医影在线
标题: CT13537:男,68岁。轻度咳嗽带少量白痰。抗感染治疗病灶无 [打印本页]
作者: fanshl 时间: 2008-5-20 20:01
标题: CT13537:男,68岁。轻度咳嗽带少量白痰。抗感染治疗病灶无
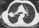
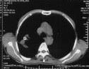
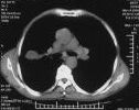
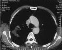
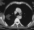
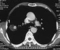
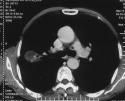
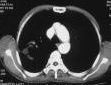
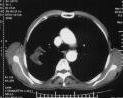
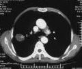
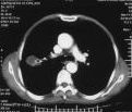
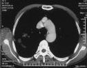
男,68岁。轻度咳嗽带少量白痰。抗感染治疗病灶无明显变化,十年前曾有结核病史,这一次作结核免疫试验阴性。以下是最近作的ct扫描(13835661687):






























[本贴已被 fanshl 于 2008-5-20 12:01:32 修改过]
[本贴已被 jiajie 于 2008-5-20 19:51:18 修改过]
作者: 358450m 时间: 2008-5-20 20:04
结核
作者: lxq2000 时间: 2008-5-20 20:41
考虑结核 抗结核治疗后复查 除外肺ca
作者: wxxlxc 时间: 2008-5-20 20:46
考虑肺结核。
作者: zjzjr 时间: 2008-5-20 21:04
考虑继发型肺结核及周围型肺癌.
作者: jiangjing 时间: 2008-5-20 21:06
考虑结核 抗结核治疗后复查
作者: 余辉 时间: 2008-5-20 21:13
图像太小了一点,病灶形态及临表较支持周围型肺癌,强化好像又较支持结核,把图像弄大一点
作者: 深泽交通 时间: 2008-5-20 22:33
需出外占位
作者: zsl6918 时间: 2008-5-20 22:48
图像太小了啊,看的费劲。
作者: dyqct 时间: 2008-5-20 23:08
图像太小了啊,看的费劲。支持!可能为右上继发型肺结核伴结核球形成,但不除外瘢痕癌。
作者: 杀毒软件 时间: 2008-5-20 23:47
右上继发型肺结核伴结核球形成可能性大
作者: ydx_74 时间: 2008-5-21 00:04
肺癌难排除
作者: yangyudong333 时间: 2008-5-21 01:10
右上继发型肺结核伴结核球形成可能性大
作者: 卜一 时间: 2008-5-21 01:13
右上继发型肺结核伴结核球形成可能性大!支持!
作者: 主力军 时间: 2008-5-21 01:24
右肺周围性肺癌可能性大
作者: 同 时间: 2008-5-21 01:50
考虑肺结核,瘢痕癌不出外.
作者: yy杨洋 时间: 2008-5-21 01:51
标题: 回复:男,68岁。
以下是引用余辉在2008-5-20 13:13:00的发言:[br]图像太小了一点,病灶形态及临表较支持周围型肺癌,强化好像又较支持结核,把图像弄大一点
作者: 周战梅 时间: 2008-5-21 02:12
瘢痕癌或类癌,纵隔内可见肿大淋巴
作者: zhw974247 时间: 2008-5-21 02:43
考虑继发型肺结核及霉菌球.
作者: fanshl 时间: 2008-5-21 02:49
该患者在某家省城3级医院做了结核菌素试验,明确排除了结核。病灶呈液性密度,增强扫描未见强化。患者目前没有明显症状。
作者: 影象小辈 时间: 2008-5-21 02:54
陈旧结核 右叶间胸膜肥厚粘连并少量包裹积液
作者: xulianj 时间: 2008-5-21 04:29
继发型肺结核伴结核球形成
作者: 拾荒者 时间: 2008-5-21 06:09
标题: 回复:ct13537:男,68岁。轻度咳嗽带少量白痰。抗感染治疗
以下是引用余辉在2008-5-20 13:13:00的发言:[br]图像太小了一点,病灶形态及临表较支持周围型肺癌,强化好像又较支持结核,把图像弄大一点
支持!
作者: jinguoji 时间: 2008-5-22 06:34
右上继发型肺结核伴结核球形成可能性大.
| 欢迎光临 医影在线 (http://bbs.radida.com/bbs/) |
Powered by Discuz! X3.2 |