医影在线

标题: CT13581:请大家看看!我仅传部分图片。 [打印本页]

作者: wansheng    时间: 2008-5-23 05:32
标题: CT13581:请大家看看!我仅传部分图片。
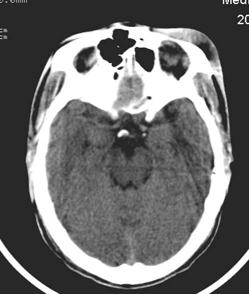
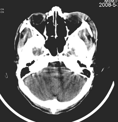
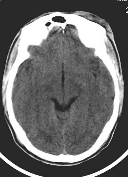
患者,男,26岁。头面部外伤半小时。






[本贴已被 jiajie 于 2008-5-22 21:44:13 修改过]

作者: lgl2007    时间: 2008-5-23 05:37
颅内未见明显异常.
作者: xulianj    时间: 2008-5-23 05:49
左额部软组织肿胀
作者: 杀毒软件    时间: 2008-5-23 05:57
左额部软组织肿胀,还有别的事吗?
作者: wqs571018    时间: 2008-5-23 06:08
左额部软组织肿胀  ,别的?
作者: 随缘的人    时间: 2008-5-23 06:09
左额部软组织肿胀
作者: jsgdoctor    时间: 2008-5-23 06:11
左额部软组织肿胀
作者: 358450M    时间: 2008-5-23 06:23
标题: 回复:ct13581:请大家看看!我仅传部分图片。
以下是引用lgl2007在2008-5-22 21:37:00的发言:[br]颅内未见明显异常.

作者: xiaofangsheyuan    时间: 2008-5-23 06:39
左额部软组织损伤,左泪囊损伤
作者: 求知若渴    时间: 2008-5-23 06:55
既然是外伤为何无骨窗
作者: wyk504    时间: 2008-5-23 12:10
复查一下吧,左侧颞叶两个层面都有异常密度灶。不知道是伪影不。
作者: zyyzzy    时间: 2008-5-24 00:54
所给图像正常
作者: yangyudong333    时间: 2008-5-24 02:34
颅内未见明显异常.
作者: 拾荒者    时间: 2008-5-24 07:02
左侧眶部软组织肿胀,楼主是不是考虑有静脉窦血栓?复查或增强扫描。
作者: jinguoji    时间: 2008-5-25 06:09
左侧眶部软组织肿胀,楼复查或增强扫描。
作者: whz1765    时间: 2008-5-25 06:31
左额部软组织肿胀,请发骨窗




欢迎光临 医影在线 (http://bbs.radida.com/bbs/) Powered by Discuz! X3.2