医影在线

标题: CT12538:男,87岁,请会诊! [打印本页]

作者: zhw974247    时间: 2008-5-20 20:08
标题: CT12538:男,87岁,请会诊!
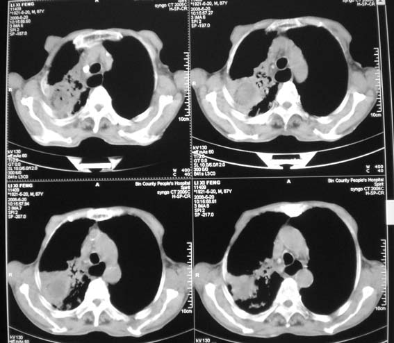
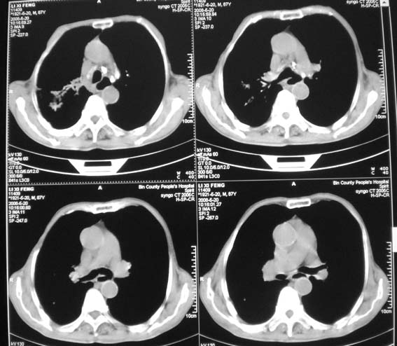
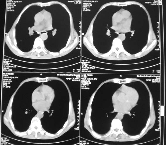
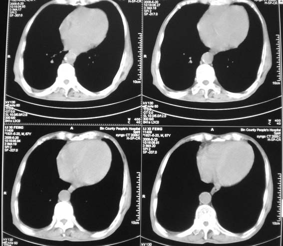
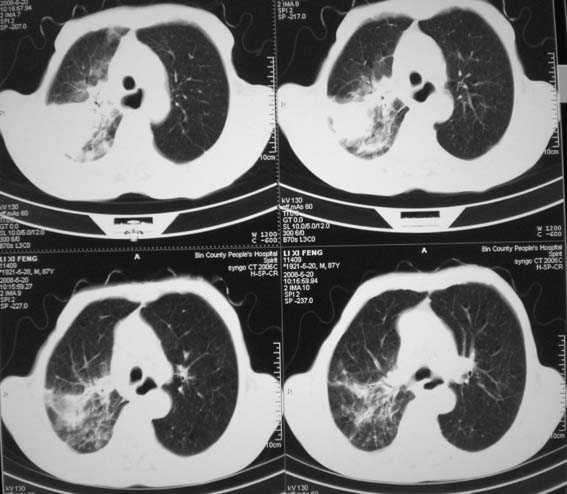
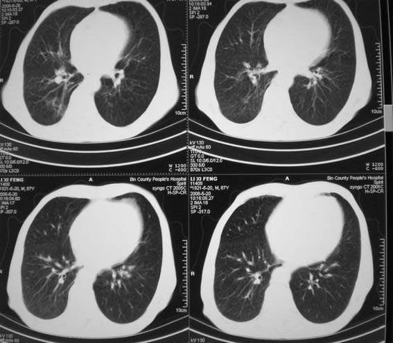
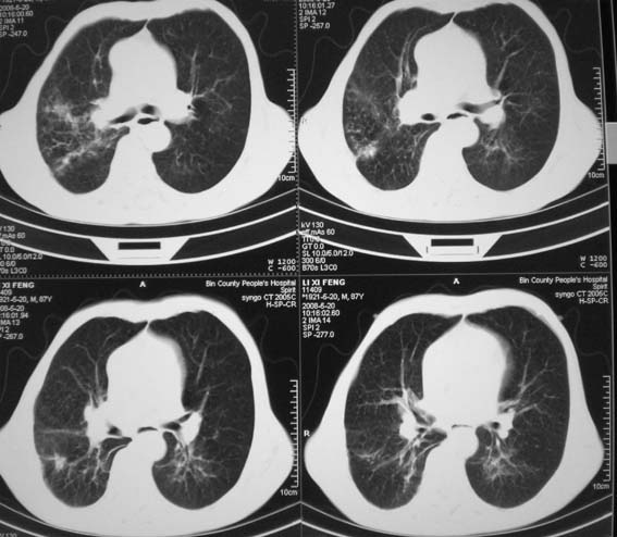
男,87岁,咳嗽、发烧、有黄痰,胸片示肺结核。











作者: 余辉    时间: 2008-5-20 20:13
支持考虑继发型结核
作者: xuhuihong    时间: 2008-5-20 20:43
考虑继发型结核伴右上霉菌球形成。
作者: jiangjing    时间: 2008-5-20 21:00
考虑  肺结核伴感染
作者: zjzjr    时间: 2008-5-20 21:01
支持考虑继发型结核,慢性支气管炎伴肺气肿
作者: xinhai    时间: 2008-5-20 21:42
考虑继发型结核伴右上霉菌球形成。
作者: 深泽交通    时间: 2008-5-20 22:27
右肺化浓性感染
作者: zsl6918    时间: 2008-5-20 22:56
右肺上叶炎性改变,结核可能性大。既然病人现有发热及黄痰,那就对症处理。
作者: dyqct    时间: 2008-5-20 23:14
标题: 回复:ct12538:男,87岁,请会诊!
以下是引用zjzjr在2008-5-20 13:01:00的发言:[br]支持考虑继发型结核,慢性支气管炎伴肺气肿

支持!
作者: 杀毒软件    时间: 2008-5-20 23:41
标题: 回复:ct12538:男,87岁,请会诊!
以下是引用zjzjr在2008-5-20 13:01:00的发言:[br]支持考虑继发型结核,慢性支气管炎伴肺气肿

支持
作者: ydx_74    时间: 2008-5-20 23:53
右侧上叶结核,干酪性肺炎,慢支
作者: 358450m    时间: 2008-5-21 00:30
支持考虑继发型结核
作者: yangyudong333    时间: 2008-5-21 01:06
以下是引用zjzjr在2008-5-20 13:01:00的发言:
支持考虑继发型结核,慢性支气管炎伴肺气肿
作者: 主力军    时间: 2008-5-21 01:10
继发性肺结核,真菌感染,不出外占位性病变,建议治疗后复查
作者: 卜一    时间: 2008-5-21 01:10
以下是引用zjzjr在2008-5-20 13:01:00的发言:
支持考虑继发型结核,慢性支气管炎伴肺气肿


支持!!!
作者: yy杨洋    时间: 2008-5-21 01:59
支持大家意见.
作者: 同    时间: 2008-5-21 02:17
考虑 肺结核伴感染.
作者: 影象小辈    时间: 2008-5-21 02:34
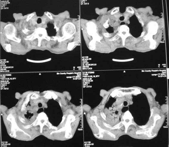
右肺上叶尖后段片状不规则致密影,密度欠均匀,相邻胸膜肥厚,纵隔内见多发肿大、钙化淋巴结,考虑为结核,部分坏死
作者: xulianj    时间: 2008-5-21 04:13
支持考虑继发型结核,慢性支气管炎伴肺气肿。
作者: 拾荒者    时间: 2008-5-21 06:12
标题: 回复:ct12538:男,87岁,请会诊!
以下是引用ydx_74在2008-5-20 15:53:00的发言:[br]右侧上叶结核,干酪性肺炎,慢支

有低密度坏死灶;结合痰检。
作者: panyishengct    时间: 2008-5-21 06:19
考虑  肺结核伴感染
作者: 黑白光影    时间: 2008-5-21 17:27
支持考虑继发型结核,慢性支气管炎伴肺气肿。
作者: jinguoji    时间: 2008-5-23 06:19
支持考虑继发型结核,慢性支气管炎伴肺气肿。




欢迎光临 医影在线 (http://bbs.radida.com/bbs/) Powered by Discuz! X3.2