医影在线

标题: CT13722:胸部:男性,43 [打印本页]

作者: 网事随风    时间: 2008-5-29 23:29
标题: CT13722:胸部:男性,43
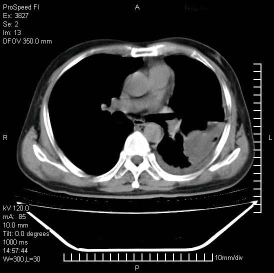
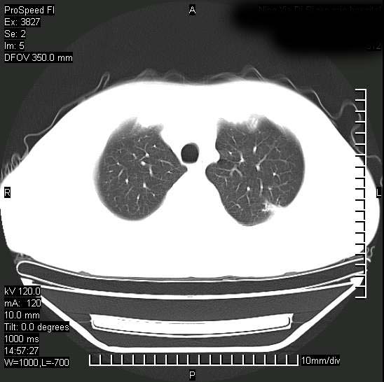
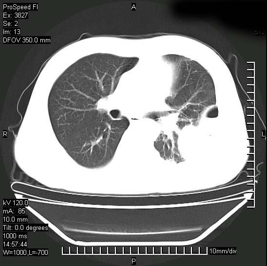
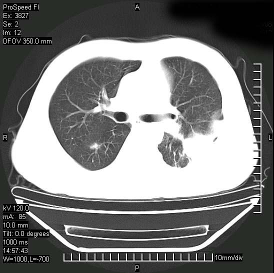
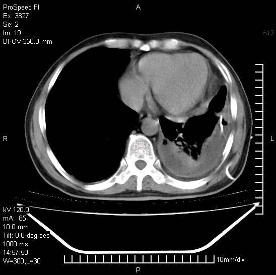
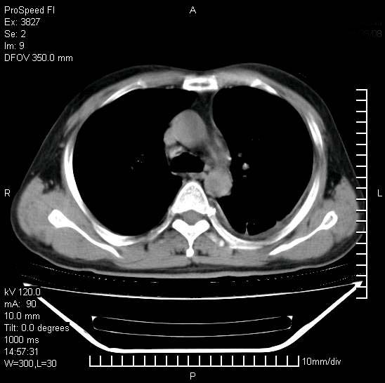
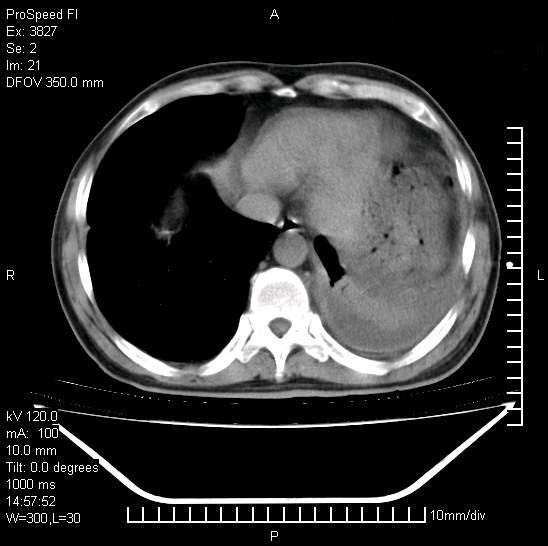
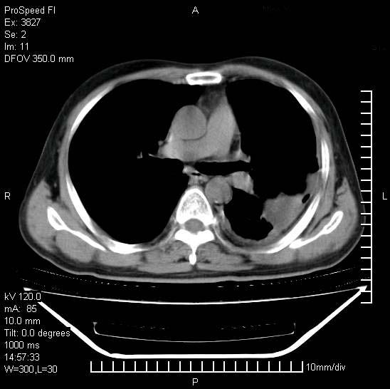
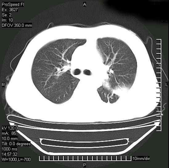
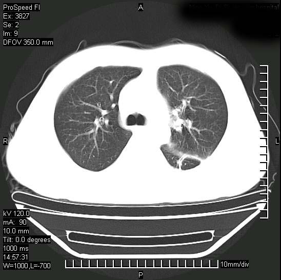
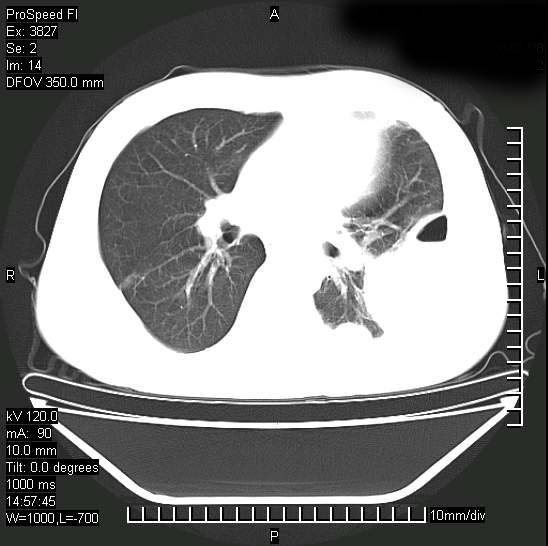
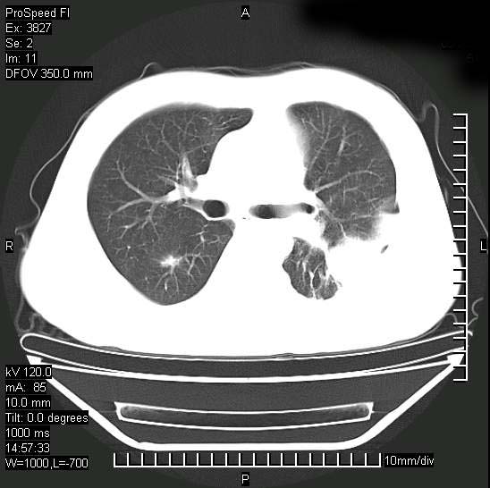
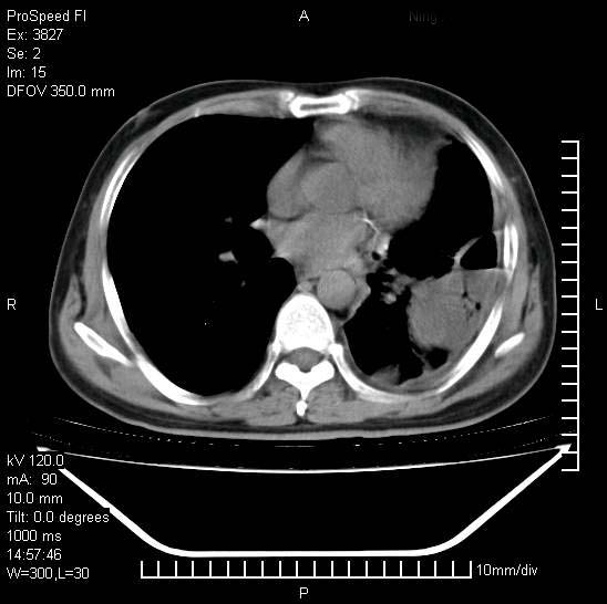
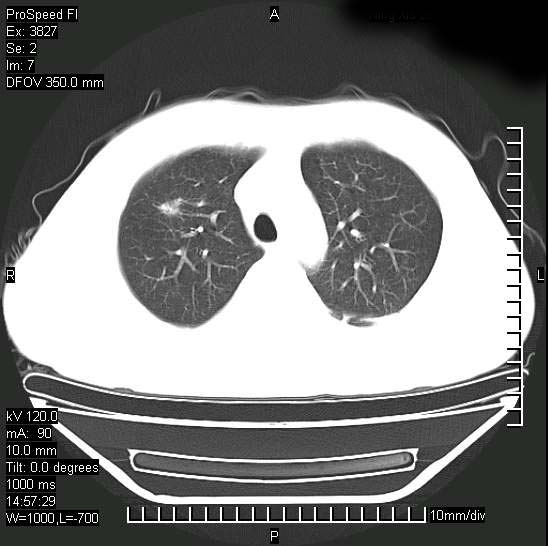
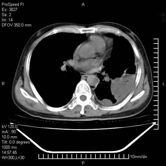
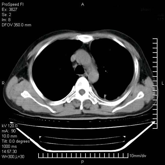
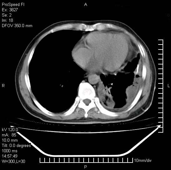
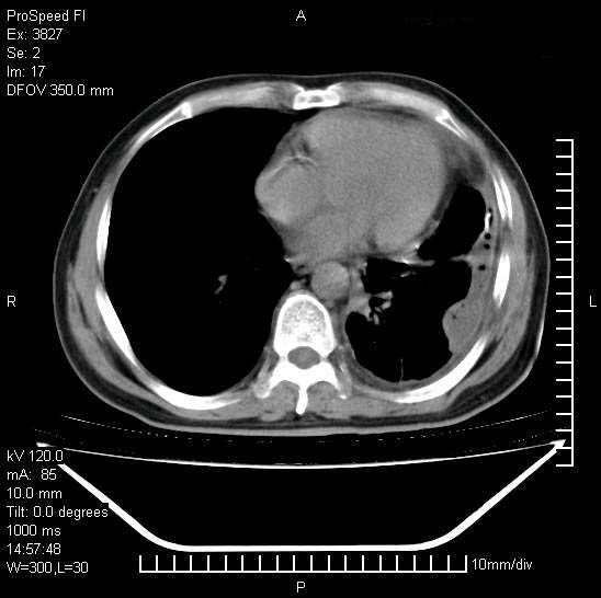
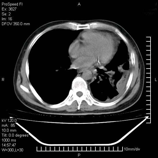
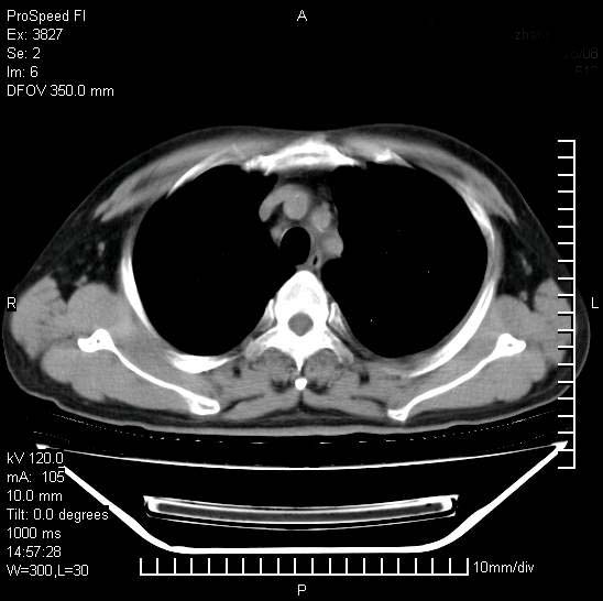
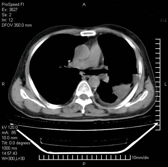
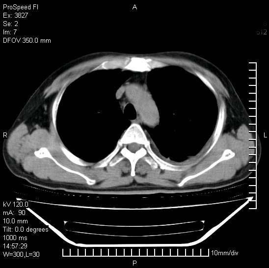
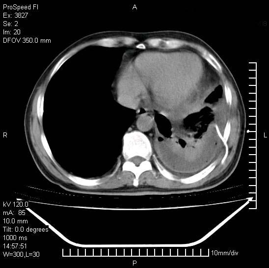
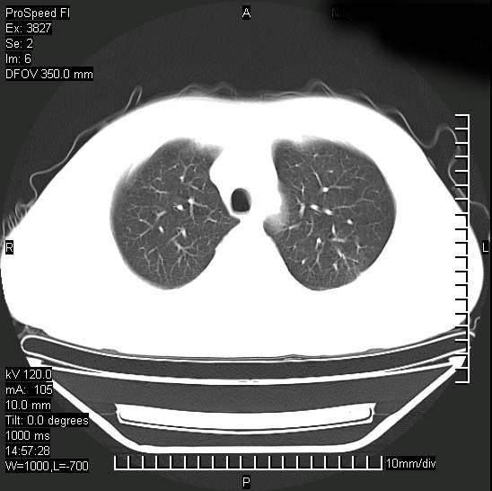
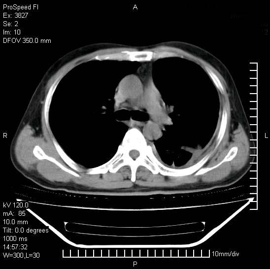
男性,一月前出现右侧肋区疼痛,较剧烈,干咳,无发热,自诉使用抗炎药后缓解,几天前又出现左侧剧烈疼痛,
发热,体温38。9,今天ct,考虑左侧包裹性脓胸,胸腔积液,右上中肺小斑片影,结核/炎症?胸水未见恶性细胞。





































[本贴已被 翁志蓬 于 2008-5-29 20:03:26 修改过]

作者: 深泽交通    时间: 2008-5-29 23:33
支持浓胸
作者: 宇宙CT    时间: 2008-5-29 23:55
脓胸
作者: 卜一    时间: 2008-5-30 00:00
支持:脓胸!并双肺继发性肺结核!
作者: 白求恩第二    时间: 2008-5-30 00:29
脓胸!并双肺继发性肺结核!
作者: ydx_74    时间: 2008-5-30 01:07
脓胸!结核!
作者: yangyudong333    时间: 2008-5-30 01:08
支持:脓胸!并双肺继发性肺结核!
作者: whz1765    时间: 2008-5-30 01:10
支持浓胸,并两肺炎症改变。
作者: zhjzhong1968    时间: 2008-5-30 01:26
支持脓胸并结核
作者: 医影拾贝    时间: 2008-5-30 01:28
左侧肺脓疡,化脓性胸膜炎(脓胸),不支持结核诊断,建议继续抗感染治疗
作者: xulianj    时间: 2008-5-30 04:38
脓胸!结核!
作者: pujunzhi    时间: 2008-5-30 05:09
支持8楼 脓胸,并两肺炎症改变。
作者: zjzjr    时间: 2008-5-30 05:27
支持浓胸,并两肺炎症改变。
作者: wzr    时间: 2008-5-30 10:01
化脓性胸膜炎(脓胸),
作者: 杀毒软件    时间: 2008-5-30 17:20
标题: 回复:ct13722:胸部:男性,43
以下是引用医影拾贝在2008-5-29 17:28:00的发言:[br]左侧肺脓疡,化脓性胸膜炎(脓胸),不支持结核诊断,建议继续抗感染治疗

支持
作者: shuhuang2007    时间: 2008-5-30 17:23
两肺结核;脓胸.
作者: 拾荒者    时间: 2008-5-30 20:51
支持左侧肺脓肿并脓胸,肺内炎症,建议继续抗炎治疗后复查。
作者: zsl6918    时间: 2008-5-30 20:56
脓胸没问题,肺内还可见感染灶,感觉不像是结核性病变.
作者: peijunlong    时间: 2008-5-31 07:46
典型
作者: dr.yang    时间: 2011-12-8 21:07
支持左侧肺脓肿并脓胸,肺内炎症,建议继续抗炎治疗后复查。




欢迎光临 医影在线 (http://bbs.radida.com/bbs/) Powered by Discuz! X3.2