


























以下是引用深泽交通医院在2008-5-25 9:53:00的发言:[br]右肺炎症;纵隔淋巴结肿大,考虑转移;左侧术后胸腔胃
以下是引用xulianj在2008-5-25 10:52:00的发言:[br][quote]以下是引用深泽交通医院在2008-5-25 9:53:00的发言:[br]右肺炎症;纵隔淋巴结肿大,考虑转移;左侧术后胸腔胃
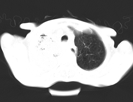
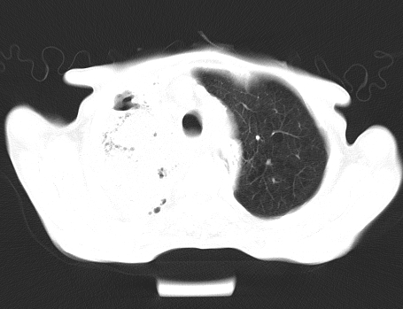
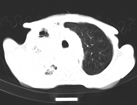
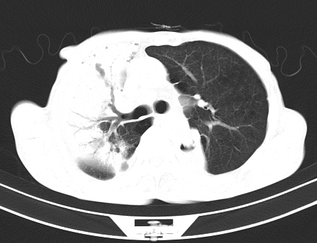
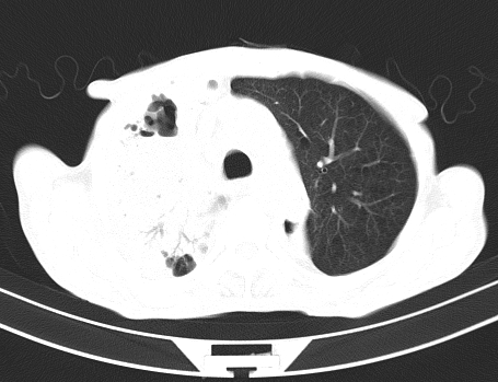
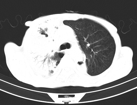
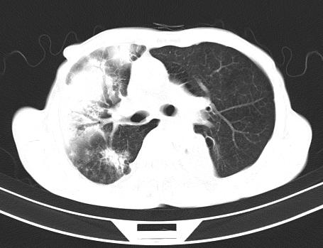
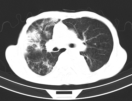
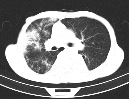
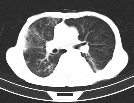
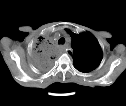
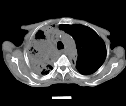
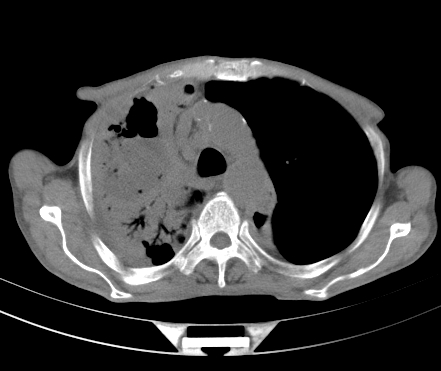
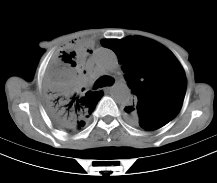
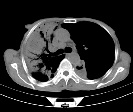
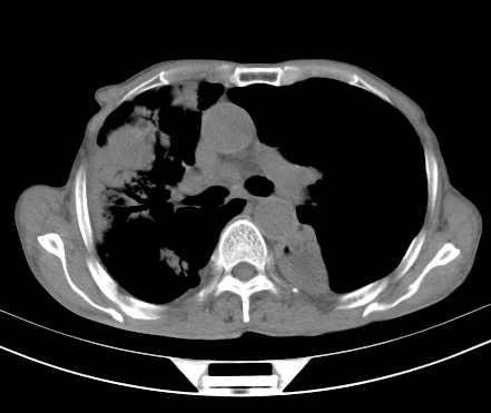
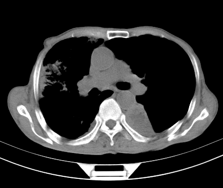
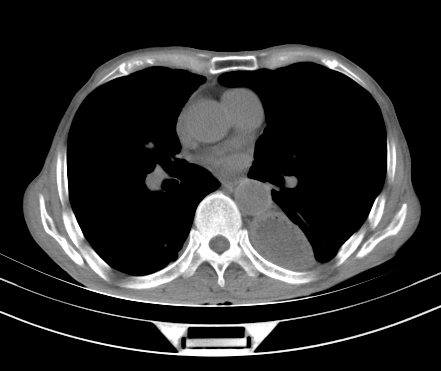
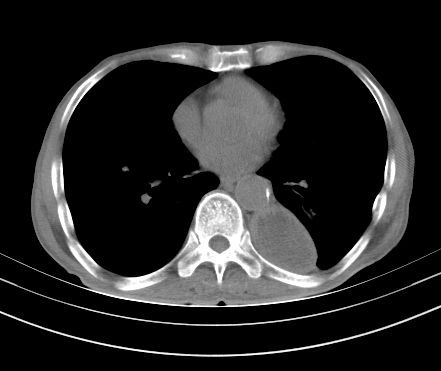
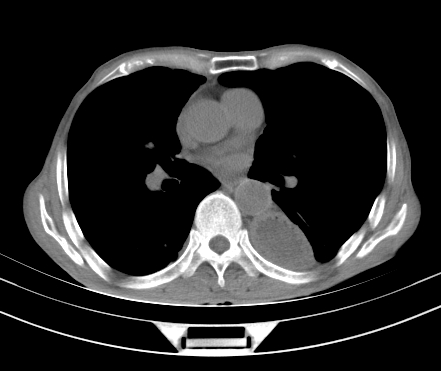
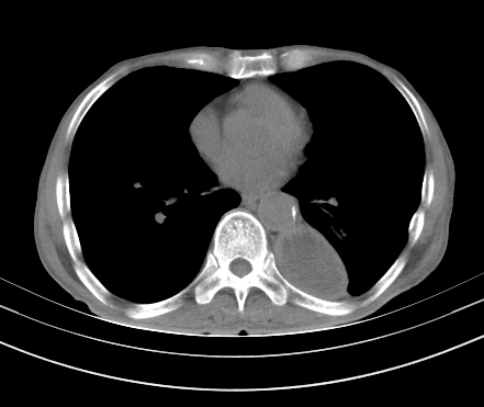
以下是引用gaoshengjiang在2008-5-30 19:53:00的发言:[br]右上叶可见大片实变影,其内可见充气支气管影及囊状影,右上叶尖端支气管走形区可见结节样影,左侧胸腔内可见胸腔胃影。纵隔淋巴结肿大。[br]考虑:1.右上肺阻塞性肺炎伴肺脓肿形成。支持转移所致。[br] 2.左侧胸腔胃。
| 欢迎光临 医影在线 (http://bbs.radida.com/bbs/) | Powered by Discuz! X3.2 |