医影在线

标题: CT13542:发热,咳嗽数日,经抗菌素治疗好转,请大家看排除 [打印本页]

作者: 黑白影子    时间: 2008-5-21 01:48
标题: CT13542:发热,咳嗽数日,经抗菌素治疗好转,请大家看排除


























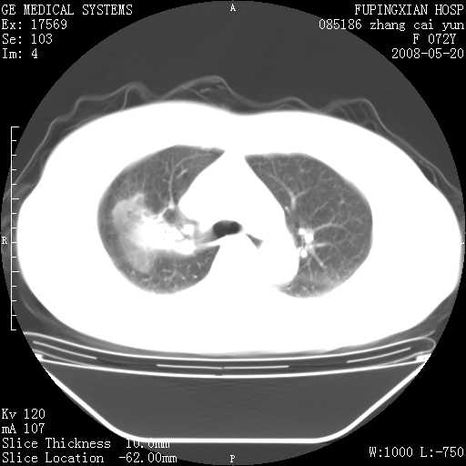
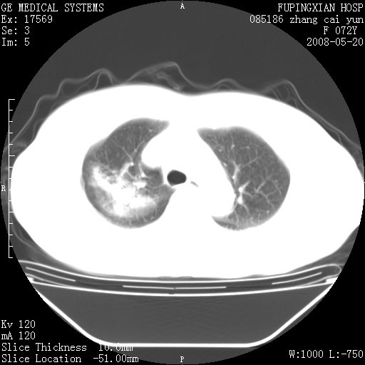
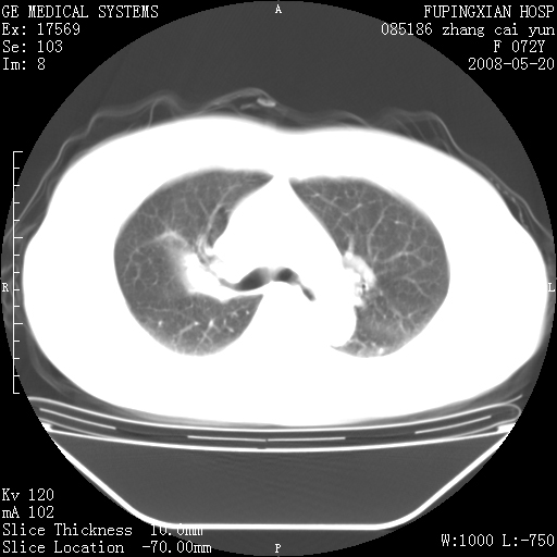
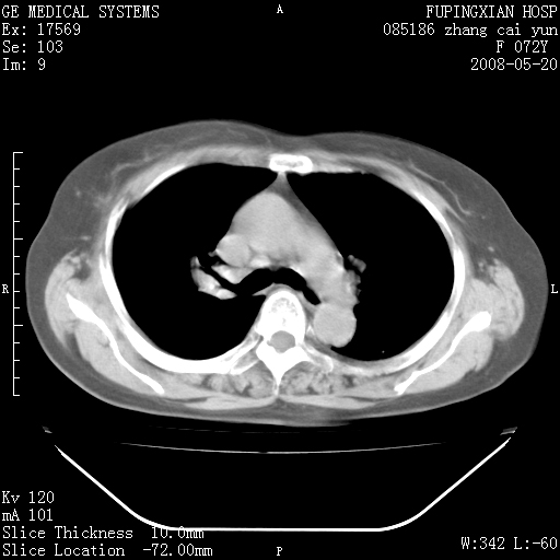
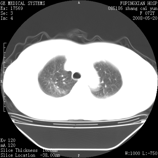
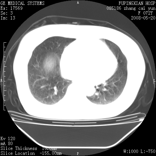
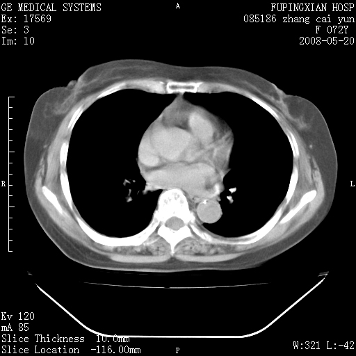
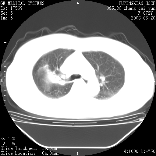
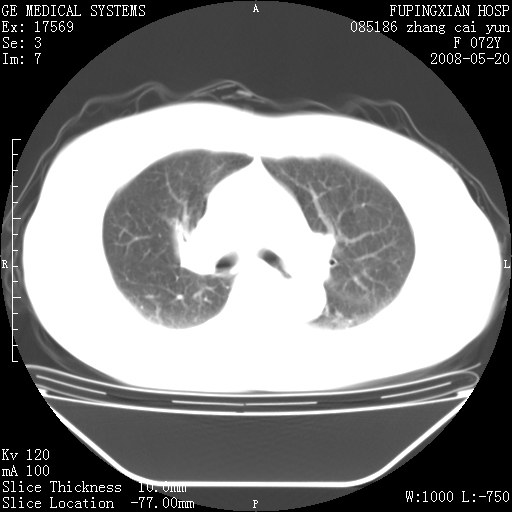
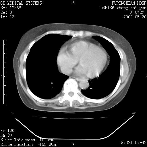
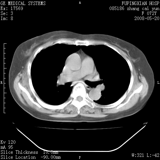
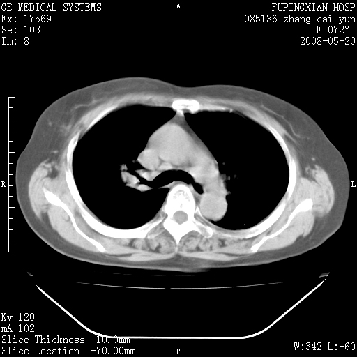
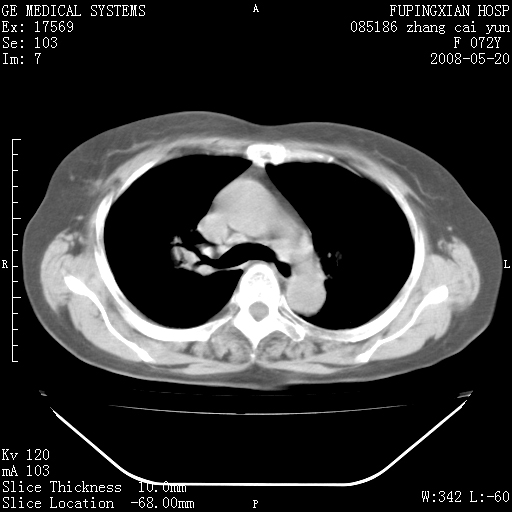
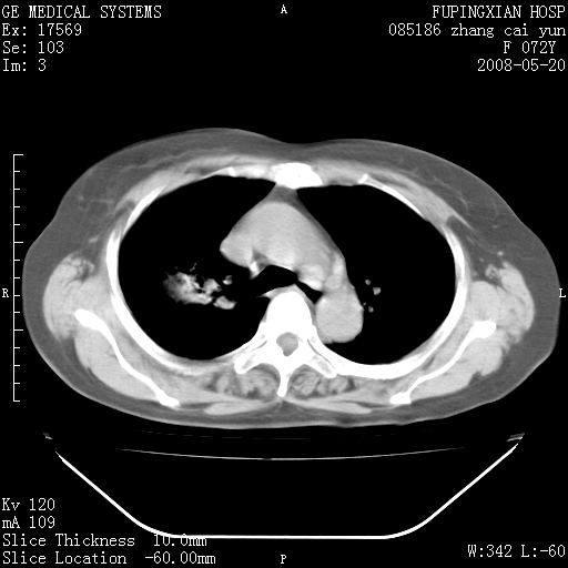
重建:

















[本贴已被 jiajie 于 2008-5-20 19:55:41 修改过]

作者: 卜一    时间: 2008-5-21 02:03
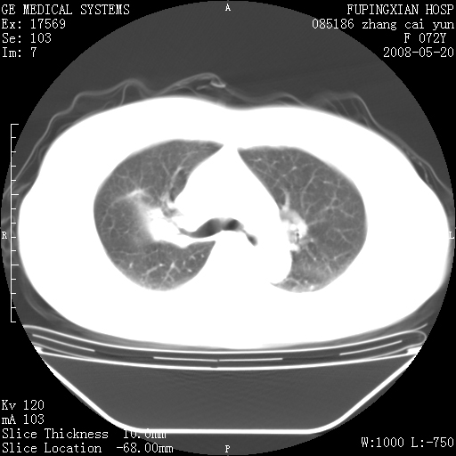
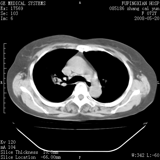
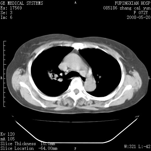
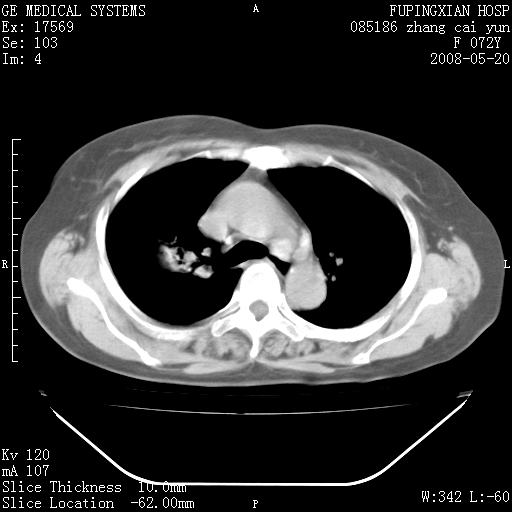
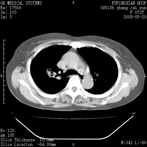
上叶支气管略变窄并通畅,内壁光滑。考虑:单纯阻塞性肺炎!
作者: 余辉    时间: 2008-5-21 02:06
右上叶支气管走行自然,未见明显管壁增厚等征像,另左主支气管起始部可见异常腔道向左侧延展左肺动脉干后方,与左下叶支气管相通,为左下叶支气管变异?
作者: 前行    时间: 2008-5-21 02:06
有节段性阻塞性肺炎与不张,近段支气管狭窄,周围散在肿大淋巴结影,以周围型肺癌可能性大,建议纤支镜检查。
作者: 杀毒软件    时间: 2008-5-21 02:46
支持阻塞性肺炎,建议纤支镜检查.
作者: 358450m    时间: 2008-5-21 02:49
标题: 回复:发热,咳嗽数日,经抗菌素治疗好转,请大家看排除
以下是引用卜一在2008-5-20 18:03:00的发言:[br]上叶支气管略变窄并通畅,内壁光滑。考虑:单纯阻塞性肺炎!

作者: 影象小辈    时间: 2008-5-21 02:58
有节段性阻塞性肺炎与不张,近段支气管狭窄,周围散在肿大淋巴结影,以周围型肺癌可能性大,建议纤支镜检查。
作者: zsl6918    时间: 2008-5-21 03:27
建议纤支镜检查,考虑支气管内膜结核可能性大
作者: zjzjr    时间: 2008-5-21 04:02
支持右上肺炎症,建议继续抗炎治疗后复查.
作者: 同    时间: 2008-5-21 04:28
考虑 右肺阻塞性肺炎
作者: hongtao    时间: 2008-5-21 04:32
考虑 右肺阻塞性肺炎
作者: xulianj    时间: 2008-5-21 04:55
支持阻塞性肺炎,建议纤支镜检查除外占位.
作者: dyqct    时间: 2008-5-21 05:12
标题: 回复:ct13542:发热,咳嗽数日,经抗菌素治疗好转,请大家
以下是引用zjzjr在2008-5-20 20:02:00的发言:[br]支持右上肺炎症,建议继续抗炎治疗后复查.

支持!
作者: panyishengct    时间: 2008-5-21 05:15
,建议继续抗炎治疗后复查.
作者: liuyue    时间: 2008-5-21 06:47
以下是引用余晖老师的发言:
右上叶支气管走行自然,未见明显管壁增厚等征像,另左主支气管起始部可见异常腔道向左侧延展左肺动脉干后方,与左下叶支气管相通,为左下叶支气管变异?
支持!
作者: 拾荒者    时间: 2008-5-21 06:49
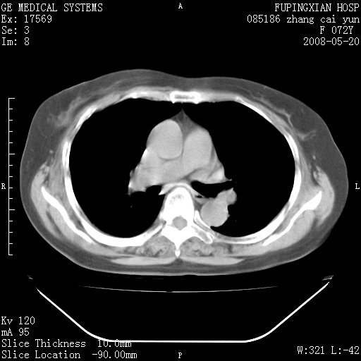
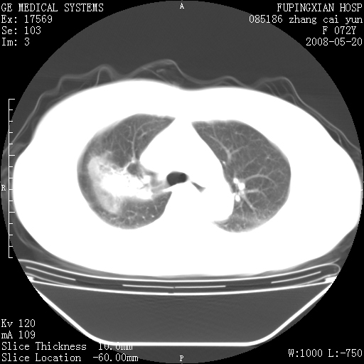
右肺上叶实变影,内见支气管充气征,右上叶支气管通畅,肺门区未见软组织密度影,抗炎治疗有效,考虑炎症,建议继续抗炎治疗复查。
作者: 白求恩第二    时间: 2008-5-21 07:44
右肺阻塞性肺炎  不除外支气管内膜结核
作者: yangyudong333    时间: 2008-5-21 13:57
支持右上肺炎症,建议继续抗炎治疗后复查.
作者: 随缘的人    时间: 2008-5-21 14:49
建议纤支镜检查
作者: 随光逐影    时间: 2008-5-21 15:46
考虑为:右肺上叶感染性病变。建议:1)继续抗炎治疗后复查。2)必要时行纤支镜检查。
作者: 国王    时间: 2008-5-21 16:31
右上肺实变,间内有支气管充气征,考虑炎症,建议抗炎后复查
作者: 深泽交通    时间: 2008-5-21 16:51
靠虑炎性实变
作者: 黑白光影    时间: 2008-5-21 17:47
右肺上叶感染性病变。建议:1)继续抗炎治疗后复查。2)必要时行纤支镜检查。
作者: zxczxc    时间: 2008-5-21 18:57
右下肺炎症。
作者: jinguoji    时间: 2008-5-23 06:32
支持考虑右上肺炎症,建议继续抗炎治疗后复查。




欢迎光临 医影在线 (http://bbs.radida.com/bbs/) Powered by Discuz! X3.2