医影在线

标题: CT13572:女性,78岁。术前体检发现肺部病变,看看还有什么 [打印本页]

作者: fanshl    时间: 2008-5-22 14:45
标题: CT13572:女性,78岁。术前体检发现肺部病变,看看还有什么
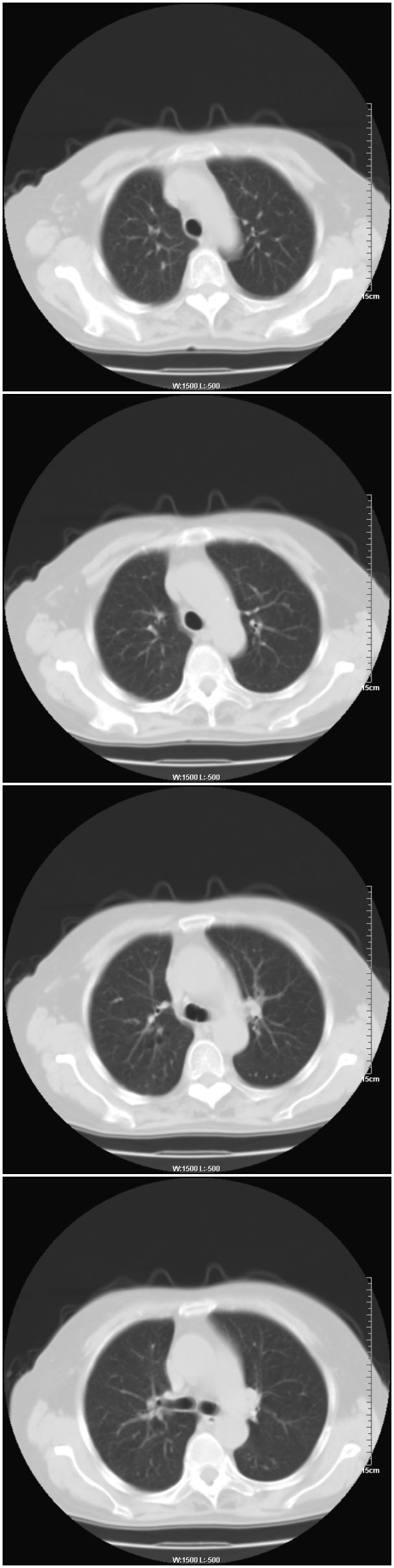
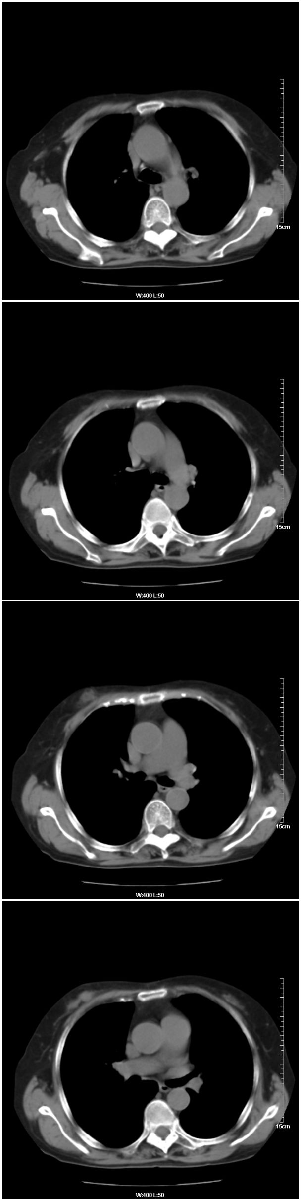
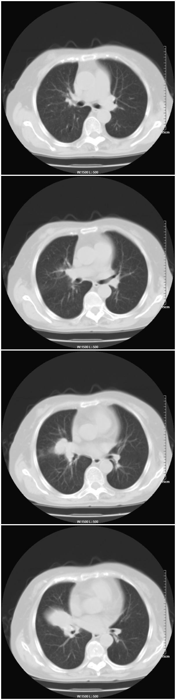
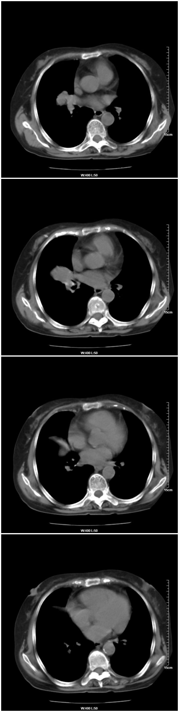
女性,78岁。术前体检发现肺部病变,看看还有什么问题?肺病变是什么性质?












[本贴已被 jiajie 于 2008-5-22 12:55:06 修改过]

作者: 深泽交通    时间: 2008-5-22 17:20
右肺中心型肺癌可能
作者: 杀毒软件    时间: 2008-5-22 17:23
支持楼上
作者: haha215315    时间: 2008-5-22 17:45
右肺中心型肺癌可能。支持!
作者: 卜一    时间: 2008-5-22 17:46
支持!右肺中心型肺癌!
作者: 358450m    时间: 2008-5-22 17:49
右肺中心型肺癌可能
作者: dyqct    时间: 2008-5-22 18:19
一致意见。
作者: muzi888    时间: 2008-5-22 18:20
支持!右肺中心型肺癌!
作者: 影象小辈    时间: 2008-5-22 18:28
右肺中心型肺癌可能
作者: fanshl    时间: 2008-5-22 19:31
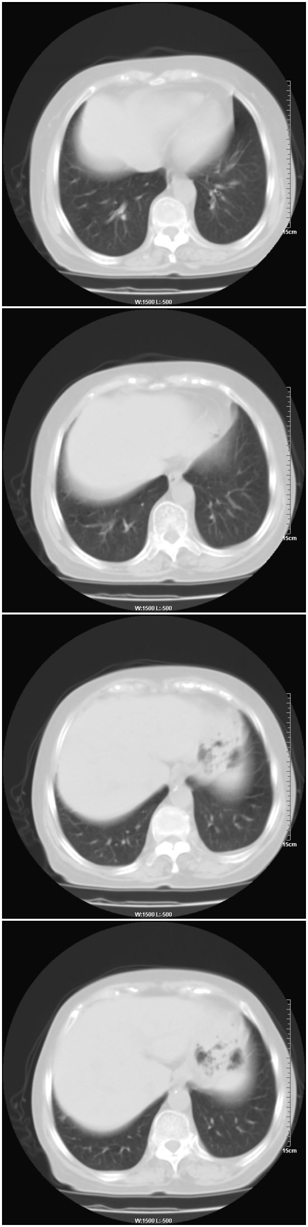
本例临床是以乳腺癌的术前检查平片发现肺部病变的,请战友们看乳腺病变是否能够看出来,在哪一侧?
作者: wzr    时间: 2008-5-22 19:50
支持建议进一步ce
作者: XIANXIANZHONGYI    时间: 2008-5-22 20:08
本例临床是以乳腺癌的术前检查平片发现肺部病变的,请战友们看乳腺病变是否能够看出来,在哪一侧?


在右侧,支持!右肺中心型肺癌! 右乳腺肿物。
作者: panyishengct    时间: 2008-5-22 20:17
支持!右肺中叶中心型肺癌!右侧乳腺内上象限结节,建议薄扫
作者: 358450m    时间: 2008-5-22 20:32
乳腺病在右侧
作者: qiuleiyu    时间: 2008-5-22 20:36
右侧乳腺占位,右肺门结节状-----肿大淋巴结?
作者: ZHANGZHONGSHOU    时间: 2008-5-22 20:48
标题: 回复:女性,78岁。术前体检发现肺部病变,看看还有什么
以下是引用xianxianzhongyi在2008-5-22 12:08:00的发言:[br]本例临床是以乳腺癌的术前检查平片发现肺部病变的,请战友们看乳腺病变是否能够看出来,在哪一侧?[br][br][br]在右侧,支持!右肺中心型肺癌! 右乳腺肿物。

作者: 长城干红    时间: 2008-5-22 23:00
右侧乳腺疾病.
作者: 影象小辈    时间: 2008-5-23 00:03
乳腺病变在右侧   是否可考虑为乳腺癌肺部转移
作者: jiangjing    时间: 2008-5-23 00:36
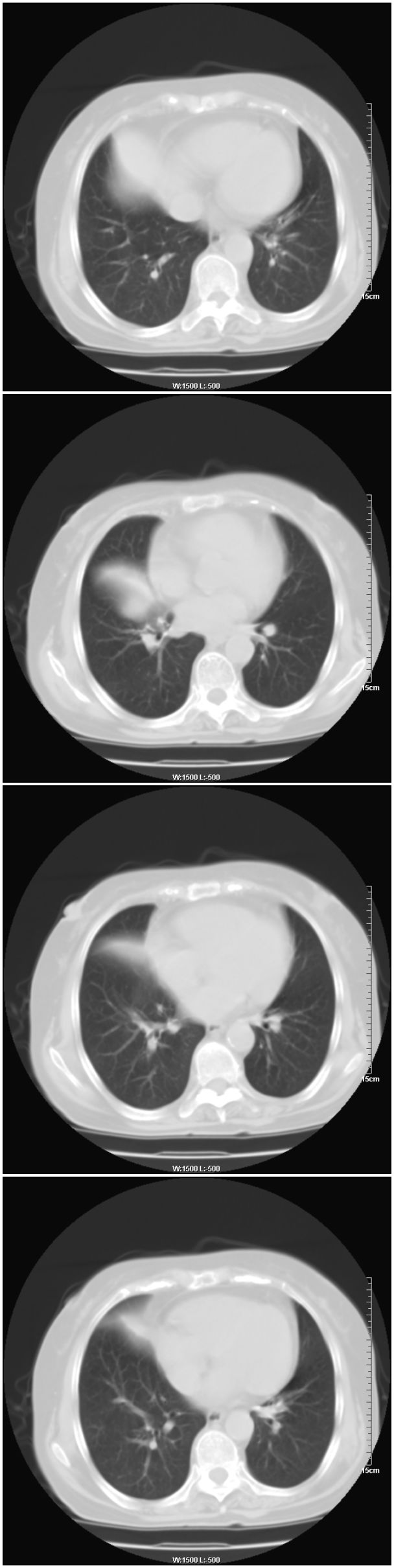
乳腺病变在右侧,右肺门区新生物伴右中叶阻塞性肺炎、部分部张
作者: zjzjr    时间: 2008-5-23 00:57
支持!右肺中叶中心型肺癌!右侧乳腺内上象限结节,建议薄扫
作者: 大师xcb    时间: 2008-5-23 01:12
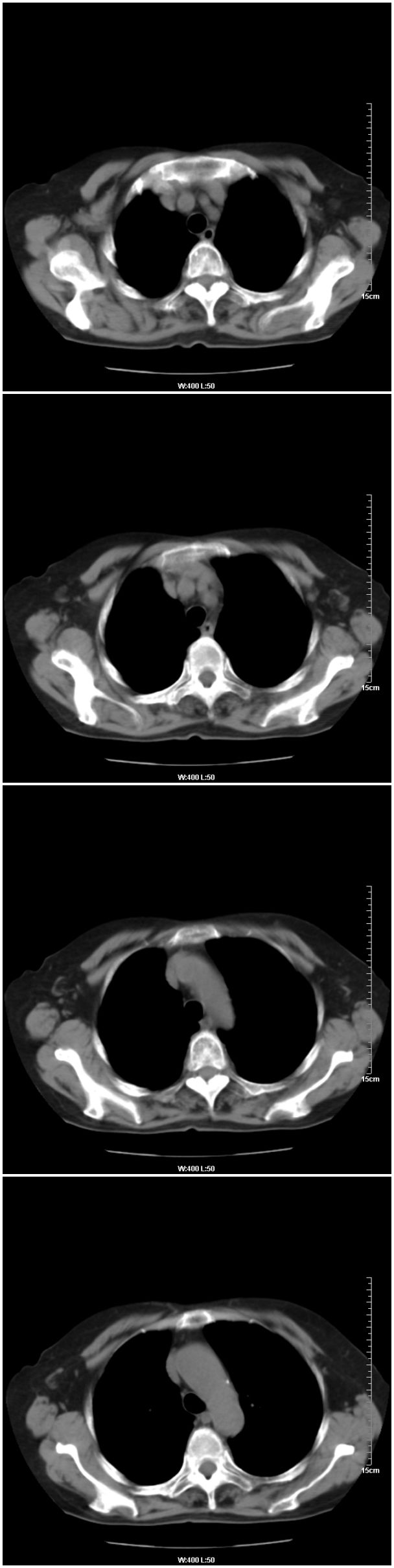
右肺中叶不规则肿块,管腔阻塞,心包内少量积液,支持右肺中心型肺癌。
作者: zhengfaming    时间: 2008-5-23 02:36
应该是右肺中心型肺癌,乳腺的肿物应该在右侧,看见右侧有结节,并乳头凹陷
作者: liuyue    时间: 2008-5-23 03:10
1.右侧乳腺病变。
2.右肺病变,考虑:肺癌可能性大。(病变边缘光滑,硬化性血管瘤或其他良性肿瘤待除外)
作者: xulianj    时间: 2008-5-23 03:16
1.右侧乳腺病变。
2.右肺病变,考虑:肺癌可能性大。支持
作者: gjj6818    时间: 2008-5-23 03:44
右肺中心型肺癌可能
作者: 拾荒者    时间: 2008-5-23 03:45
右侧乳腺内上象限结节影,边缘模糊,右肺病变相邻支气管内见软组织密度影及斑点样钙化灶,考虑肺癌可能性大,建议结合纤支镜检查。
作者: smhk    时间: 2008-5-23 03:46
右侧吧?
作者: jsgdoctor    时间: 2008-5-23 04:33
考虑右肺中心型肺癌!
作者: hongtao    时间: 2008-5-23 04:44
右肺中心型肺癌可能
作者: liufaming    时间: 2008-5-23 04:44
1.右侧乳腺病变。
2.右肺病变,考虑:肺癌可能性大。支持
作者: 求知若渴    时间: 2008-5-23 05:48
标题: 回复:ct13572:女性,78岁。术前体检发现肺部病变,看看还

右肺中心型肺癌.
作者: pujunzhi    时间: 2008-5-23 06:40
右肺中央型肺癌伴中叶肺不张。
右乳腺内结节病灶,如增强扫描动脉期结节呈明显强化可考虑乳癌。
作者: yangyudong333    时间: 2008-5-24 03:01
支持!右肺中心型肺癌!
作者: jinguoji    时间: 2008-5-25 05:34
支持:1、右侧乳腺病变;
      2、右肺病变,考虑肺癌可能性大。




欢迎光临 医影在线 (http://bbs.radida.com/bbs/) Powered by Discuz! X3.2