医影在线

标题: 男,72岁,咳嗽,咯痰,进日痰中带血 [打印本页]

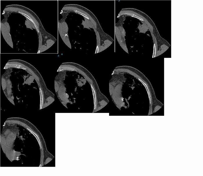
作者: lzg7412    时间: 2008-5-21 00:33
标题: 男,72岁,咳嗽,咯痰,进日痰中带血


作者: 杀毒软件    时间: 2008-5-21 00:51
请上传完整图像
作者: 前行    时间: 2008-5-21 01:59
不能排除周围型肺癌。
作者: 周战梅    时间: 2008-5-21 02:23
肺癌并淋巴管炎
作者: 358450m    时间: 2008-5-21 02:43
不能排除周围型肺癌。
作者: lishibao    时间: 2008-5-21 04:10
不能排除周围型肺癌。
作者: ZHANGZHONGSHOU    时间: 2008-5-21 04:38
考虑细支气管肺泡癌可能性大。
作者: zhengfaming    时间: 2008-5-21 04:55
周围型肺癌,并阻塞性炎症
作者: dyqct    时间: 2008-5-21 05:01
图像太局限,只能考虑左肺周围型肺癌。
作者: 王2008    时间: 2008-5-21 05:14
不排除左肺周围型肺癌。
作者: yangyudong333    时间: 2008-5-21 13:59
考虑炎症,不排除左肺周围型肺癌
作者: zsl6918    时间: 2008-5-21 14:37
要整体观察,系统分析,切忌按图索骥,断章取义.
作者: 同    时间: 2008-5-21 14:49
考虑 左肺周围型肺癌
作者: 深泽交通    时间: 2008-5-21 16:54
zhi chi 3
作者: 国王    时间: 2008-5-21 17:04
考虑细支气管肺泡癌
作者: 黑白光影    时间: 2008-5-21 17:50
标题: 回复:男,72岁,咳嗽,咯痰,进日痰中带血
以下是引用zsl6918在2008-5-21 6:37:00的发言:[br]要整体观察,系统分析,切忌按图索骥,断章取义.

支持此观点
作者: zxczxc    时间: 2008-5-21 19:01
左肺周围型肺癌。
作者: 影象小辈    时间: 2008-5-22 00:08
首先考虑炎性改变(结核),不除外周围性肺癌   肺间质增生部分纤维化  支气管扩张并感染
作者: panyishengct    时间: 2008-5-22 00:26
周围型肺癌可能
作者: 光影相伴    时间: 2008-5-22 02:17
考虑:左肺周围型肺癌。
作者: jinguoji    时间: 2008-5-23 06:25
考虑左肺周围型肺癌。
作者: jiangdy    时间: 2009-2-28 23:55
考虑肺癌




欢迎光临 医影在线 (http://bbs.radida.com/bbs/) Powered by Discuz! X3.2