











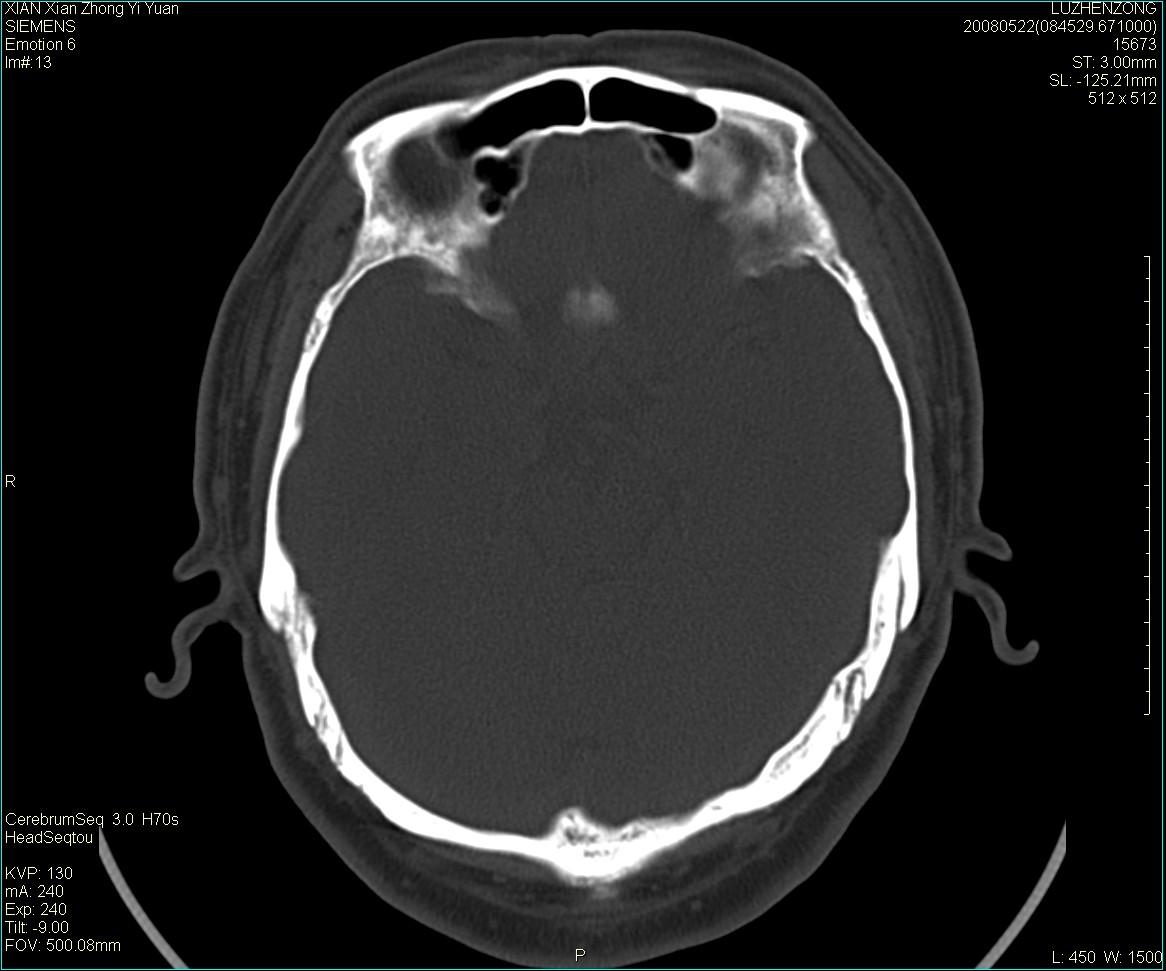
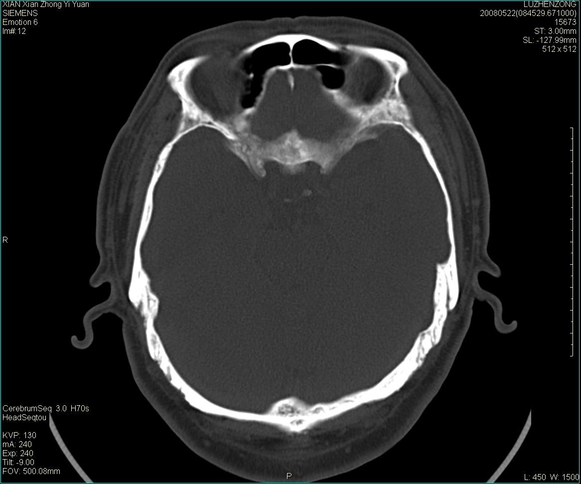
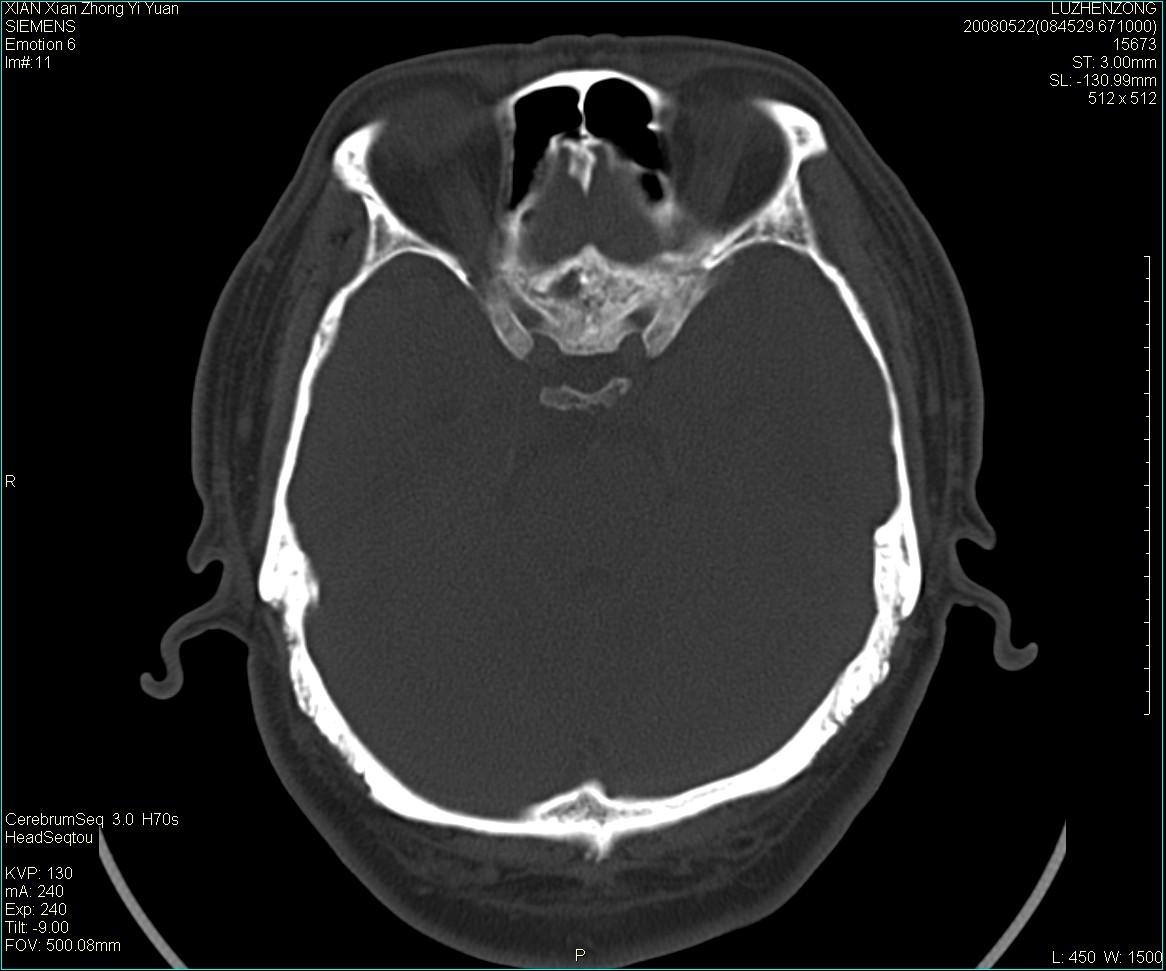
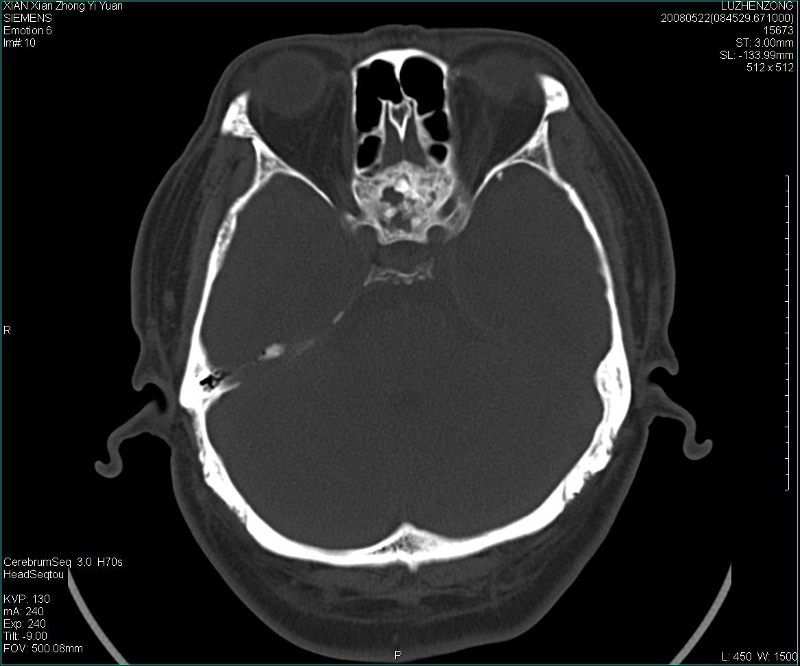
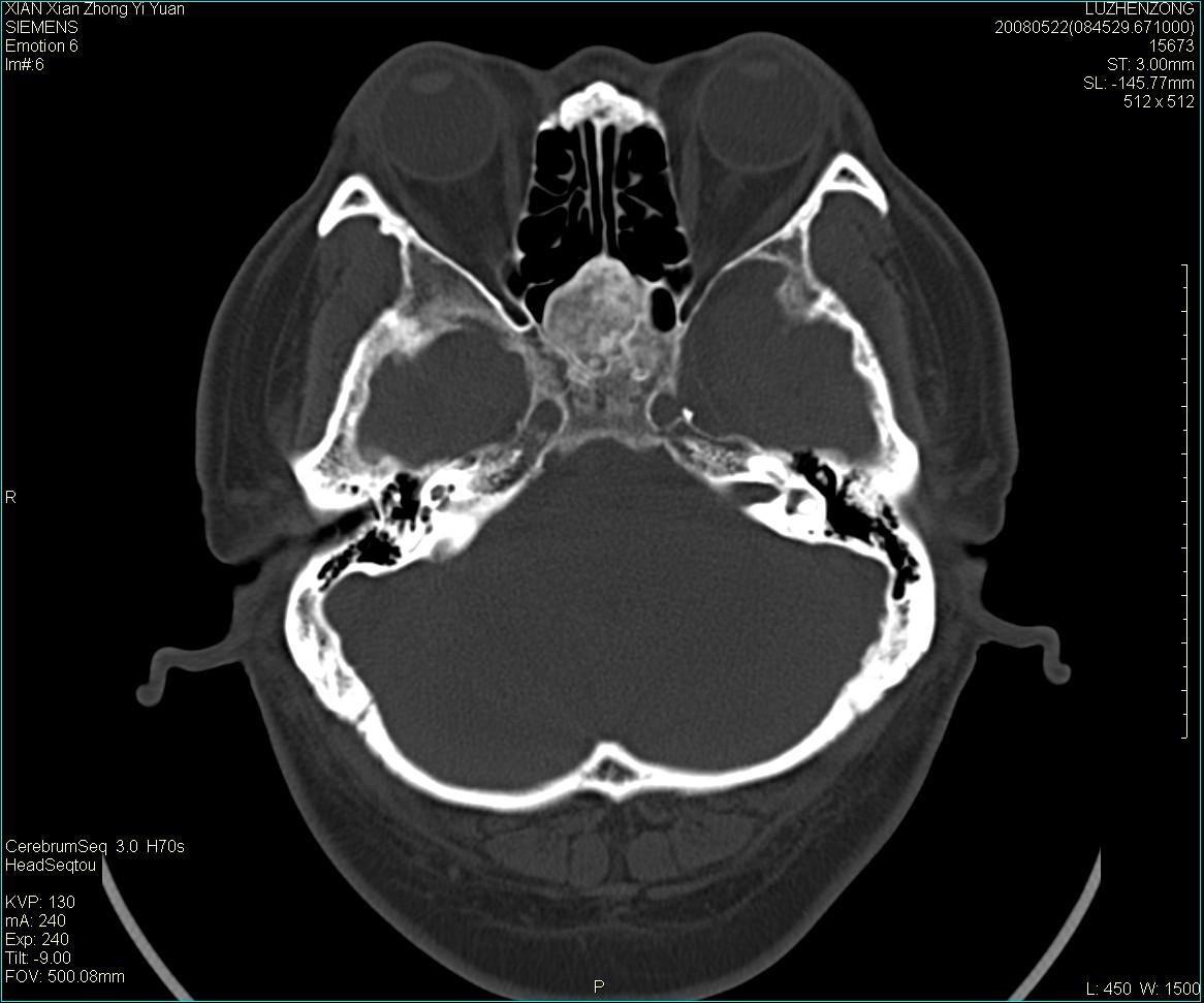
以下是引用gaoshengjiang在2008-5-28 19:06:00的发言:[br]考虑来源于蝶骨前床突区骨软骨瘤。
以下是引用卜一在2008-5-28 20:46:00的发言:[br]中颅窝“骨纤维异常增殖症”。不除外考虑来源于蝶骨前床突区“骨软骨瘤”。[br]
以下是引用gaoshengjiang在2008-5-28 19:06:00的发言:[br]考虑来源于蝶骨前床突区骨软骨瘤。
以下是引用liangshusheng在2008-5-28 20:13:00的发言:[br]单骨病变,考虑骨化性纤维瘤。
| 欢迎光临 医影在线 (http://bbs.radida.com/bbs/) | Powered by Discuz! X3.2 |