
















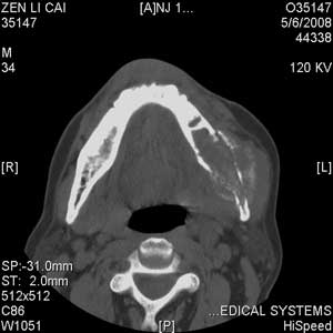
以下是引用jiangjing在2008-5-28 15:56:00的发言:[br]下颌骨左侧部骨质破坏,轻度膨胀,瘤骨形成,软组织肿胀考虑 恶性骨肿瘤-----肉瘤类
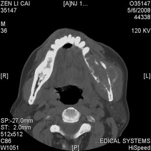
以下是引用jiangjing在2008-5-28 15:56:00的发言:[br]下颌骨左侧部骨质破坏,轻度膨胀,瘤骨形成,软组织肿胀考虑 恶性骨肿瘤-----肉瘤类
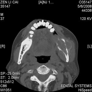
以下是引用jiangjing在2008-5-28 15:56:00的发言:[br]下颌骨左侧部骨质破坏,轻度膨胀,瘤骨形成,软组织肿胀考虑 恶性骨肿瘤-----肉瘤类
| 欢迎光临 医影在线 (http://bbs.radida.com/bbs/) | Powered by Discuz! X3.2 |