医影在线
标题: [肝脏占位]CT13576:男性,57岁。胸腹痛伴消瘦半年余。 [打印本页]
作者: fanshl 时间: 2008-5-23 02:20
标题: [肝脏占位]CT13576:男性,57岁。胸腹痛伴消瘦半年余。














[本贴已被 jiajie 于 2008-5-22 18:53:15 修改过]
[本贴已被 fanshl 于 2008-5-28 9:37:51 修改过]
作者: zhengfaming 时间: 2008-5-23 02:24
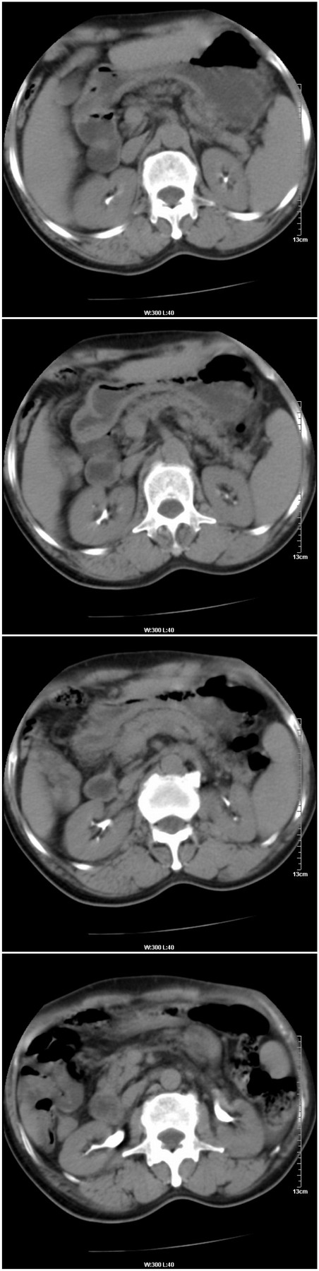
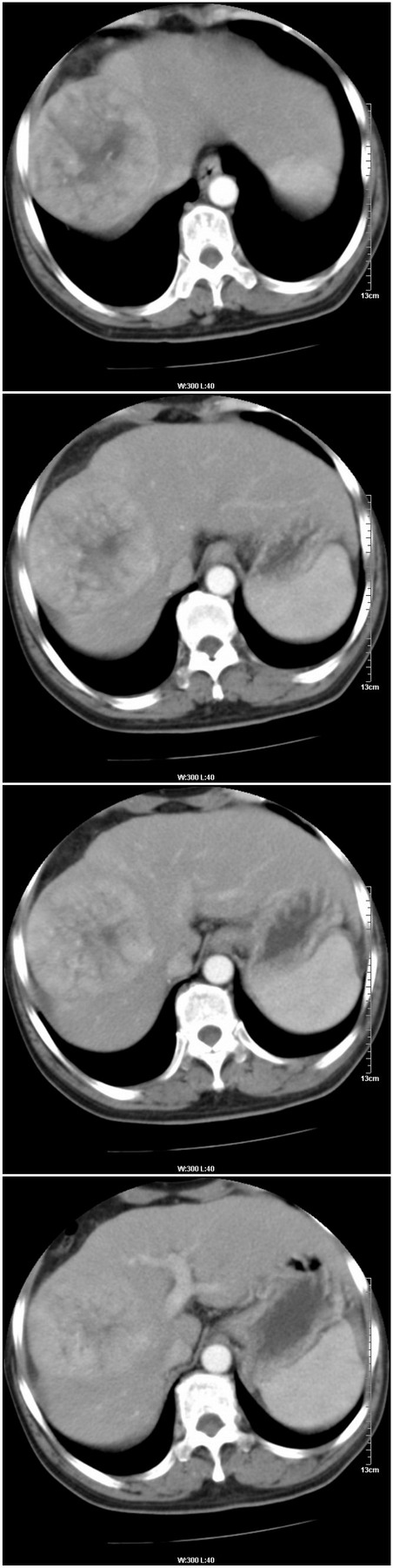
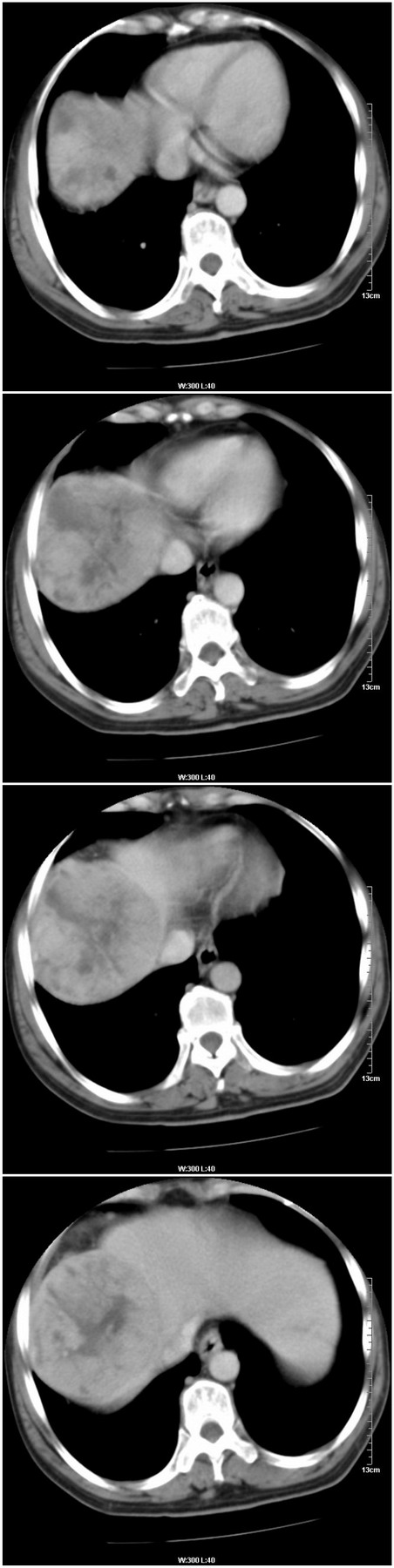
肝右叶巨块型肝癌
作者: 杀毒软件 时间: 2008-5-23 02:26
巨块型肝癌
作者: fanshl 时间: 2008-5-23 02:27
标题: 肝癌的多种强化现象
增强情况:
病灶密度变化 正常肝组织密度变化
平扫病灶平均ct值:51.3hu 56hu
动脉期: 74.2hu 69hu
门脉期: 85.9hu 102 hu
4分钟后: 71.8hu 76hu
9分钟后: 71.9hu 72.9hu
这是又一例门脉期强化比动脉期强化明显的病例。往常我们所见到的都是由于肝癌是动脉供血,所以病变常在动脉期明显强化,而在门脉期就会下降。但是这一例和过去做过的一个病例都是在门脉期更明显强化,请战友们分析这种变化的实质。有人提出这是正常肝组织逐渐向肝癌转化的一个过程,也有人说这是另一种肝癌的类型,就是相对于一动脉供血为主的肝癌来说,这是一种以门脉供血为主的一种肝癌类型。战友们说说看,你认为怎样解释这种情况更合适呢?
[本贴已被 fanshl 于 2008-5-22 18:36:10 修改过]
作者: 寻芳者 时间: 2008-5-23 02:41
有病理结果吗???--------------
作者: fanshl 时间: 2008-5-23 02:57
现在没有,计划手术
作者: liuyue 时间: 2008-5-23 02:58
病变周围可见环状强化,先考虑:肝癌。
鉴别:肝腺瘤、局灶性结节增生。
作者: 358450M 时间: 2008-5-23 03:07
标题: 回复:ct13576:男性,57岁。胸腹痛伴消瘦半年余。
以下是引用杀毒软件在2008-5-22 18:26:00的发言:[br]巨块型肝癌
作者: smhk 时间: 2008-5-23 03:23
这个病灶很好穿刺吧,穿一下什么都明白了.
作者: xulianj 时间: 2008-5-23 03:46
支持考虑:肝癌。
作者: 拾荒者 时间: 2008-5-23 04:34
肝右叶巨块型肝癌。
作者: hongtao 时间: 2008-5-23 04:37
支持考虑:肝癌。
作者: 王2008 时间: 2008-5-23 04:38
支持考虑:肝癌。
作者: liufaming 时间: 2008-5-23 05:06
1.肝右叶巨块性病变,周围有假包膜,内部密度不均,有坏死,增强后以门脉期强化明显,反应以门脉供血的特征,为不典型肝癌(梁索性)。
2.双肾及输尿管结石。
作者: jsgdoctor 时间: 2008-5-23 05:19
巨块型肝癌
作者: panyishengct 时间: 2008-5-23 06:24
1.肝右叶巨块性病变,周围有假包膜,内部密度不均,有坏死,增强后以门脉期强化明显,反应以门脉供血为主的特征,为不典型肝癌(梁索性)。
2.双肾及输尿管结石。
作者: huangxun4321 时间: 2008-5-23 06:57
考虑板层型肝癌可能性,建议穿刺活检.因为可见假包膜及病灶内可见纤维组织,强化类型符合肝癌形式
作者: pujunzhi 时间: 2008-5-23 07:31
考虑板层型肝癌可能性,建议穿刺活检.因为可见假包膜及病灶内可见纤维组织,强化类型符合肝癌形式。
支持17楼
作者: xn2ylwg 时间: 2008-5-23 07:41
肝右叶巨块型肝癌。 是动静脉短路.门脉分流所引起的是吧.请高手分析一下.
作者: yangyudong333 时间: 2008-5-24 02:56
支持考虑:肝癌。
作者: jinguoji 时间: 2008-5-25 05:51
考虑 1、肝右叶巨块型肝癌;
2、双肾及输尿管结石。
| 欢迎光临 医影在线 (http://bbs.radida.com/bbs/) |
Powered by Discuz! X3.2 |