




























































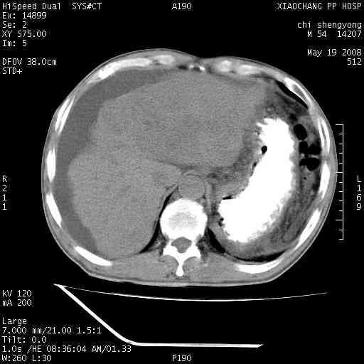
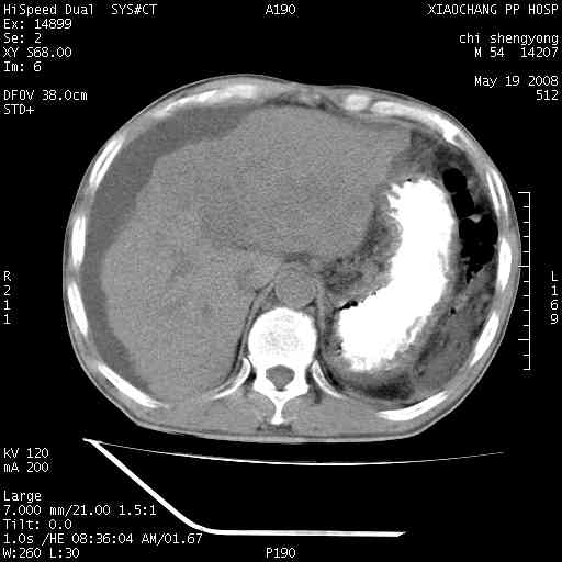
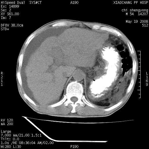
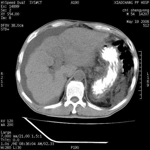
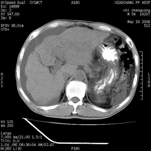
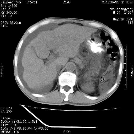
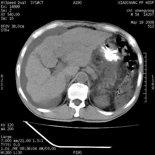
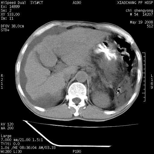
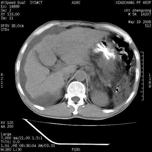
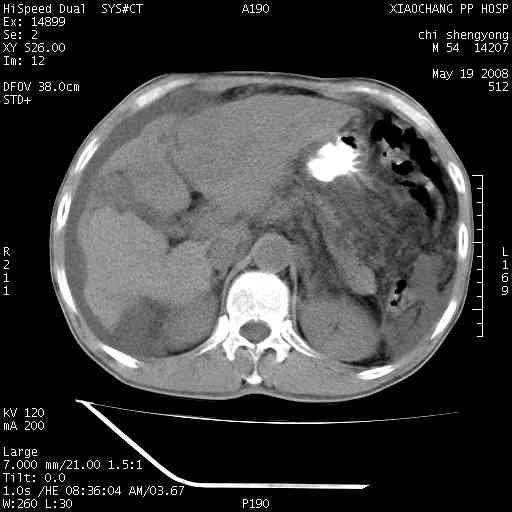
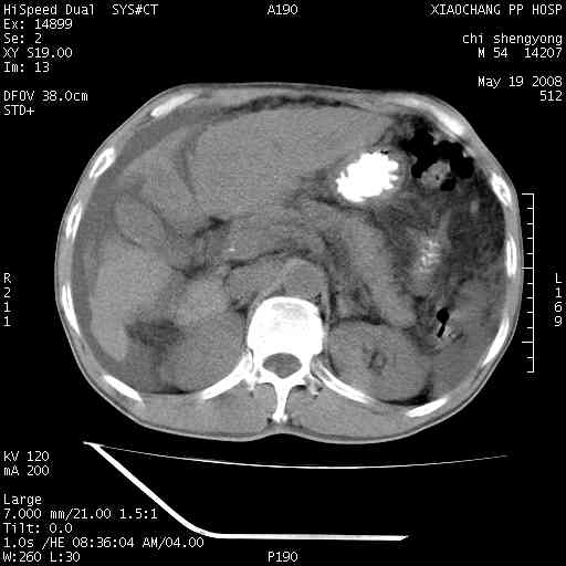
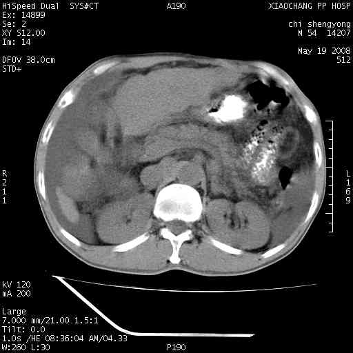
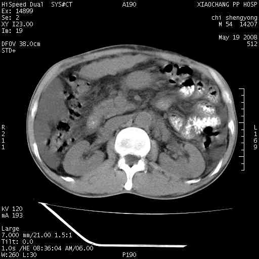
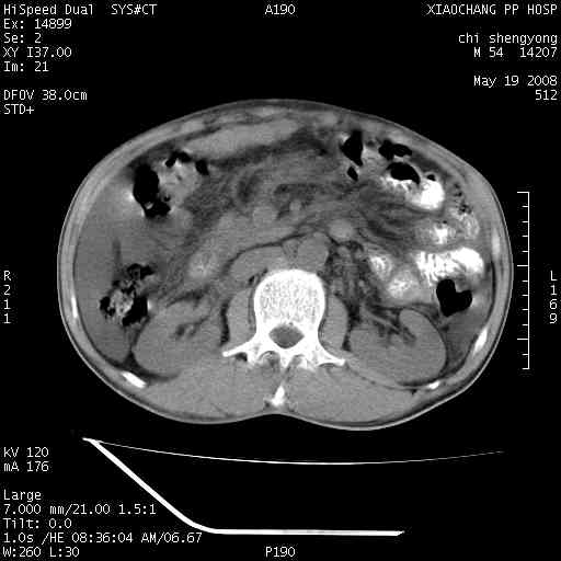
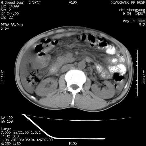
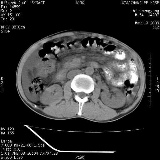
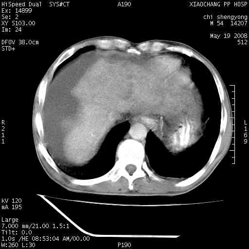
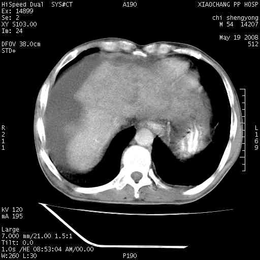
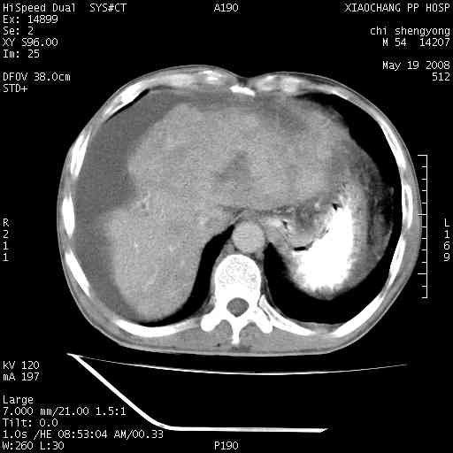
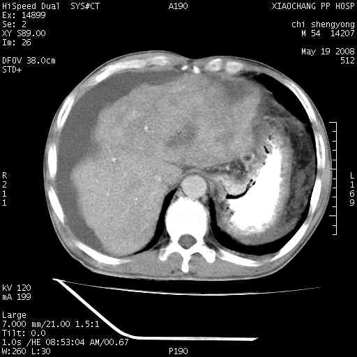
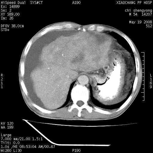
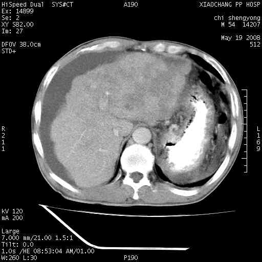
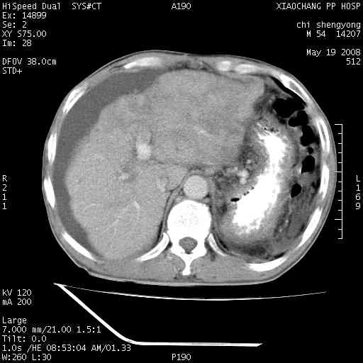
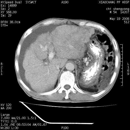
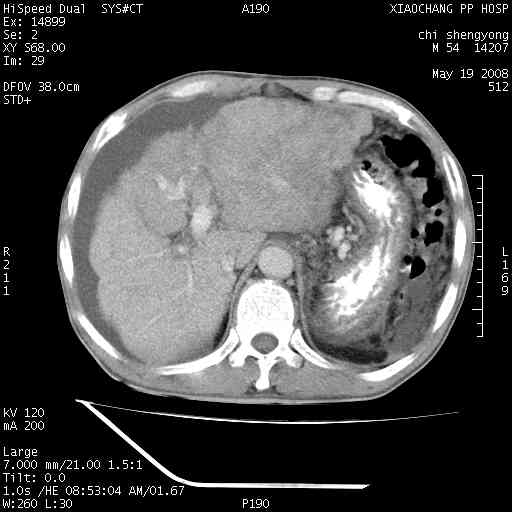
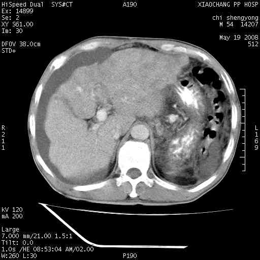
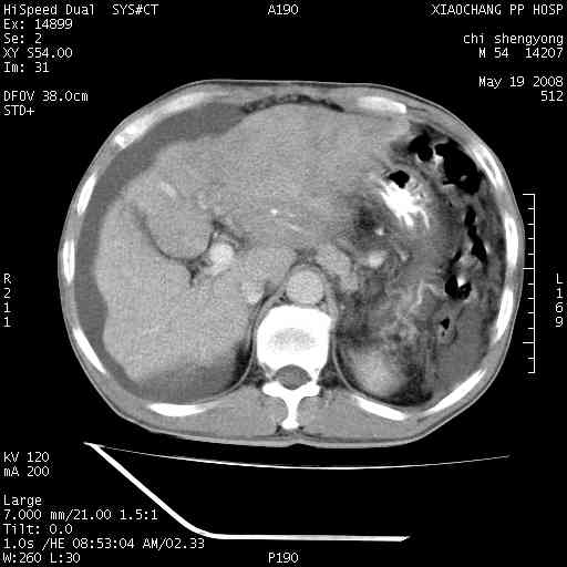
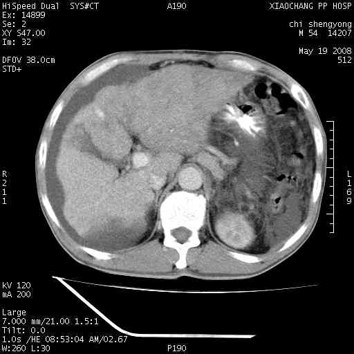
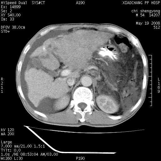
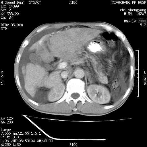
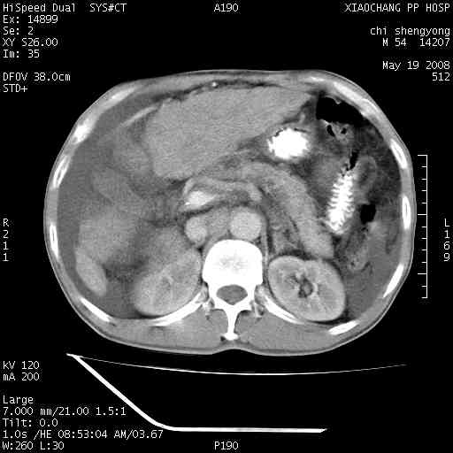
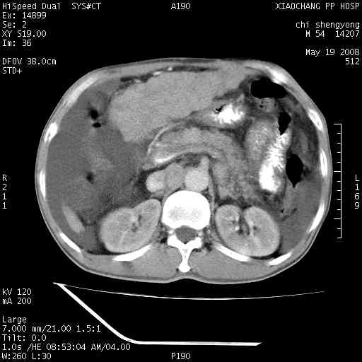
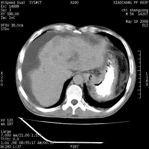
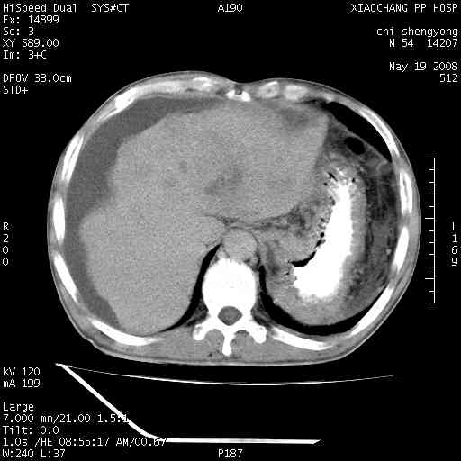
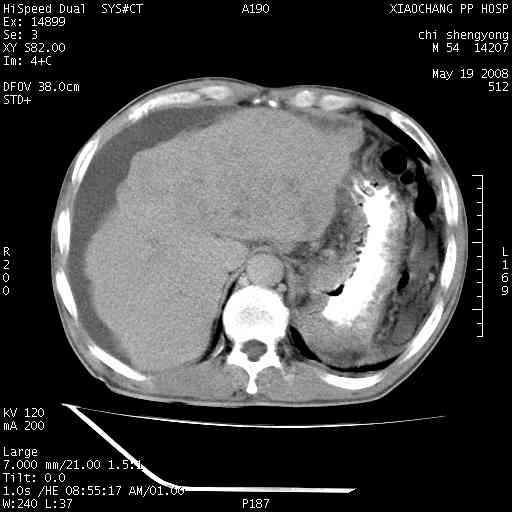
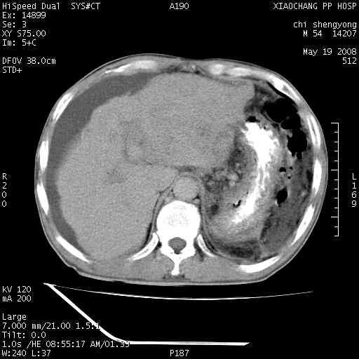
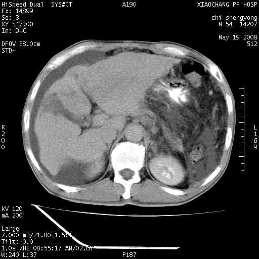
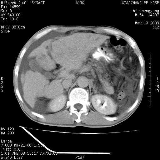
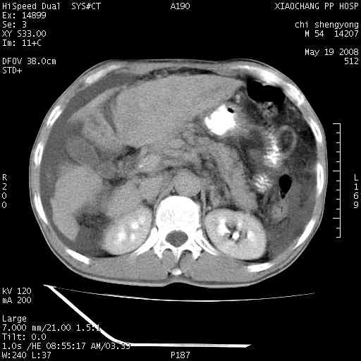
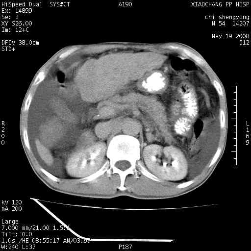
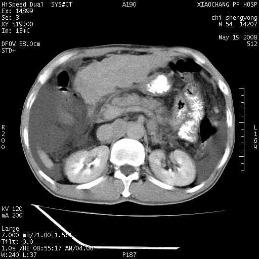
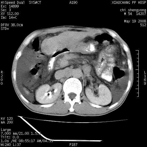
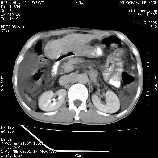
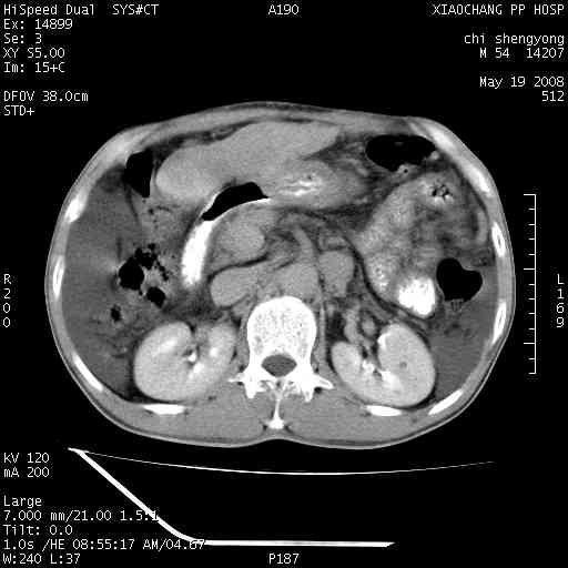
以下是引用zjzjr在2008-5-21 10:52:00的发言:[br]肝左叶巨块型肝癌伴门静脉左支瘤栓形成.肝硬化、腹水,胃底静脉曲张,脾术后改变。
以下是引用zjzjr在2008-5-21 10:52:00的发言:[br]肝左叶巨块型肝癌伴门静脉左支瘤栓形成.肝硬化、腹水,胃底静脉曲张,脾术后改变。
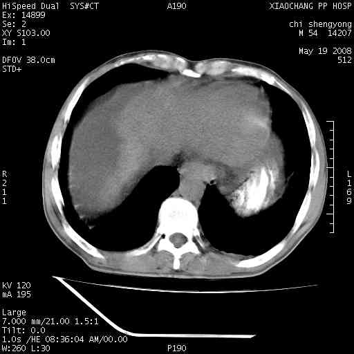
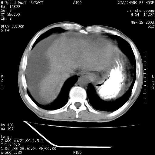
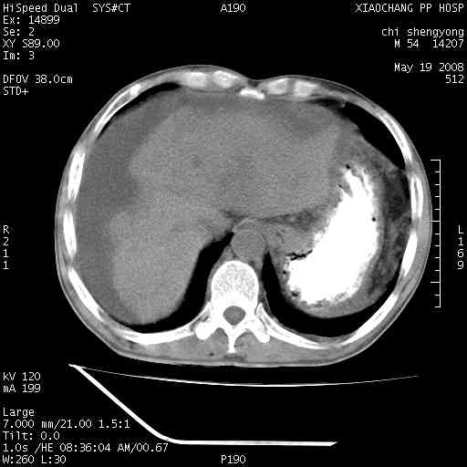
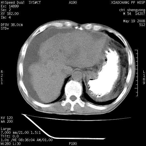
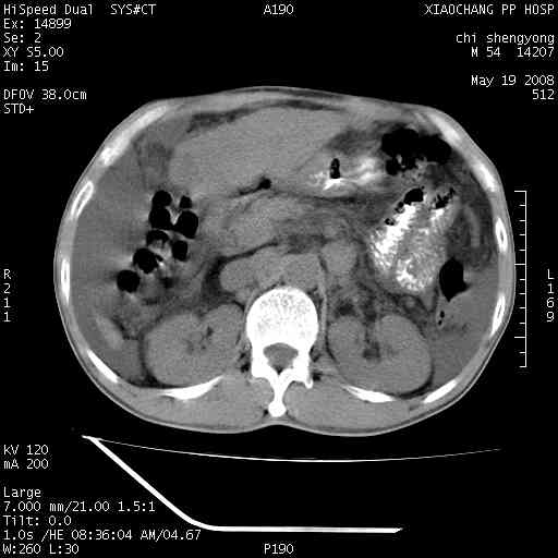
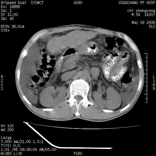
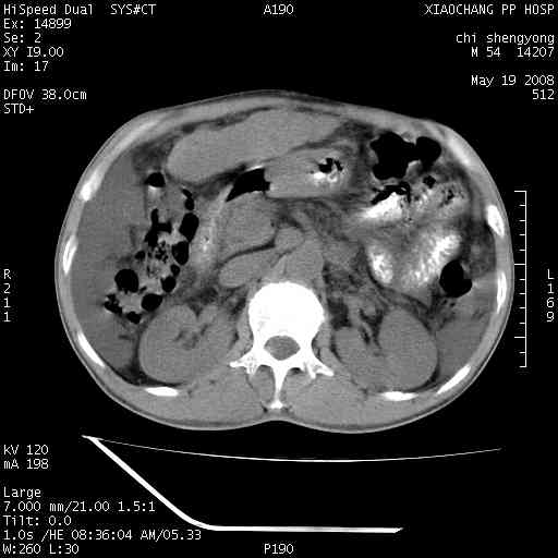
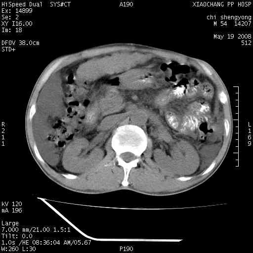
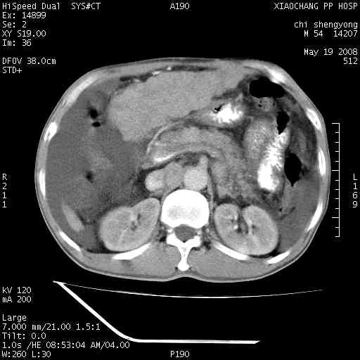
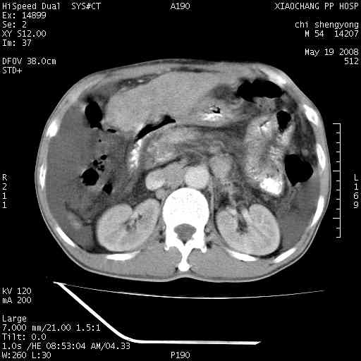
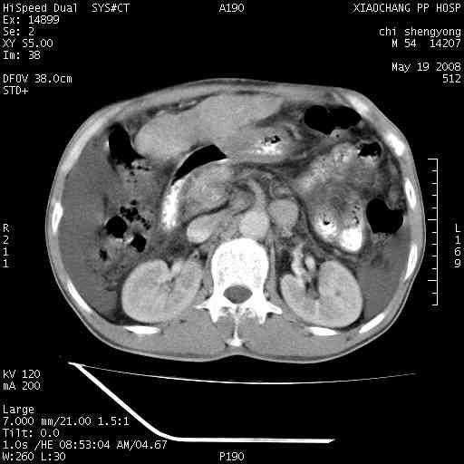
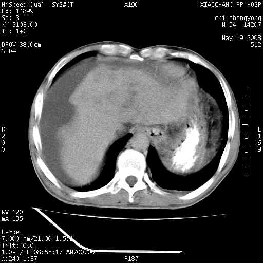
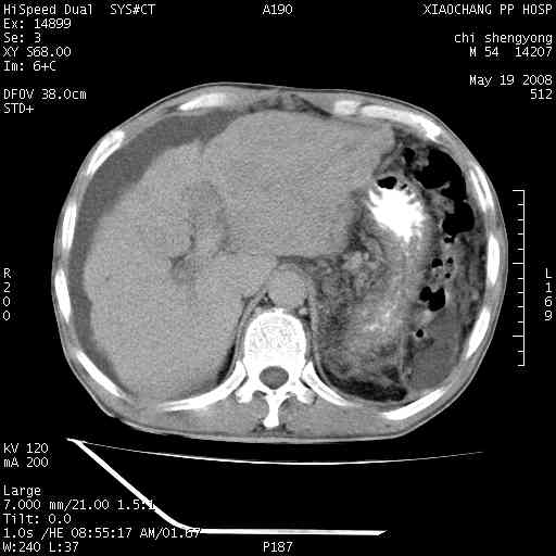
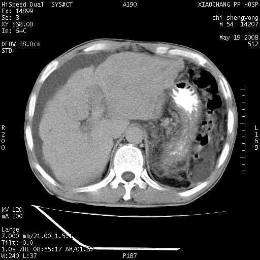
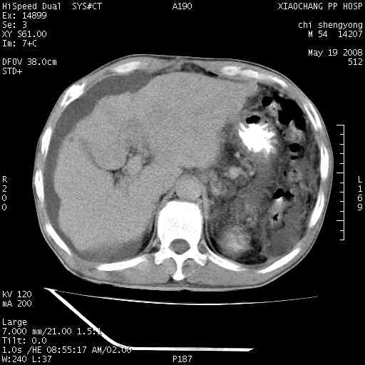
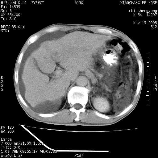
以下是引用随光逐影在2008-5-21 16:20:00的发言:[br]1)肝左叶肝癌伴门静脉左支瘤栓形成,腹膜后淋巴结转移。2)肝硬化、腹水、胃底静脉曲张。3)胆囊炎。4)脾脏缺如,为切除术后所致。
以下是引用zjzjr在2008-5-21 10:52:00的发言:[br]肝左叶巨块型肝癌伴门静脉左支瘤栓形成.肝硬化、腹水,胃底静脉曲张,脾术后改变。
以下是引用随光逐影在2008-5-21 16:20:00的发言:[br]1)肝左叶肝癌伴门静脉左支瘤栓形成,腹膜后淋巴结转移。2)肝硬化、腹水、胃底静脉曲张。3)胆囊炎。4)脾脏缺如,为切除术后所致。
| 欢迎光临 医影在线 (http://bbs.radida.com/bbs/) | Powered by Discuz! X3.2 |