

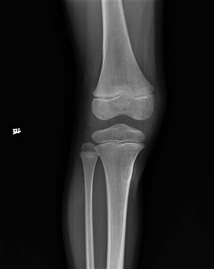
以下是引用杀毒软件在2008-5-26 22:37:00的发言:[br]右胫骨纤维性骨皮质缺损可能性大
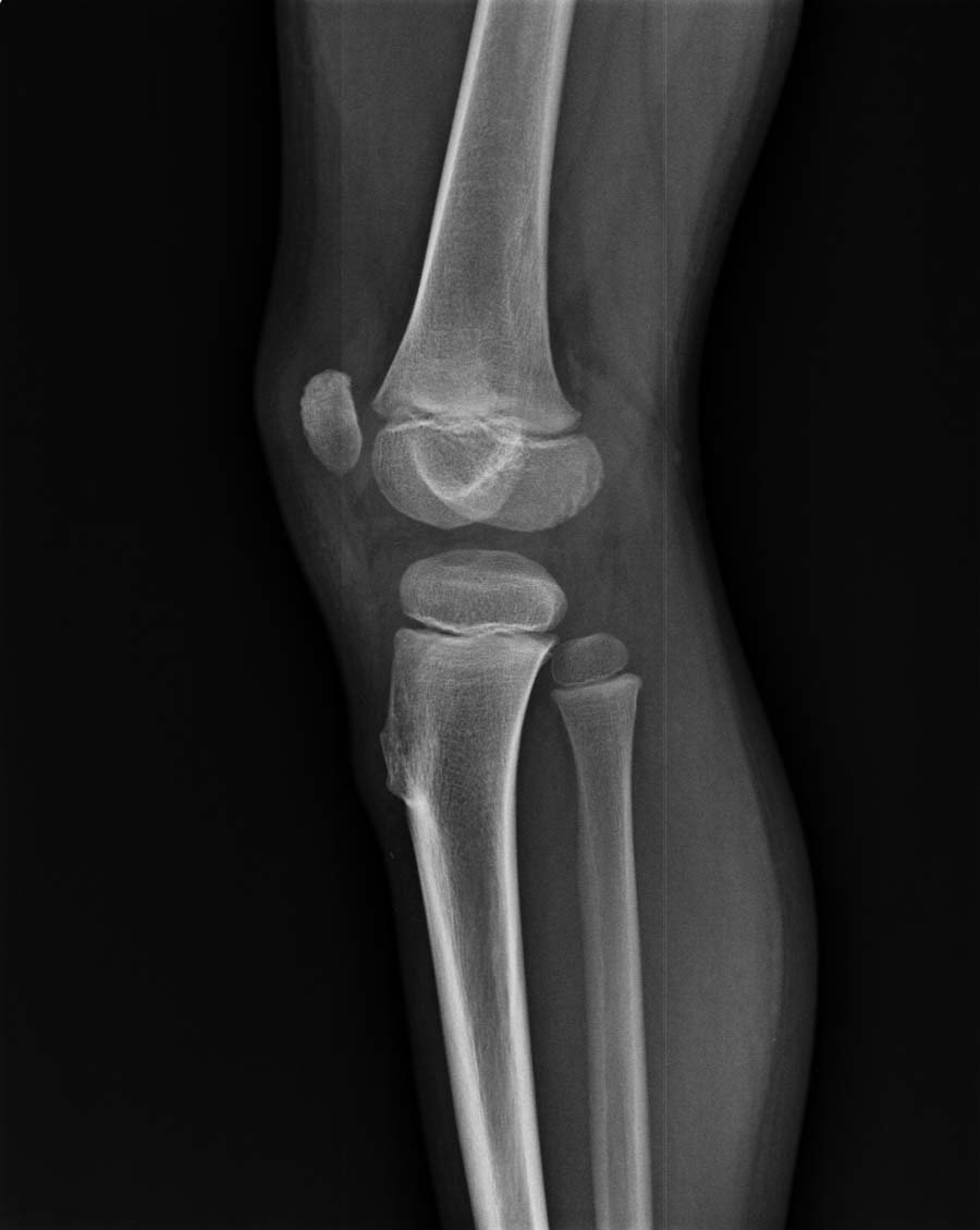
以下是引用蚂蚁在2008-5-26 23:01:00的发言:[br]宽基底骨软骨瘤!
以下是引用蚂蚁在2008-5-26 23:01:00的发言:[br]宽基底骨软骨瘤!
以下是引用杀毒软件在2008-5-26 22:37:00的发言:[br]右胫骨纤维性骨皮质缺损可能性大
以下是引用黑白光影在2008-5-26 23:07:00的发言:[br][quote]以下是引用蚂蚁在2008-5-26 23:01:00的发言:[br]宽基底骨软骨瘤!
以下是引用杀毒软件在2008-5-26 22:37:00的发言:[br]右胫骨纤维性骨皮质缺损可能性大
| 欢迎光临 医影在线 (http://bbs.radida.com/bbs/) | Powered by Discuz! X3.2 |