医影在线

标题: X4242结果右肩胛骨下角骨折 [打印本页]

作者: wangjie    时间: 2008-5-26 05:46
标题: X4242结果右肩胛骨下角骨折
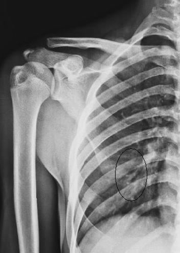
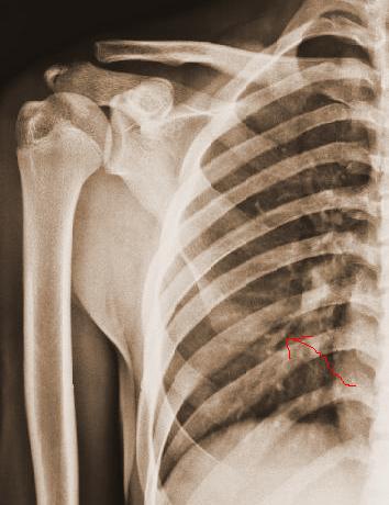
右肩胛骨下角骨折。
如果照个肩胛骨侧位就好了,





(点击阅片:http://www.radida.com/bbs/forum.php?mod=viewthread&tid=39527)

[本贴已被 翁志蓬 于 2008-5-25 22:32:56 修改过]

作者: wangjie    时间: 2008-5-26 06:06
开始我发了正常报告,结合侧位透视才发现骨折!如果是自己亲自照就好了,那匪徒的刀法太好了,砍的太整齐。
作者: 施发春    时间: 2008-5-26 06:07
肺纹理吧。
作者: 杀毒软件    时间: 2008-5-26 19:39
是吗,不太像
作者: 黑白光影    时间: 2008-5-26 20:36
标题: 回复:x4242结果右肩胛骨下角骨折
以下是引用杀毒软件在2008-5-26 11:39:00的发言:[br]是吗,不太像

光看片是很难看出来的,只有结合刀口处啦。要我看我就看不出来。
作者: liangshusheng    时间: 2008-5-27 05:56
太难了!
作者: zhangxiangjun    时间: 2008-5-27 06:45
兄弟 说句实话  你告诉结果给我  我看的还是不怎么像。。。
作者: jinguoji    时间: 2008-5-27 07:58
难度太大了!
作者: 彭    时间: 2008-5-28 00:06
刀法不只是好,简直堪称绝妙,若非有透视,我绝认为是肺纹.
作者: wangjie    时间: 2008-5-28 01:03
同志们!老师们!这个病例的确太难了,真的很像肺纹理。我第一次还下正常报告,幸运还没发出去啊!透视了才下骨折。
这绝对是骨折!
             绝妙!!!!!!!
作者: 碧竹箫月    时间: 2008-5-29 07:40
诊断这种片子,只有结合临床。
作者: zxczxc    时间: 2008-6-4 17:48
难以诊断。要拍侧位片。
作者: 天天向上CR    时间: 2008-6-10 23:37
正位片说明不了什么问题




欢迎光临 医影在线 (http://bbs.radida.com/bbs/) Powered by Discuz! X3.2