医影在线

标题: CT13536:蛛网膜下腔囊肿? [打印本页]

作者: wmsyy    时间: 2008-5-20 19:54
标题: CT13536:蛛网膜下腔囊肿?
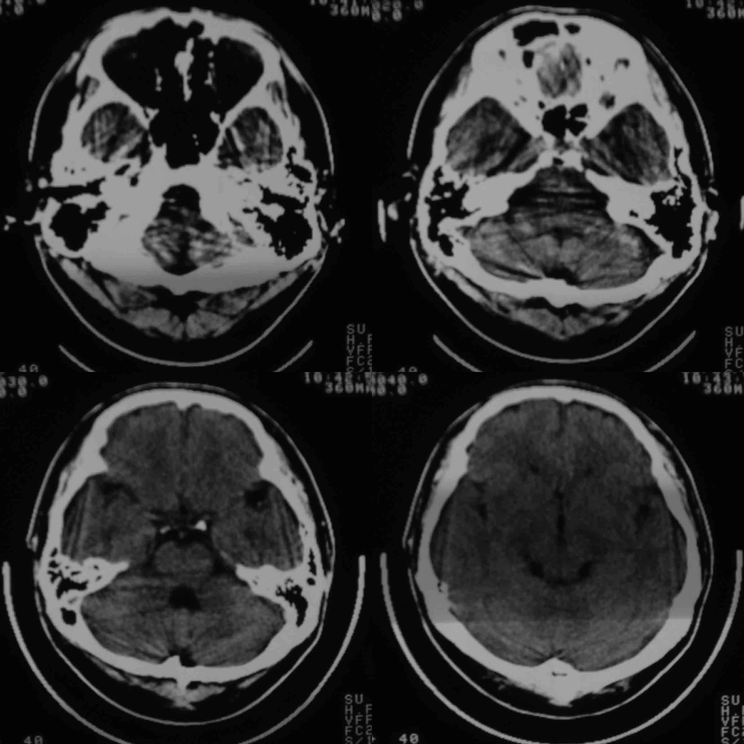
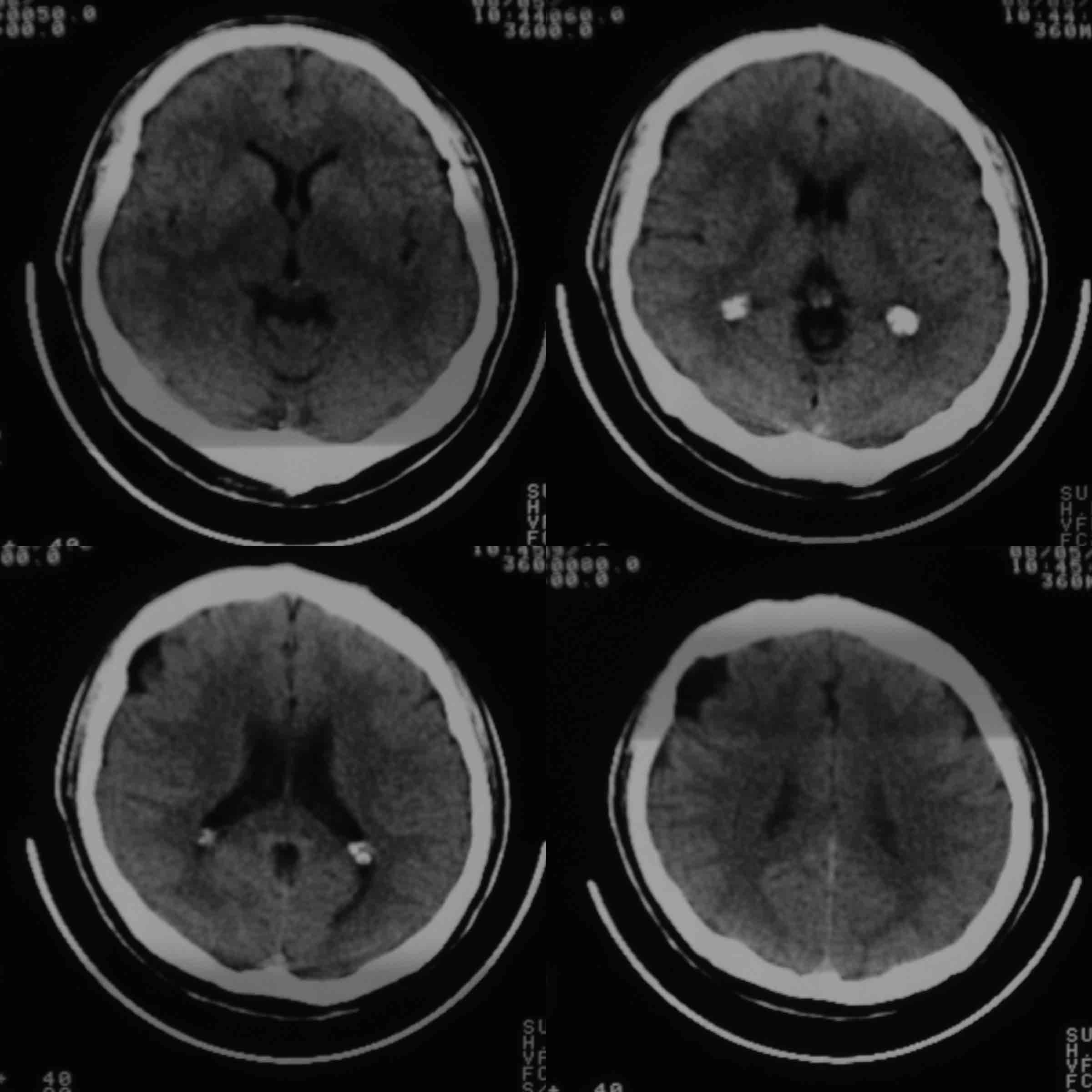
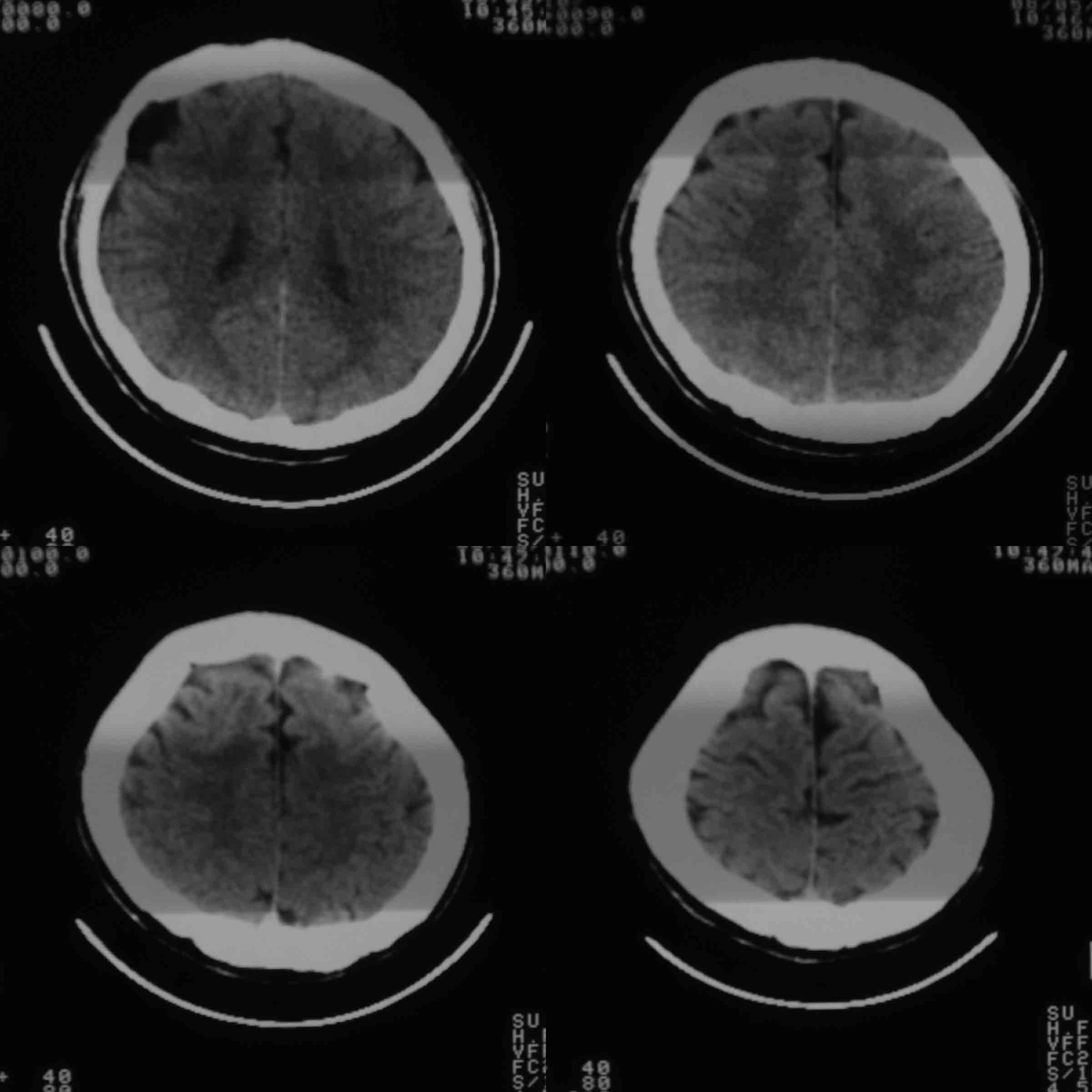
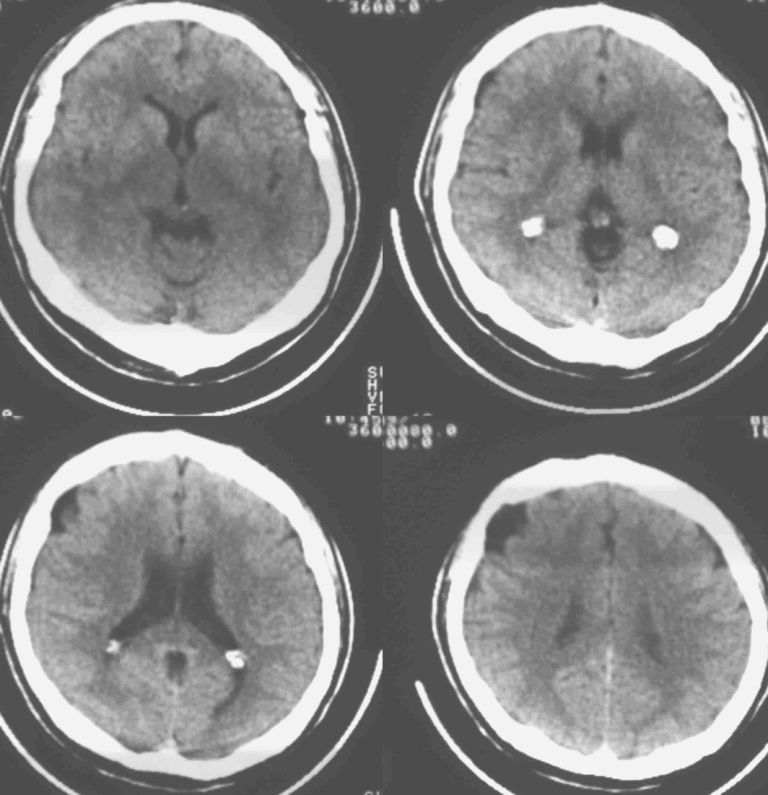
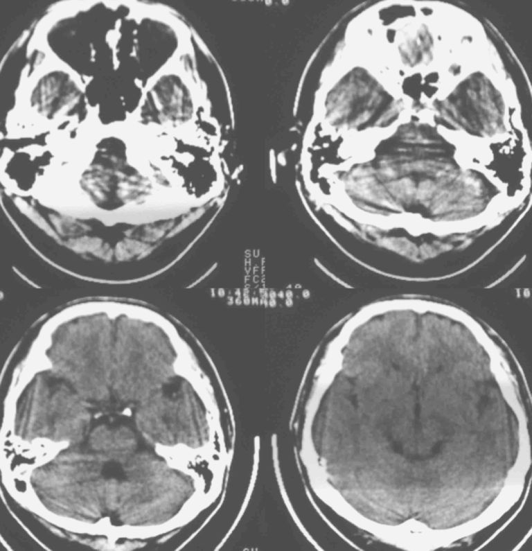
男37岁头持续性痛1天。右额部蛛网膜下腔囊肿诊断是否正确,请老师们帮忙看看。谢谢!






[本贴已被 jiajie 于 2008-5-20 19:47:30 修改过]

作者: 前行    时间: 2008-5-20 20:01
支持蛛网膜囊肿
作者: yangyudong333    时间: 2008-5-20 20:06
支持蛛网膜囊肿
作者: 358450m    时间: 2008-5-20 20:07
蛛网膜囊肿
作者: 余辉    时间: 2008-5-20 20:35
标题: 回复:蛛网膜下腔囊肿?
以下是引用前行在2008-5-20 12:01:00的发言:[br]支持蛛网膜囊肿

作者: lxq2000    时间: 2008-5-20 20:43
支持蛛网膜囊肿
作者: zjzjr    时间: 2008-5-20 21:00
支持蛛网膜囊肿
作者: jiangjing    时间: 2008-5-20 21:07
支持蛛网膜囊肿
作者: pujunzhi    时间: 2008-5-20 21:10
支持蛛网膜囊肿
作者: 借酒温书    时间: 2008-5-20 22:08
支持蛛网膜囊肿
作者: 深泽交通    时间: 2008-5-20 22:34
zhi chi
作者: zsl6918    时间: 2008-5-20 22:44
支持楼主诊断
作者: dyqct    时间: 2008-5-20 23:05
支持右额区蛛网膜囊肿。
作者: 雄鹰    时间: 2008-5-20 23:17
支持
作者: 杀毒软件    时间: 2008-5-20 23:40
支持蛛网膜囊肿
作者: ydx_74    时间: 2008-5-21 00:08
标题: 回复:蛛网膜下腔囊肿?
支持

作者: zfp8818    时间: 2008-5-21 00:29
支持蛛网膜囊肿
作者: 卜一    时间: 2008-5-21 01:14
支持:蛛网膜囊肿!
作者: 主力军    时间: 2008-5-21 01:26
有顶叶蛛网膜下腔囊肿
作者: zsj943006    时间: 2008-5-21 01:27
支持:蛛网膜囊肿
作者: ※学生※    时间: 2008-5-21 01:40
支持蛛网膜囊肿
作者: 同    时间: 2008-5-21 01:47
支持蛛网膜囊肿
作者: yy杨洋    时间: 2008-5-21 01:49
支持蛛网膜囊肿
作者: xulianj    时间: 2008-5-21 04:04
支持
作者: 拾荒者    时间: 2008-5-21 05:47
右侧额叶蛛网膜囊肿。
作者: panyishengct    时间: 2008-5-21 05:53
支持蛛网膜囊肿
作者: 随光逐影    时间: 2008-5-21 15:24
支持 蛛网膜囊肿。
作者: 黑白光影    时间: 2008-5-21 17:34
支持蛛网膜囊肿。
作者: zhuming943066    时间: 2008-5-21 23:26
标题: 回复:ct13536:蛛网膜下腔囊肿?
以下是引用jiangjing在2008-5-20 13:07:00的发言:[br]支持蛛网膜囊肿

作者: 光影相伴    时间: 2008-5-22 02:45
支持:蛛网膜囊肿。
作者: jinguoji    时间: 2008-5-22 06:28
支持蛛网膜囊肿。




欢迎光临 医影在线 (http://bbs.radida.com/bbs/) Powered by Discuz! X3.2