
















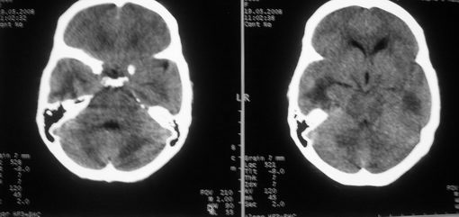
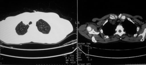
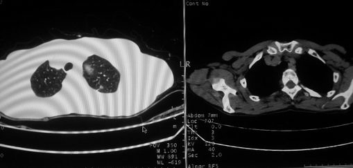
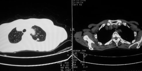
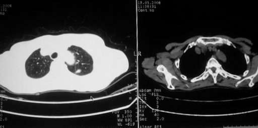
以下是引用zjzjr在2008-5-19 13:40:00的发言:[br]支持左上肺周围型肺癌(腺癌可能性大)伴颅内多发性转移.
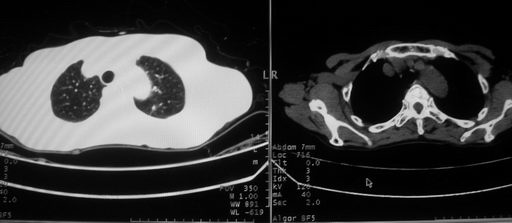
以下是引用zjzjr在2008-5-19 13:40:00的发言:[br]支持左上肺周围型肺癌(腺癌可能性大)伴颅内多发性转移.
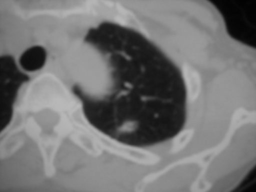
以下是引用zjzjr在2008-5-19 13:40:00的发言:[br]支持左上肺周围型肺癌(腺癌可能性大)伴颅内多发性转移.
| 欢迎光临 医影在线 (http://bbs.radida.com/bbs/) | Powered by Discuz! X3.2 |