

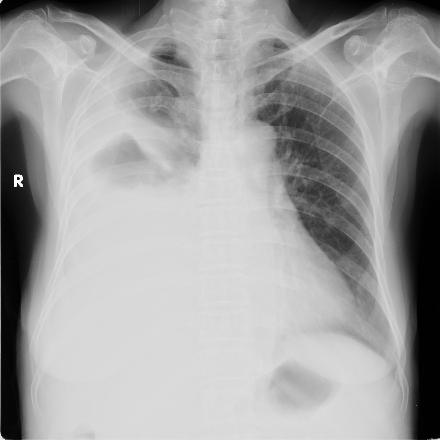
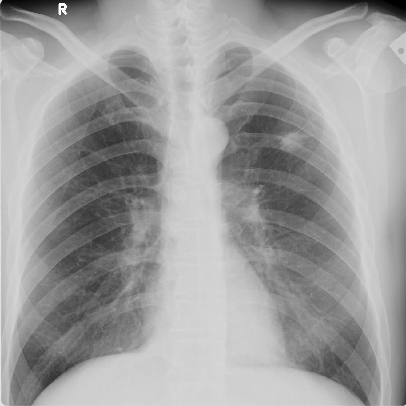
以下是引用zhangzhongshou在2008-5-24 13:39:00的发言:[br]小红右侧大量胸腔积液,右侧中叶台阶征/水平叶裂积液/右上肺纤维灶不除外,建议侧位片,必要时进一步检查。[br]小明:左上肺结核瘤可能性大,请结合临床,必要时建议ct检查。[br][br]影像诊断必须要密切结合临床,建议楼主以后不要上传这样的看图说话。谢谢了!
以下是引用黑白光影在2008-5-24 15:32:00的发言:[br]看图不说话对不起观众,下面开始乱说:[br]老红右侧大量胸腔积液,部分肺膨胀不全。[br]老明左上肺癌可能。
以下是引用zhangzhongshou在2008-5-24 13:39:00的发言:[br]小红右侧大量胸腔积液,右侧中叶台阶征/水平叶裂积液/右上肺纤维灶不除外,建议侧位片,必要时进一步检查。[br]小明:左上肺结核瘤可能性大,请结合临床,必要时建议ct检查。[br][br]影像诊断必须要密切结合临床,建议楼主以后不要上传这样的看图说话。谢谢了!
以下是引用zhangzhongshou在2008-5-24 13:39:00的发言:[br]小红右侧大量胸腔积液,右侧中叶台阶征/水平叶裂积液/右上肺纤维灶不除外,建议侧位片,必要时进一步检查。[br]小明:左上肺结核瘤可能性大,请结合临床,必要时建议ct检查。[br][br]影像诊断必须要密切结合临床,建议楼主以后不要上传这样的看图说话。谢谢了!
以下是引用zhangzhongshou在2008-5-24 13:39:00的发言:[br]小红右侧大量胸腔积液,右侧中叶台阶征/水平叶裂积液/右上肺纤维灶不除外,建议侧位片,必要时进一步检查。[br]小明:左上肺结核瘤可能性大,请结合临床,必要时建议ct检查。[br][br]影像诊断必须要密切结合临床,建议楼主以后不要上传这样的看图说话。谢谢了!
| 欢迎光临 医影在线 (http://bbs.radida.com/bbs/) | Powered by Discuz! X3.2 |