医影在线

标题: CT13529:肺结核?请会诊! [打印本页]

作者: zhw974247    时间: 2008-5-20 03:57
标题: CT13529:肺结核?请会诊!
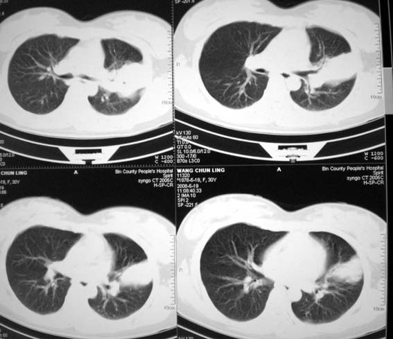
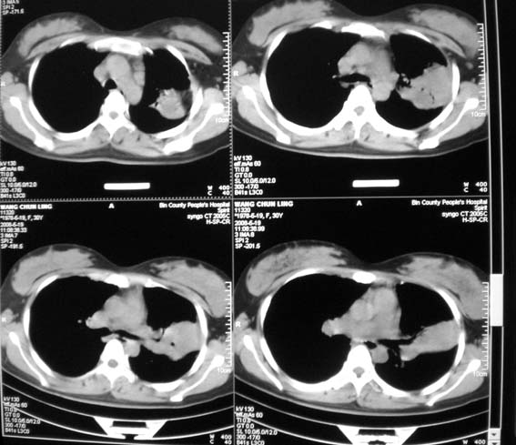
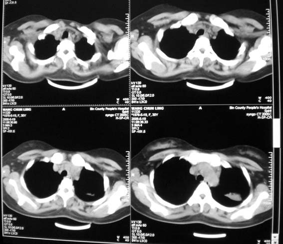
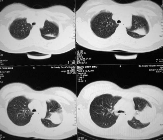
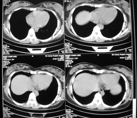
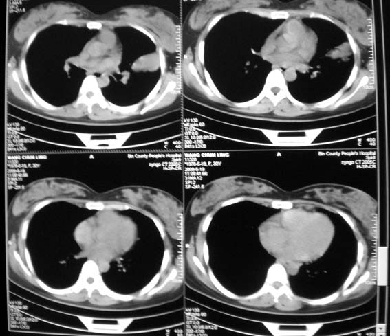
女,30岁,怀孕后3个月,拍片时肺结核,抗结核治疗4个月复查。







作者: zhuren    时间: 2008-5-20 04:27
结核
作者: 形影不离    时间: 2008-5-20 04:27
请把原来的平片发来看看。
作者: zjzjr    时间: 2008-5-20 04:30
前段支气管通畅,但尖后段支气管闭塞,建议支纤镜除外肺癌,有原片吗,对比一下了。
作者: 358450m    时间: 2008-5-20 04:35
结核.前段支气管通畅,但尖后段支气管闭塞,建议支纤镜除外肺癌
作者: xulianj    时间: 2008-5-20 05:10
建议支纤镜检查。
作者: hongtao    时间: 2008-5-20 05:17
建议支纤镜检查。
作者: 杀毒软件    时间: 2008-5-20 05:50
支持建议支纤镜检查
作者: panyishengct    时间: 2008-5-20 06:02
请把原来的平片发来看看。
作者: yangyudong333    时间: 2008-5-20 13:55
结核不好说,支持建议支纤镜检查
作者: 随缘的人    时间: 2008-5-20 13:57
建议支纤镜检查。
作者: qc80012345    时间: 2008-5-20 13:57
支持建议支纤镜检查
作者: zsl6918    时间: 2008-5-20 15:21
首先考虑结核,可行纤支镜取病理.
作者: 深泽交通    时间: 2008-5-20 18:41
纵隔淋巴结肿大,见意出外占位
作者: mzh123    时间: 2008-5-20 18:58
标题: 回复:ct13529:肺结核?请会诊!
以下是引用形影不离在2008-5-19 20:27:00的发言:[br]请把原来的平片发来看看。

有疗效吗?
作者: 拾荒者    时间: 2008-5-21 04:41
既然抗结核治疗4个月,一定做了结核相关检查,建议与原片比较看治疗效果,也可结合纤支镜取病理检查。
作者: 黑白光影    时间: 2008-5-21 17:18
结核不好说,支持建议支纤镜检查。
作者: jinguoji    时间: 2008-5-22 05:47
标题: 回复:ct13529:肺结核?请会诊!
以下是引用黑白光影在2008-5-21 9:18:00的发言:[br]结核不好说,支持建议支纤镜检查。





欢迎光临 医影在线 (http://bbs.radida.com/bbs/) Powered by Discuz! X3.2