



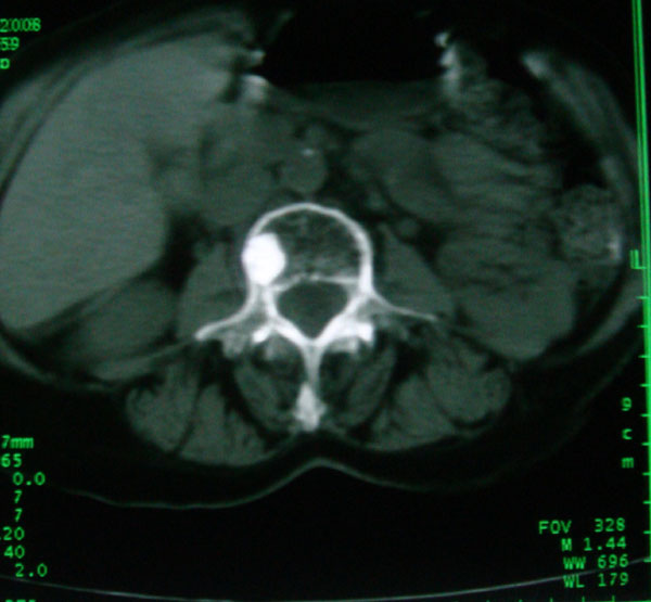
以下是引用卜一在2008-5-24 6:33:00的发言:[br]骨岛!建议定期复查!
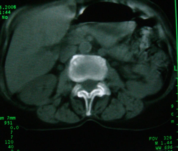
以下是引用panyishengct在2008-5-23 23:19:00的发言:[br]骨岛,不排除成骨性转移瘤.
以下是引用pujunzhi在2008-5-24 1:02:00的发言:[br]支持2楼 骨岛,不排除成骨性转移瘤
以下是引用gaoshengjiang在2008-5-24 8:25:00的发言:[br]骨岛,不排除成骨性转移瘤. [br] [br]
以下是引用zjzjr在2008-5-24 14:55:00的发言:[br]骨岛!建议定期复查!
| 欢迎光临 医影在线 (http://bbs.radida.com/bbs/) | Powered by Discuz! X3.2 |