医影在线

标题: CT13600:男,70,头晕思睡7天,BP160/100MMHG,颅N(-) [打印本页]

作者: 不学无术    时间: 2008-5-24 01:34
标题: CT13600:男,70,头晕思睡7天,BP160/100MMHG,颅N(-)
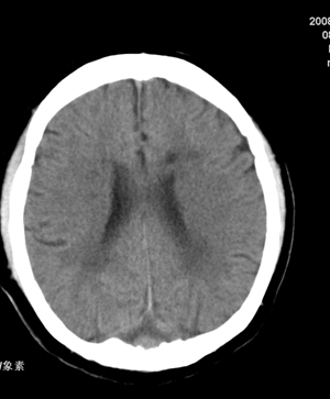
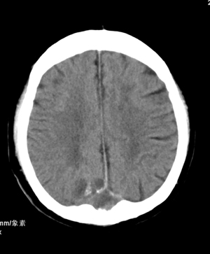
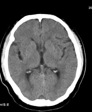
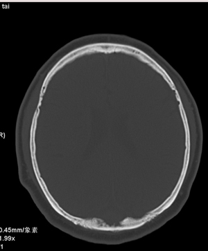
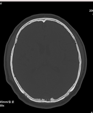
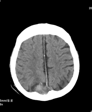
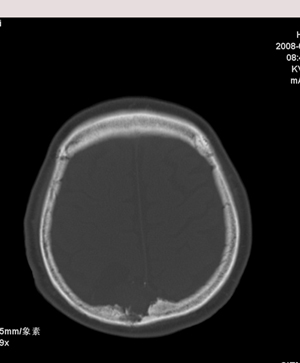
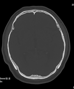
肢体活动肌力均正常。临床印象:脑血管病变。ct意见:脑软化灶,腔梗,请看看枕部病变是脑膜瘤,血管畸形还是其它
















[本贴已被 jiajie 于 2008-5-23 18:05:15 修改过]

作者: 358450m    时间: 2008-5-24 01:57
脑软化灶,腔梗
作者: 江广1996    时间: 2008-5-24 02:16
不象是软化灶.考虑水肿,病灶内有钙化,建议增强.
作者: zylcq608    时间: 2008-5-24 02:19
颅骨吸收破坏,病灶密度不均,周围见低密度水肿带,多考虑恶性脑膜瘤。
作者: 前行    时间: 2008-5-24 02:37
建议mr
作者: liuyue    时间: 2008-5-24 02:47
1.右基底节区脑软化灶。
2.右顶后部病变,脑膜瘤可能性大。
建议:强化扫描。
作者: yangyudong333    时间: 2008-5-24 03:20
颅骨吸收破坏,病灶密度不均,周围见低密度水肿带,支持考虑脑膜瘤
作者: 杀毒软件    时间: 2008-5-24 04:30
支持考虑脑膜瘤可能性大
作者: xulianj    时间: 2008-5-24 05:02
1.右基底节区脑软化灶。
2.右顶后部病变,脑膜瘤可能性大。
建议:强化扫描。
作者: panyishengct    时间: 2008-5-24 06:23
支持考虑脑膜瘤可能性大
作者: zxczxc    时间: 2008-5-24 06:24
右侧基底节腔梗。
右顶后部血管畸形。
蛛网膜下腔出血。
作者: mzjctmr    时间: 2008-5-24 06:26
枕骨骨质吸收破坏,局部病灶密度不均,周围见低密度水肿带,考虑脑膜瘤,建议增强扫描。
作者: xn2ylwg    时间: 2008-5-24 07:10
1.右基底节区脑软化灶。
2.右顶后部病变,脑膜瘤可能性大。
建议mri检查。
作者: zjzjr    时间: 2008-5-25 01:30
1.右基底节区脑软化灶。
2.右顶后部病变,脑膜瘤可能性大。
建议:强化扫描。不除外静脉窦血栓形成
作者: 随光逐影    时间: 2008-5-25 01:50
考虑脑膜瘤可能性大。
作者: 37度    时间: 2008-5-25 02:10
支持67,15楼的
作者: 拾荒者    时间: 2008-5-25 05:08
支持楼主意见,建议增强鉴别。
作者: dyqct    时间: 2008-5-25 15:35
标题: 回复:ct13600:男,70,头晕思睡7天,bp160/100mmhg,颅n(-)
以下是引用zjzjr在2008-5-24 17:30:00的发言:[br]1.右基底节区脑软化灶。[br]2.右顶后部病变,脑膜瘤可能性大。[br]建议:强化扫描。不除外静脉窦血栓形成

支持!




欢迎光临 医影在线 (http://bbs.radida.com/bbs/) Powered by Discuz! X3.2