




















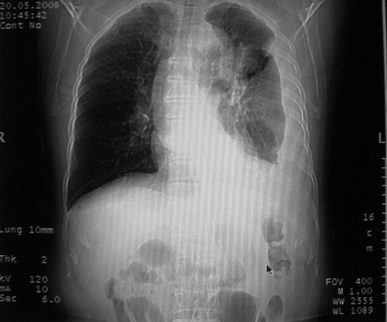
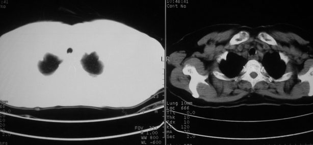
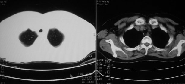
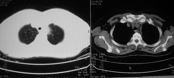
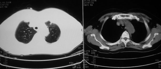
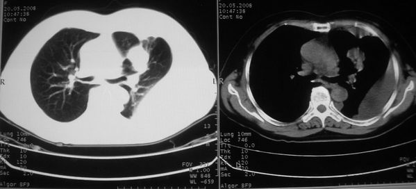
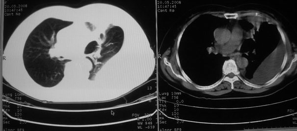
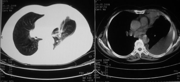
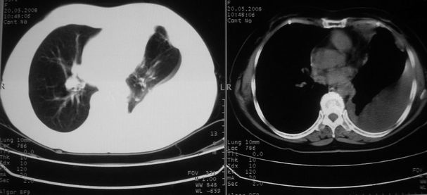
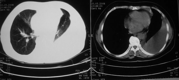
以下是引用zhangzhongshou在2008-5-22 12:51:00的发言:[br]左肺上叶肺癌并左侧胸腔积液可能性大。
以下是引用w_jianhua在2008-5-22 12:59:00的发言:[br]1.左肺上叶肺癌并左侧胸腔积液可能性大。2不除外支气管内膜结核并包裹性胸腔积液,建议支气管镜检3.左肺下叶肺大泡,肺气肿
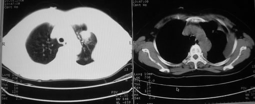
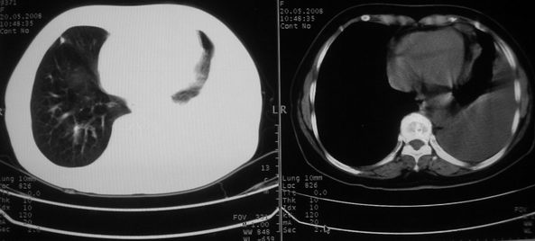
以下是引用zhangzhongshou在2008-5-22 12:51:00的发言:[br]左肺上叶肺癌并左侧胸腔积液可能性大。
以下是引用w_jianhua在2008-5-22 12:59:00的发言:[br]1.左肺上叶肺癌并左侧胸腔积液可能性大。2不除外支气管内膜结核并包裹性胸腔积液,建议支气管镜检3.左肺下叶肺大泡,肺气肿
| 欢迎光临 医影在线 (http://bbs.radida.com/bbs/) | Powered by Discuz! X3.2 |