医影在线
标题: CT3539:盆腔巨大肿瘤增强 [打印本页]
作者: 王靖旗 时间: 2008-5-20 20:04
标题: CT3539:盆腔巨大肿瘤增强
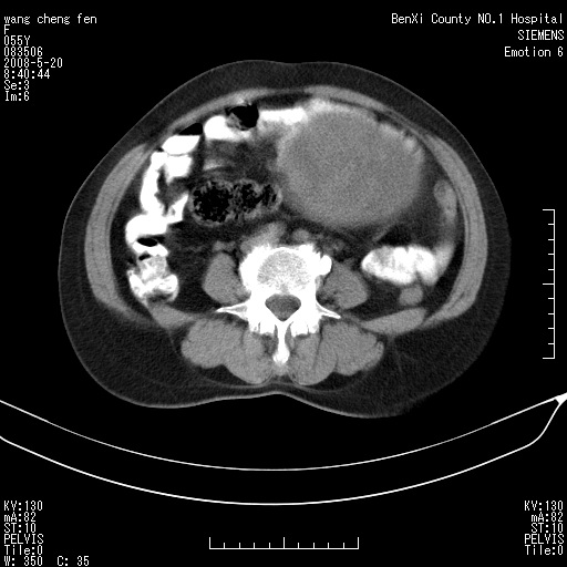
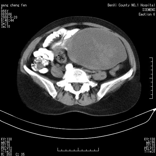
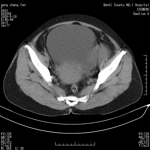
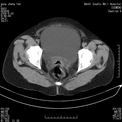
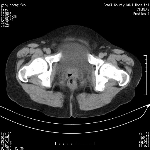
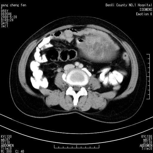
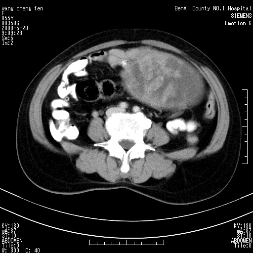
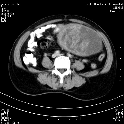
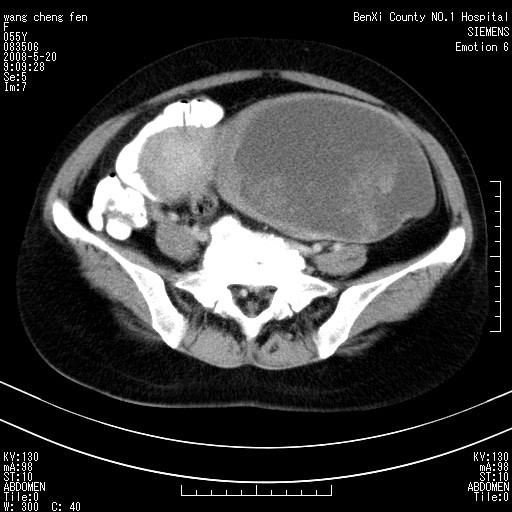
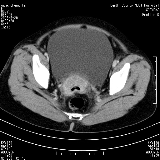
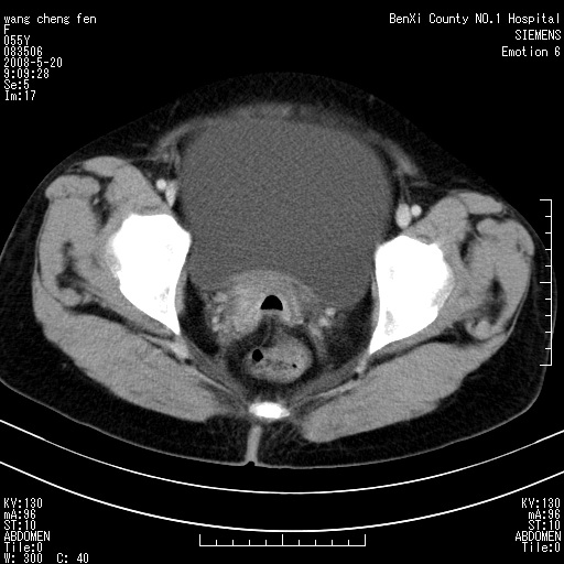
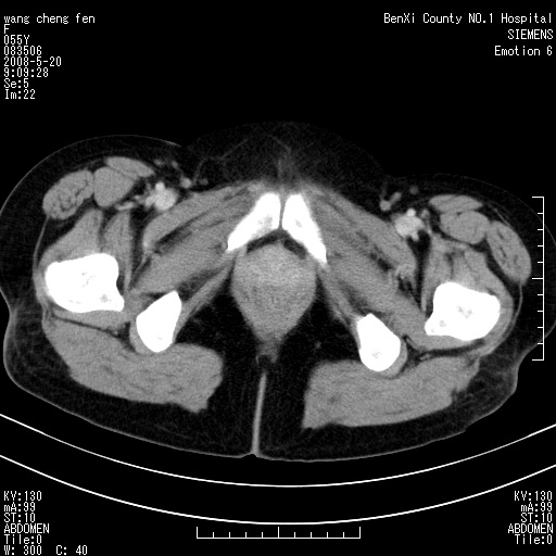
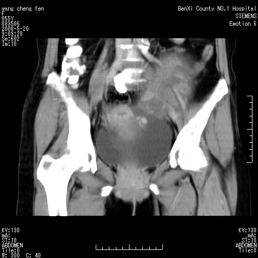
女、绝经后阴道流血3个月
宫颈略萎缩、宫颈前唇及阴道前臂可初级结节。




























































[本贴已被 jiajie 于 2008-5-20 19:51:31 修改过]
作者: lxq2000 时间: 2008-5-20 20:31
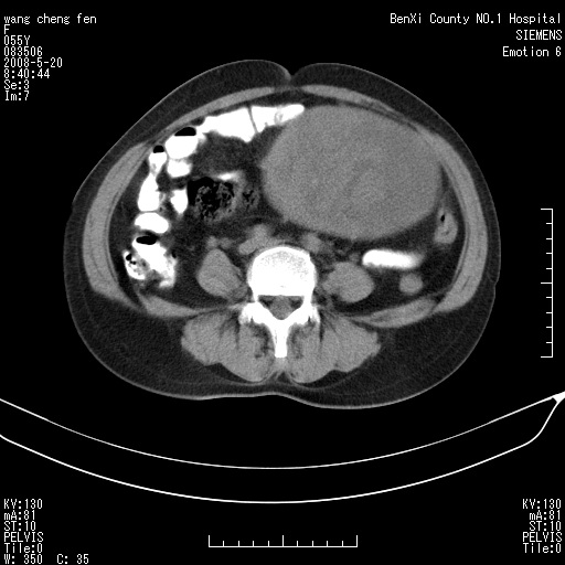
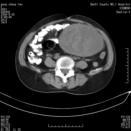
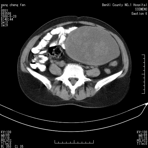
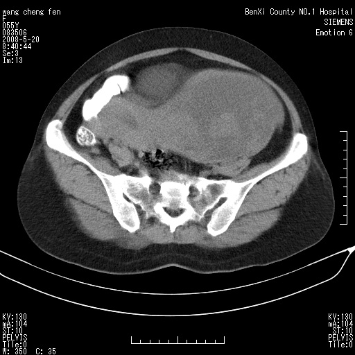
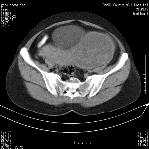
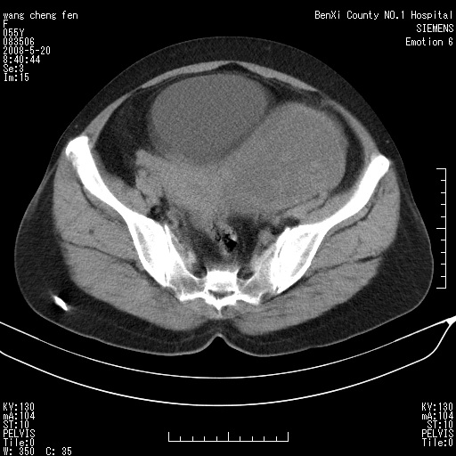
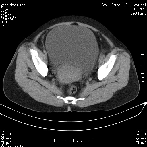
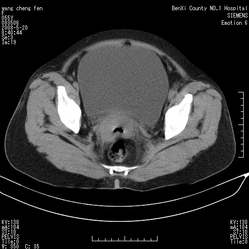
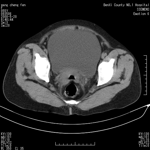
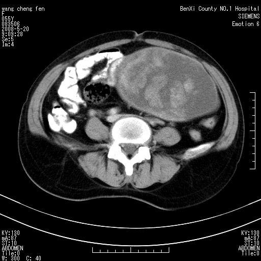
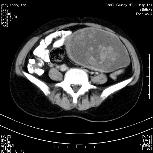
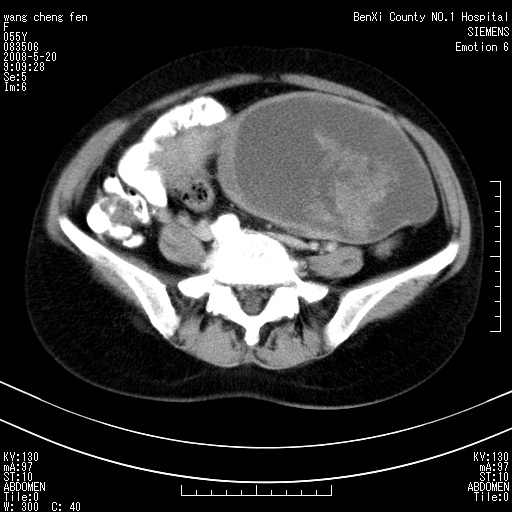
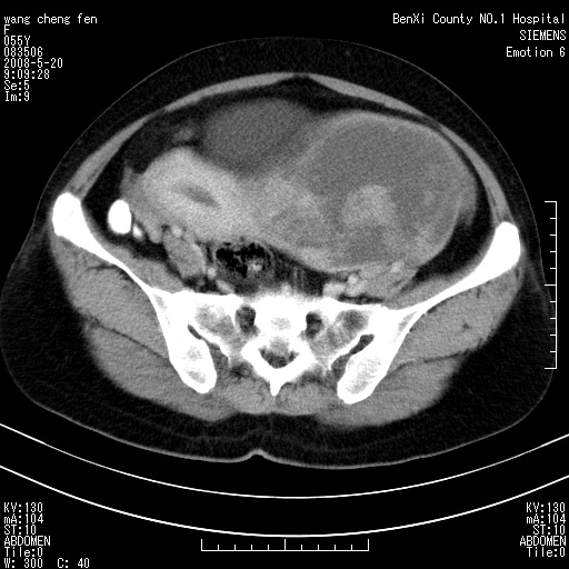
左侧附件区可见一囊性占位,边缘清楚,内可见不规则形软组织影 ce:囊壁及内部可见强化 考虑 卵巢囊腺瘤
作者: 余辉 时间: 2008-5-20 20:33
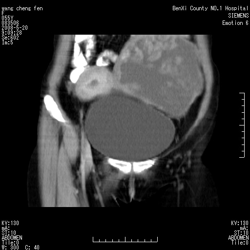
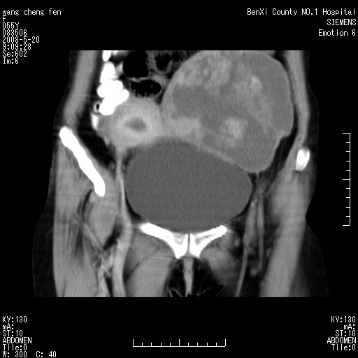
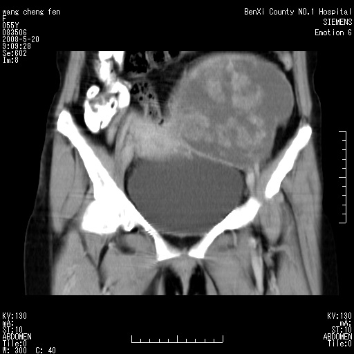
左侧附件区巨大囊实性病灶,边缘光整,病灶囊壁较厚,增强示囊壁及实性部分明显强化,强化呈度与宫体实质大致相同,宫腔积液征像,未见盆腔积液等其他异常,考虑左侧卵巢囊腺癌,不除外囊腺瘤及浆膜下肌瘤坏死
作者: lxq2000 时间: 2008-5-20 20:37
补充不除外子宫肌瘤
作者: xuhuihong 时间: 2008-5-20 20:51
左侧附件区巨大囊实性病灶,边缘光整,病灶囊壁较厚,增强示囊壁及实性部分明显强化,强化呈度与宫体实质大致相同,宫腔积液征像,未见盆腔积液等其他异常。绝经后阴道流血3个月,结合病史左侧卵巢囊腺癌首先考虑,宫腔扩大不除外累及。期待结果。
作者: jiangjing 时间: 2008-5-20 21:04
左侧附件区巨大囊实性病灶,边缘光整,病灶囊壁较厚,增强示囊壁及实性部分明显强化,强化呈度与宫体实质大致相同,宫腔积液征像,未见盆腔积液等其他异常,考虑左侧卵巢囊腺癌,
作者: 王靖旗 时间: 2008-5-20 21:07
宫颈好像也有问题吧,大家在仔细看看,另外彩超回报为卵巢占位。建议ct。
作者: zjzjr 时间: 2008-5-20 21:10
标题: 1
支持浆膜下子宫肌瘤.之前由于网络原因未看全图片,现在重看,宫颈见一类圆形低密度影,增强轻度强化,低于肌层强化,宫腔扩大,考虑宫颈癌伴宫腔积液可能性大.
[本贴已被 zjzjr 于 2008-5-20 17:52:24 修改过]
作者: pujunzhi 时间: 2008-5-20 21:28
左侧卵巢囊实性占位,结合年龄和病史,考虑卵巢囊腺癌或囊腺瘤。
作者: 碧水蓝天 时间: 2008-5-20 21:47
支持卵巢囊腺癌
作者: 深泽交通 时间: 2008-5-20 22:31
边缘光滑,考虑囊腺瘤
作者: zsl6918 时间: 2008-5-20 22:53
考虑巨大的浆膜下子宫肌瘤并变性坏死,宫颈周围静脉曲张。
作者: dyqct 时间: 2008-5-20 23:13
标题: 回复:盆腔巨大肿瘤增强
以下是引用余辉在2008-5-20 12:33:00的发言:[br]左侧附件区巨大囊实性病灶,边缘光整,病灶囊壁较厚,增强示囊壁及实性部分明显强化,强化呈度与宫体实质大致相同,宫腔积液征像,未见盆腔积液等其他异常,考虑左侧卵巢囊腺癌,不除外囊腺瘤及浆膜下肌瘤坏死
宫颈癌待排。
作者: 杀毒软件 时间: 2008-5-20 23:46
标题: 回复:盆腔巨大肿瘤增强
以下是引用xuhuihong在2008-5-20 12:51:00的发言:[br]左侧附件区巨大囊实性病灶,边缘光整,病灶囊壁较厚,增强示囊壁及实性部分明显强化,强化呈度与宫体实质大致相同,宫腔积液征像,未见盆腔积液等其他异常。绝经后阴道流血3个月,结合病史左侧卵巢囊腺癌首先考虑,宫腔扩大不除外累及。期待结果。
支持
作者: ydx_74 时间: 2008-5-21 00:01
考虑卵巢囊腺癌,浆膜下肌瘤待排。
作者: 358450m 时间: 2008-5-21 00:29
标题: 回复:盆腔巨大肿瘤增强
以下是引用余辉在2008-5-20 12:33:00的发言:[br]左侧附件区巨大囊实性病灶,边缘光整,病灶囊壁较厚,增强示囊壁及实性部分明显强化,强化呈度与宫体实质大致相同,宫腔积液征像,未见盆腔积液等其他异常,考虑左侧卵巢囊腺癌,不除外囊腺瘤及浆膜下肌瘤坏死
作者: yangyudong333 时间: 2008-5-21 01:08
支持卵巢囊腺癌
作者: 卜一 时间: 2008-5-21 01:12
左侧卵巢囊实性占位,结合年龄和病史,考虑卵巢囊腺癌或囊腺瘤。支持!
作者: 主力军 时间: 2008-5-21 01:20
缺延时片子,左侧盆腔囊实性占位,来自于左侧附件可能性大,囊腺癌可能性大。
作者: 沉默是金 时间: 2008-5-21 01:37
卵巢囊腺ca
作者: 同 时间: 2008-5-21 01:54
考虑 卵巢囊腺瘤或癌,子宫肌瘤不排除.
作者: yy杨洋 时间: 2008-5-21 01:57
考虑卵巢囊腺癌,浆膜下肌瘤待排
作者: 影象小辈 时间: 2008-5-21 03:45
左侧附件区囊腺癌
作者: xulianj 时间: 2008-5-21 04:37
左侧卵巢囊实性占位;考虑卵巢囊腺癌或囊腺瘤。
作者: panyishengct 时间: 2008-5-21 06:07
左侧附件区巨大囊实性病灶,边缘光整,病灶囊壁较厚,增强示囊壁及实性部分明显强化,强化呈度与宫体实质大致相同,宫腔积液征像,未见盆腔积液等其他异常。绝经后阴道流血3个月,结合病史左侧卵巢囊腺癌首先考虑,宫腔扩大不除外累及。期待结果。
作者: 拾荒者 时间: 2008-5-21 06:30
标题: 回复:ct3539:盆腔巨大肿瘤增强
以下是引用余辉在2008-5-20 12:33:00的发言:[br]左侧附件区巨大囊实性病灶,边缘光整,病灶囊壁较厚,增强示囊壁及实性部分明显强化,强化呈度与宫体实质大致相同,宫腔积液征像,未见盆腔积液等其他异常,考虑左侧卵巢囊腺癌,不除外囊腺瘤及浆膜下肌瘤坏死
囊实性肿块分隔厚度较大,厚薄不均,增强实性成分明显强化,有不规则阴道流血,卵巢囊腺癌可能性大。
作者: 黑白光影 时间: 2008-5-21 17:29
考虑左侧卵巢囊腺癌可能性大,不除外囊腺瘤及浆膜下肌瘤坏死。
作者: qiuleiyu 时间: 2008-5-21 18:18
1,宫颈部占位,宫颈癌?2,左侧附件区囊实性占位,界较清,实质部分强化明显。考虑浆膜下或阔韧带肌瘤囊变可能大。囊腺类肿瘤不除外。
作者: zxczxc 时间: 2008-5-21 19:14
左侧卵巢囊腺癌。
作者: liufaming 时间: 2008-5-21 19:58
左侧附件区巨大囊实性病灶,边缘光整,病灶囊壁较厚,增强示囊壁及实性部分明显强化,强化呈度与宫体实质大致相同,宫腔积液征像,未见盆腔积液等其他异常。绝经后阴道流血3个月,结合病史左侧卵巢囊腺癌首先考虑,宫腔扩大不除外累及。
作者: 光影相伴 时间: 2008-5-22 02:51
支持:卵巢囊腺癌。
作者: jinguoji 时间: 2008-5-23 06:15
标题: 回复:ct3539:盆腔巨大肿瘤增强
以下是引用余辉在2008-5-20 12:33:00的发言:[br]左侧附件区巨大囊实性病灶,边缘光整,病灶囊壁较厚,增强示囊壁及实性部分明显强化,强化呈度与宫体实质大致相同,宫腔积液征像,未见盆腔积液等其他异常,考虑左侧卵巢囊腺癌,不除外囊腺瘤及浆膜下肌瘤坏死
支持!
| 欢迎光临 医影在线 (http://bbs.radida.com/bbs/) |
Powered by Discuz! X3.2 |