

以下是引用liangshusheng在2008-5-24 13:09:00的发言:[br]磨玻璃样,考虑骨纤
以下是引用liangshusheng在2008-5-24 13:09:00的发言:[br]磨玻璃样,考虑骨纤
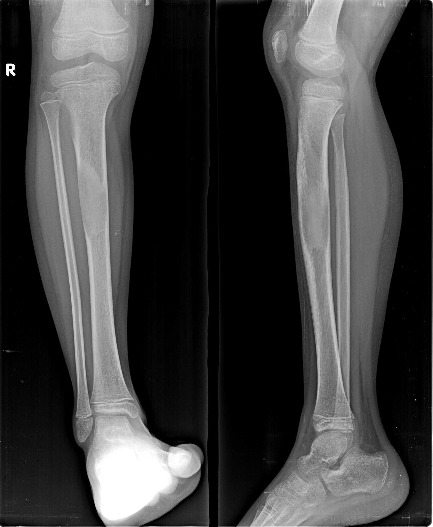
以下是引用zhangzhongshou在2008-5-24 13:32:00的发言:[br]胫骨膨胀性骨质破坏区,骨皮质变薄,内呈磨玻璃状模糊影,符合胫骨骨纤维异常增殖症。
以下是引用dyqct在2008-5-24 16:56:00的发言:[br]磨玻璃状模糊影,符合右胫骨骨纤维异常增殖症。 [br] [br]
以下是引用黑白光影在2008-5-24 15:33:00的发言:[br]支持楼上各位。
以下是引用liangshusheng在2008-5-24 13:09:00的发言:[br]磨玻璃样,考虑骨纤
| 欢迎光临 医影在线 (http://bbs.radida.com/bbs/) | Powered by Discuz! X3.2 |