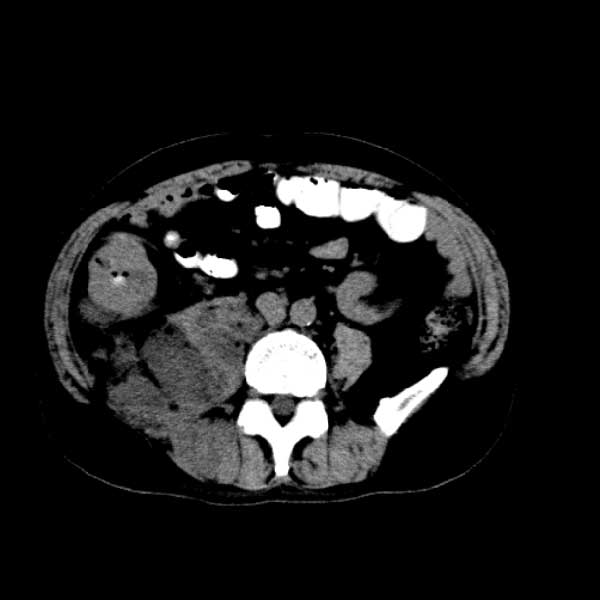
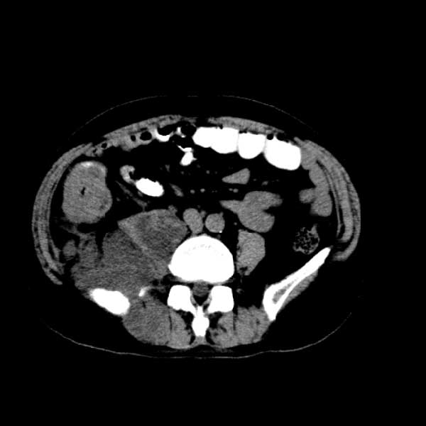
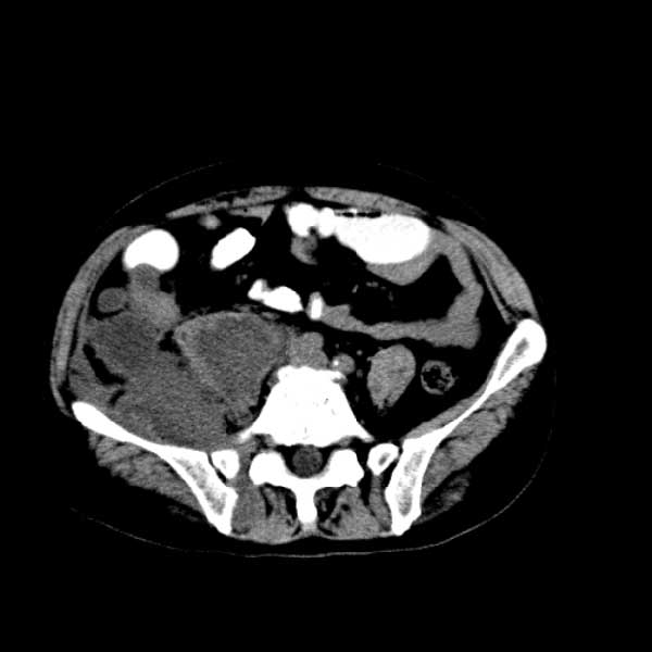
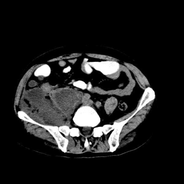
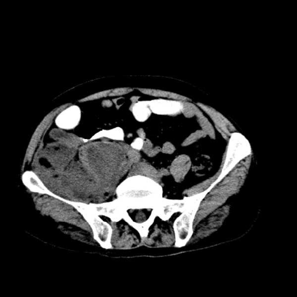
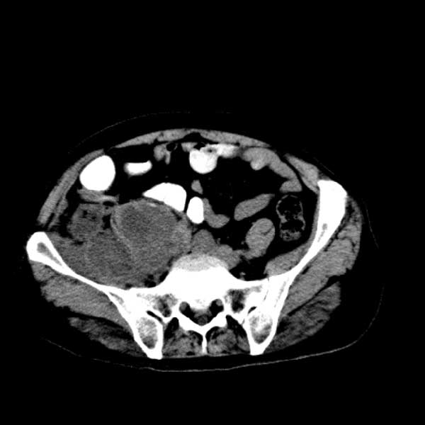
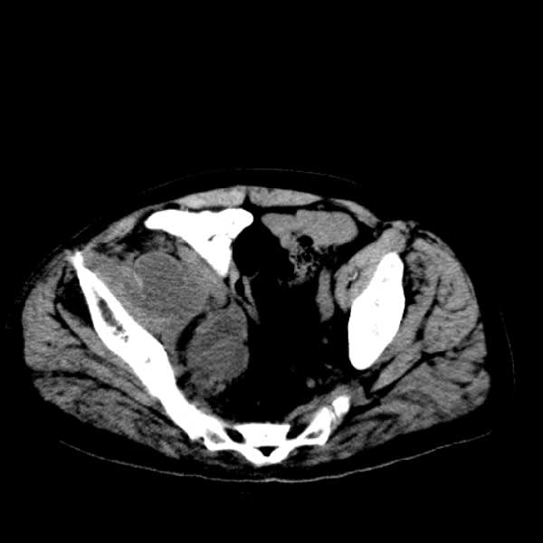
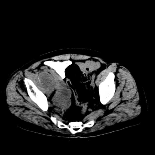
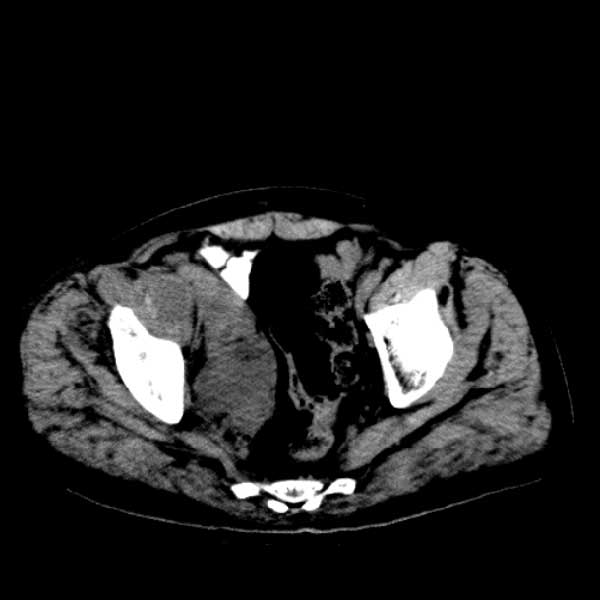
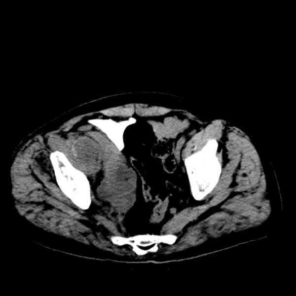
考虑感染性病变可能性大,起源于阑尾?
作者: 周战梅 时间: 2008-5-19 02:56
感染,脓肿形成
作者: 358450m 时间: 2008-5-19 03:18
感染,脓肿形成
作者: SOS.LA 时间: 2008-5-19 03:20
考虑为化脓性阑尾炎.脓肿形成.及多肌肉累及.
作者: zrs 时间: 2008-5-19 04:23
考虑右侧腰大肌脓肿,向右髂窝、右腹股沟流注。
作者: zjzjr 时间: 2008-5-19 04:27
支持化脓性阑尾炎伴右髂窝脓肿、腰大肌腰方肌脓肿形成。
作者: 同 时间: 2008-5-19 04:34
标题: 回复:ct13513:男 71 腹部疼痛20余天,近几天高热就诊,骨
以下是引用zjzjr在2008-5-18 20:27:00的发言:[br]支持化脓性阑尾炎伴右髂窝脓肿、腰大肌腰方肌脓肿形成。
作者: zsl6918 时间: 2008-5-19 04:41
考虑腹腔及盆腔化脓性炎症,累及右侧髋关节及腹股沟区.
作者: qiuleiyu 时间: 2008-5-19 04:44
支持化脓性阑尾炎伴右髂窝脓肿、腰大肌腰方肌脓肿形成可能大。
作者: xulianj 时间: 2008-5-19 04:45
支持化脓性阑尾炎伴右髂窝脓肿、腰大肌腰方肌脓肿形成。
作者: pujunzhi 时间: 2008-5-19 04:47
首先考虑化脓性阑尾炎伴腰大肌、腰方肌脓肿,不除外回盲部结核。
回盲部癌待排除。
作者: dyqct 时间: 2008-5-19 05:28
标题: 回复:ct13513:男 71 腹部疼痛20余天,近几天高热就诊,骨
以下是引用zjzjr在2008-5-18 20:27:00的发言:[br]支持化脓性阑尾炎伴右髂窝脓肿、腰大肌腰方肌脓肿形成。
支持!
作者: 杀毒软件 时间: 2008-5-19 05:35
支持化脓性阑尾炎伴右髂窝脓肿、腰大肌腰方肌脓肿形成
作者: liufaming 时间: 2008-5-19 05:48
支持化脓性阑尾炎伴右髂窝脓肿、腰大肌腰方肌脓肿形成。
作者: zxczxc 时间: 2008-5-19 06:26
右侧腰大肌脓肿。
作者: 拾荒者 时间: 2008-5-19 06:45
结合临床支持考虑化脓性阑尾炎伴右髂窝脓肿、腰大肌腰方肌脓肿形成。
作者: lxq2000 时间: 2008-5-19 06:59
支持化脓性阑尾炎伴右髂窝脓肿、腰大肌腰方肌脓肿形成
作者: liuyue 时间: 2008-5-19 07:14
首先考虑化脓性阑尾炎伴腰大肌、腰方肌脓肿,不除外回盲部结核。
回盲部癌待排除。
支持。
作者: weijing 时间: 2008-5-19 08:32
结合临床支持考虑化脓性阑尾炎伴右髂窝脓肿、腰大肌腰方肌脓肿形成。
作者: yangyudong333 时间: 2008-5-19 13:10
支持化脓性阑尾炎伴右髂窝脓肿、腰大肌腰方肌脓肿形成。
作者: 卜一 时间: 2008-5-19 13:24
支持:化脓性阑尾炎伴右髂窝脓肿、腰大肌腰方肌脓肿形成可能大。
作者: jinguoji 时间: 2008-5-21 00:25
支持化脓性阑尾炎伴右髂窝脓肿、腰大肌腰方肌脓肿形成。
作者: 叶子123 时间: 2008-5-22 06:42
患者肠镜检查考虑结肠癌,病理证实
作者: 叶子123 时间: 2008-5-22 06:44
患者肠镜检查考虑结肠癌,病理证实。肺部ct可见多发结节,考虑转移
作者: 深泽交通 时间: 2008-5-22 19:17
标题: 回复:ct13513:男 71 腹部疼痛20余天,近几天高热就诊,骨
以下是引用卜一在2008-5-19 5:24:00的发言:[br]支持:化脓性阑尾炎伴右髂窝脓肿、腰大肌腰方肌脓肿形成可能大。
| 欢迎光临 医影在线 (http://bbs.radida.com/bbs/) |
Powered by Discuz! X3.2 |