医影在线

标题: CT13617:双顶叶白质水肿伴大脑镰小脑幕广泛钙化 [打印本页]

作者: drhon    时间: 2008-5-24 06:29
标题: CT13617:双顶叶白质水肿伴大脑镰小脑幕广泛钙化
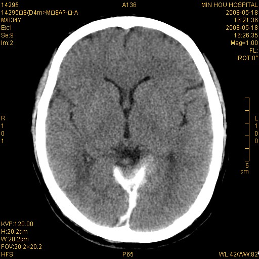
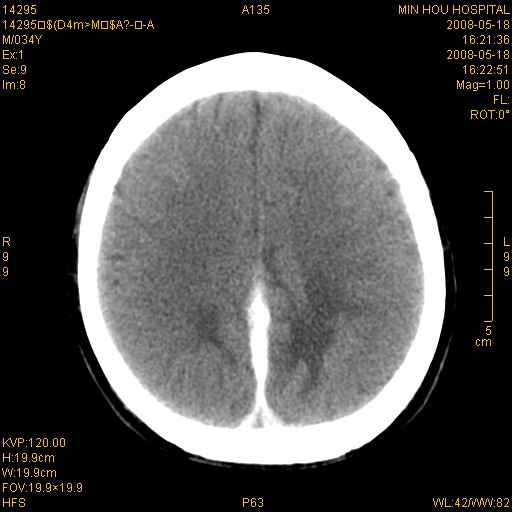
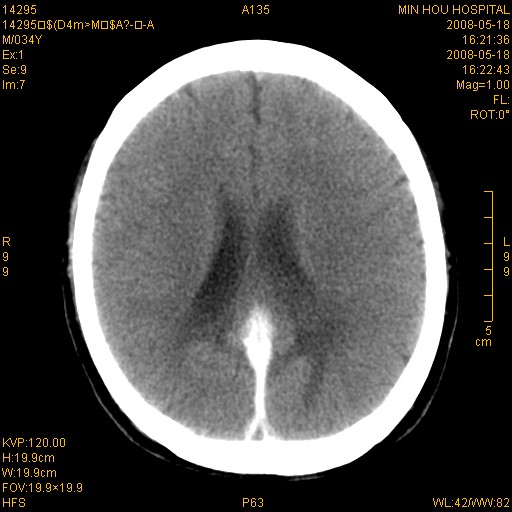
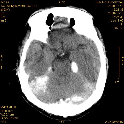
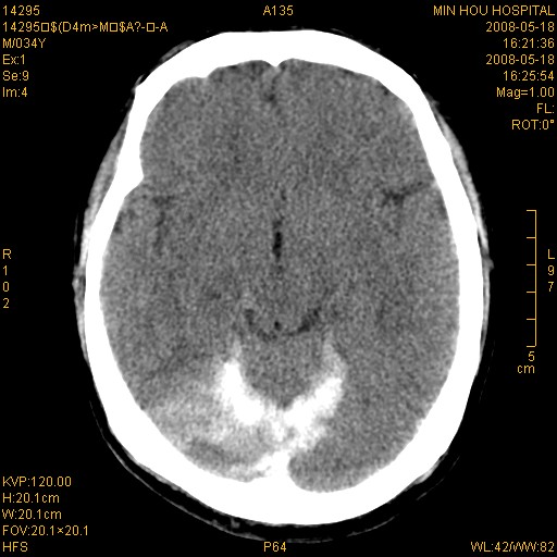
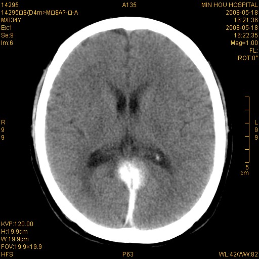
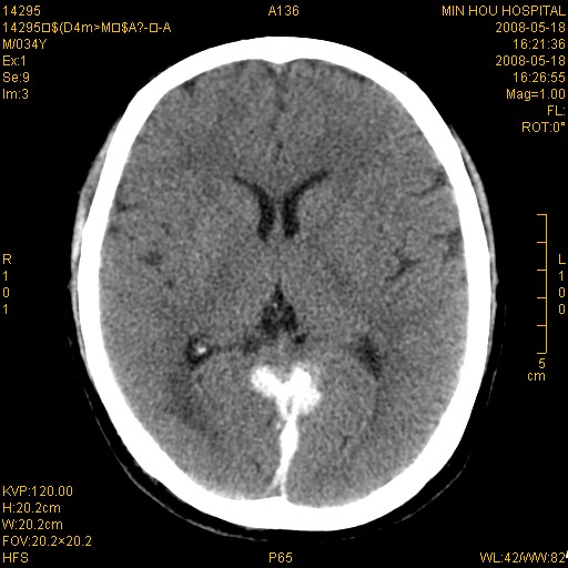
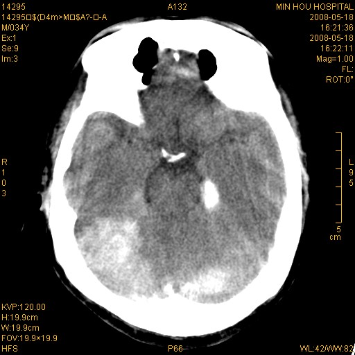
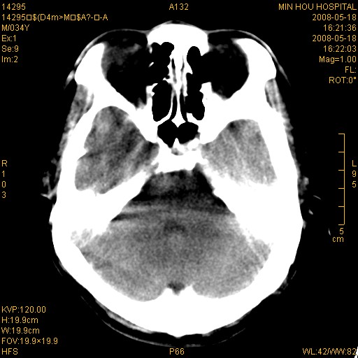
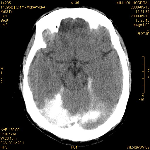
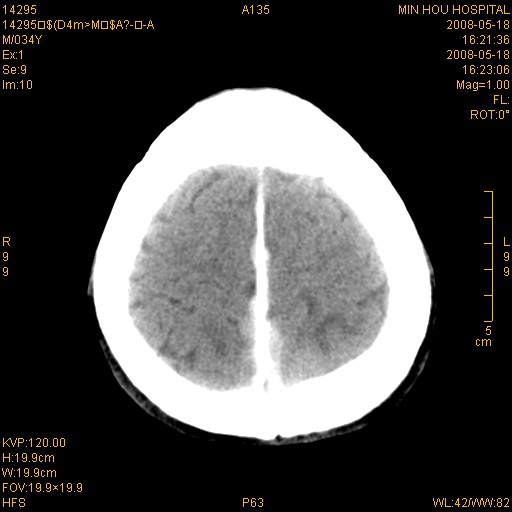
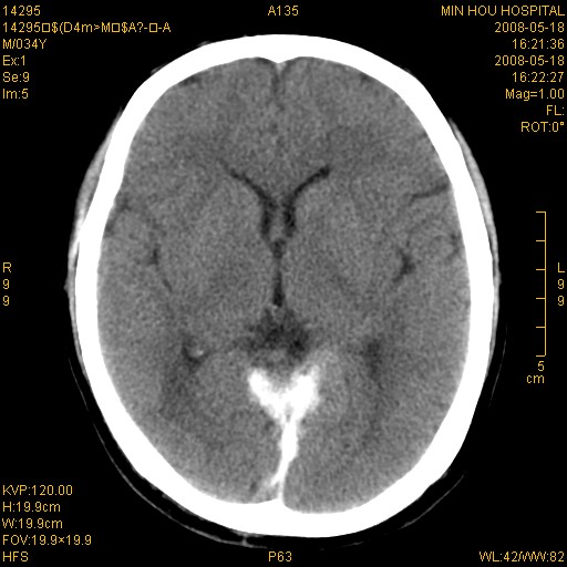
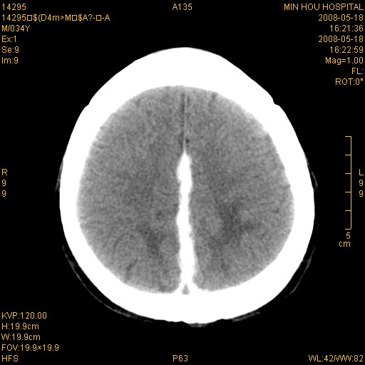
多年前频发抽搐生活不能自理,行ct平扫,诊断为双顶叶占位。因贫未能进一步检查。
目前偶有抽搐,能从事油漆工作。原片未能获取。





















[本贴已被 翁志蓬 于 2008-5-23 22:46:33 修改过]

作者: pujunzhi    时间: 2008-5-24 06:50
肾上腺白质营养不良?
作者: xn2ylwg    时间: 2008-5-24 06:56
肾上腺白质营养不良.
作者: lgl2007    时间: 2008-5-24 07:24
没见过,期待结果!
作者: 大师xcb    时间: 2008-5-24 13:47
肾上腺白质营养不良.
作者: 卜一    时间: 2008-5-24 14:37
肾上腺白质营养不良—晚期表现!
作者: qingjing    时间: 2008-5-24 15:13
肾上腺白质营养不良.
作者: gaoshengjiang    时间: 2008-5-24 16:22
肾上腺白质营养不良
作者: 358450m    时间: 2008-5-24 16:27
肾上腺白质营养不良.
作者: liuqiang    时间: 2008-5-24 17:30
肾上腺白质营养不良—晚期表现!
作者: 深泽交通    时间: 2008-5-24 17:42
考虑双侧顶叶肉芽肿病变;小恼幕区陈旧脑膜炎性病变
作者: XIANXIANZHONGYI    时间: 2008-5-24 20:26
没见过,期待结果
作者: dr.yang    时间: 2008-5-24 20:40
期待结果!
作者: zjzjr    时间: 2008-5-24 23:01
考虑双侧顶叶肉芽肿病变;小恼幕区陈旧脑膜炎性病变,建议增强
作者: zsl6918    时间: 2008-5-25 00:20
该病例病史很重要啊,请楼主详细询问发病过程及其他相关的资料。
作者: 影象小辈    时间: 2008-5-25 00:42
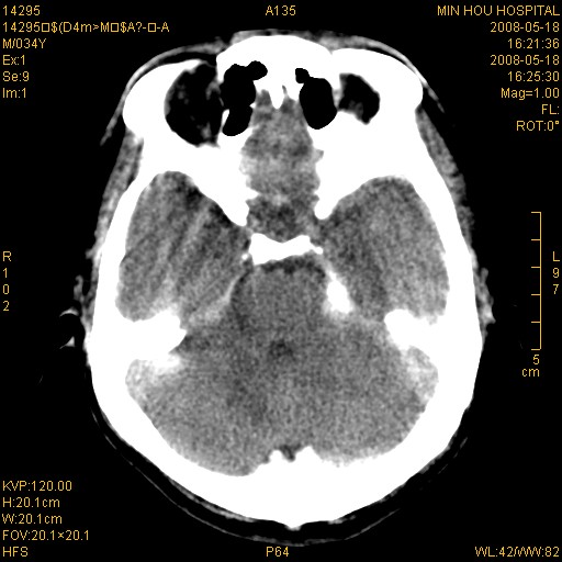
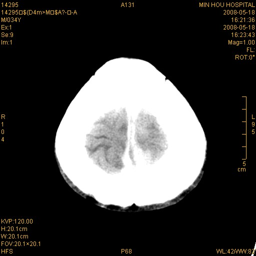
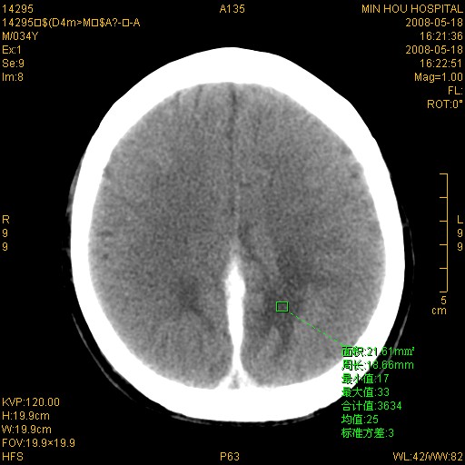
双侧侧脑室后脚旁对称性低密度影,符合肾上腺白质营养不良(成人型)改变    小脑幕及大脑廉钙化  可考虑为生理性
作者: zhangnianqiu_20    时间: 2008-5-25 01:07
没见过,学习!学习!!
作者: dyqct    时间: 2008-5-25 01:23
支持:1、肾上腺白质营养不良.2、小脑幕、大脑镰广泛钙化。3、建议进一步检查。
作者: 杀毒软件    时间: 2008-5-25 02:11
支持:1、肾上腺白质营养不良.2、小脑幕、大脑镰广泛钙化。3、建议进一步检查
作者: zhengfaming    时间: 2008-5-25 02:33
没见过,期待结果
作者: zylcq608    时间: 2008-5-25 02:48
支持肾上腺白质营养不良.
作者: xulianj    时间: 2008-5-25 05:19
支持肾上腺白质营养不良.  建议进一步检查。
作者: ZHANGZHONGSHOU    时间: 2008-5-25 05:25
标题: 回复:ct13617:双顶叶白质水肿伴大脑镰小脑幕广泛钙化
以下是引用dyqct在2008-5-24 17:23:00的发言:[br]支持:1、肾上腺白质营养不良.2、小脑幕、大脑镰广泛钙化。3、建议进一步检查。  [br]  [br]

作者: wqs571018    时间: 2008-5-25 05:28
支持:1、肾上腺白质营养不良.2、小脑幕、大脑镰广泛钙化。3、建议进一步检查。
作者: 风雨白杨    时间: 2008-5-25 07:17
期待结果.
作者: liushihong628    时间: 2008-5-25 07:40
期待结果
作者: 37度    时间: 2008-5-25 09:10
支持肾上腺性脑白质营养不良晚期表现
作者: drhon    时间: 2008-7-21 07:07
硬脑膜钙化是主因,双侧顶叶白质密度减低是可能由于静脉路回流受阻所致。
作者: 子十    时间: 2008-7-21 16:26
标题: 回复:ct13617:双顶叶白质水肿伴大脑镰小脑幕广泛钙化
以下是引用wqs571018在2008-5-24 21:28:00的发言:[br]支持:1、肾上腺白质营养不良.2、小脑幕、大脑镰广泛钙化。3、建议进一步检查。  [br]  [br]

作者: 52yingxiang    时间: 2008-7-21 17:09
支持:1、肾上腺白质营养不良.2、小脑幕、大脑镰广泛钙化。3、建议进一步检查。
作者: 黑白光影    时间: 2008-7-21 17:16
支持:1、肾上腺白质营养不良.2、小脑幕、大脑镰广泛钙化。3、建议进一步检查。
作者: 582914319    时间: 2008-7-22 05:33
1、肾上腺白质营养不良.2、小脑幕、大脑镰广泛钙化。3、建议进一步检查
作者: 随光逐影    时间: 2008-7-22 06:38
不排除脑静脉窦血栓形成;建议行进一步检查。
作者: dr.yang    时间: 2011-12-26 23:12
再次学习,只是没有最终结果




欢迎光临 医影在线 (http://bbs.radida.com/bbs/) Powered by Discuz! X3.2