



















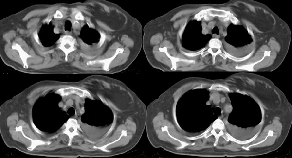
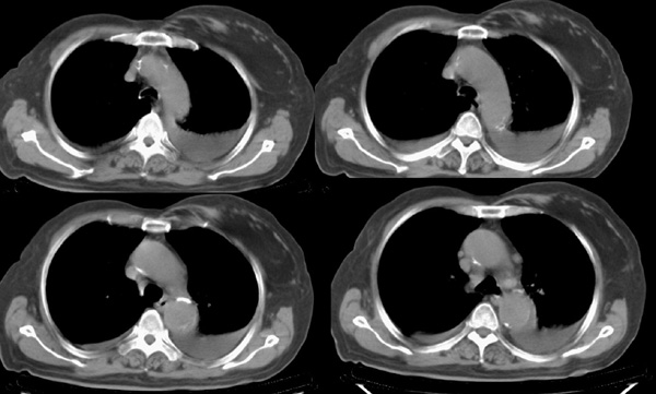
以下是引用形影不离在2008-5-19 21:13:00的发言:[br]左侧胸壁脂肪瘤;肺部还是考虑心衰并肺水肿,胸腔积液。
以下是引用形影不离在2008-5-19 21:13:00的发言:[br]左侧胸壁脂肪瘤;肺部还是考虑心衰并肺水肿,胸腔积液。
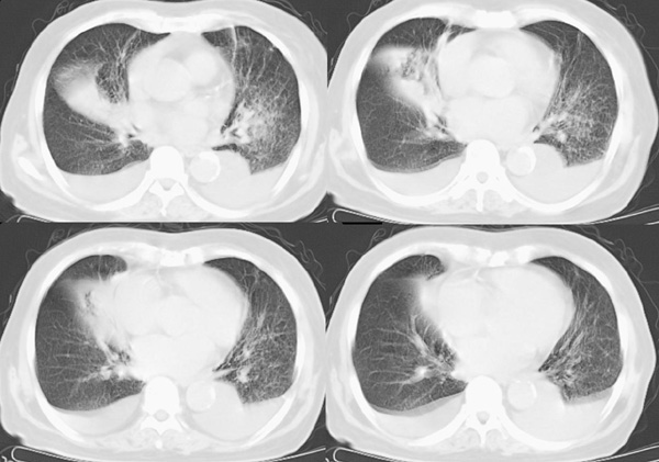
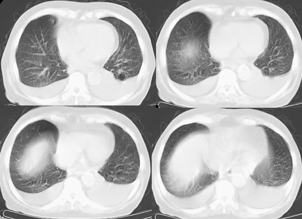
以下是引用panyishengct在2008-5-19 21:48:00的发言:[br]左侧胸壁脂肪瘤;肺部还是考虑肺水肿,胸腔积液。 [br] [br]左肺门见一团状影,纵隔见淋巴结,建议治疗后复查,以排外中央型肺癌
以下是引用形影不离在2008-5-19 21:13:00的发言:[br]左侧胸壁脂肪瘤;肺部还是考虑心衰并肺水肿,胸腔积液。
| 欢迎光临 医影在线 (http://bbs.radida.com/bbs/) | Powered by Discuz! X3.2 |