医影在线

标题: CT13601:男,85岁,发热2月 [打印本页]

作者: liuzheng_9326    时间: 2008-5-24 02:19
标题: CT13601:男,85岁,发热2月
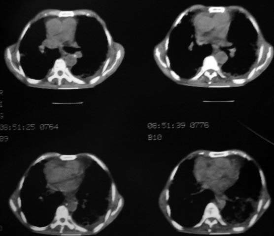
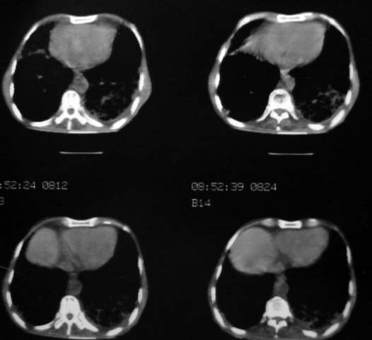
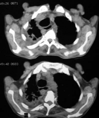
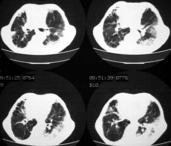
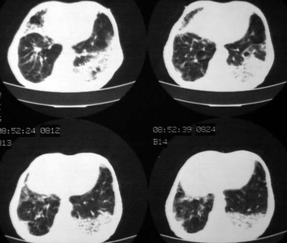
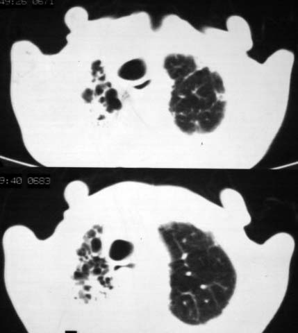
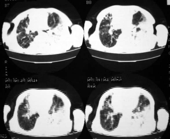
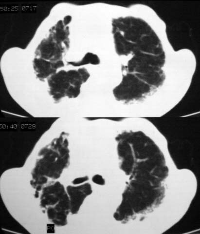
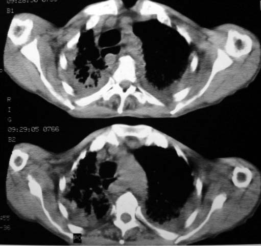
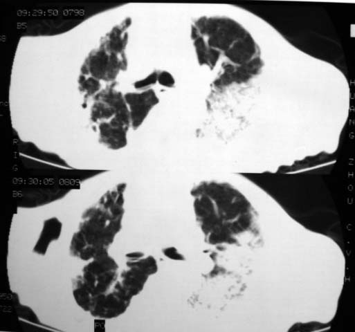
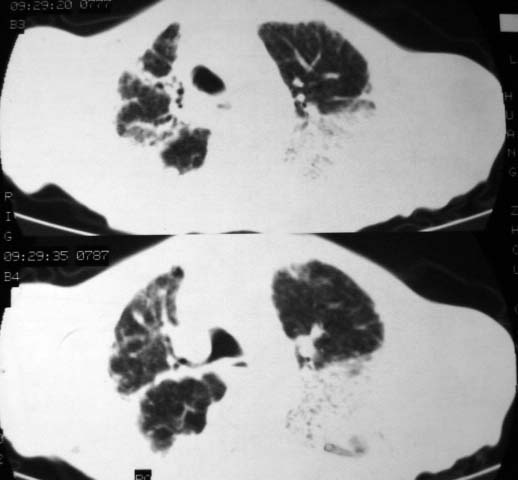
男,85岁,发热2月, 血常规:hgb99g/l.rbc2.55×1012/l.wbc3.8×109/l.n78.2%  l20.7% m1.1%.  hct26.3% .血沉20mm/hg.痰检结核杆菌阴性。ddp阳性。痰少粘稠色白。无咳血。


























有结核吗?


[本贴已被 jiajie 于 2008-5-23 18:21:54 修改过]

作者: liuyue    时间: 2008-5-24 02:36
1.右上肺陈旧性肺结核灶;
2.左上肺、双下肺及右中叶肺炎(左上肺肺炎治疗后好转)
作者: 358450m    时间: 2008-5-24 02:42
双肺结核
作者: 杀毒软件    时间: 2008-5-24 03:14
右上肺陈旧性肺结核灶,双肺感染灶〔大部份纤维化〕,肺气肿.
作者: 海笑    时间: 2008-5-24 03:19
两肺陈旧性tb
作者: xulianj    时间: 2008-5-24 04:45
双肺继发型结核
作者: zjzjr    时间: 2008-5-25 01:28
双肺继发型结核
作者: 拾荒者    时间: 2008-5-25 05:15
双肺继发型肺结核,肺纤维化,肺气肿,胸膜肥厚黏连。
作者: dyqct    时间: 2008-5-25 07:06
标题: 回复:ct13601:男,85岁,发热2月
以下是引用拾荒者在2008-5-24 21:15:00的发言:[br]双肺继发型肺结核,肺纤维化,肺气肿,胸膜肥厚黏连。

支持!




欢迎光临 医影在线 (http://bbs.radida.com/bbs/) Powered by Discuz! X3.2