医影在线

标题: CT13730:排尿不畅4天,抗炎治疗无效,现尿中可见血块 [打印本页]

作者: 刘阿赵    时间: 2008-5-30 02:23
标题: CT13730:排尿不畅4天,抗炎治疗无效,现尿中可见血块















[本贴已被 jiajie 于 2008-5-29 20:18:43 修改过]

作者: 358450m    时间: 2008-5-30 02:31
膀胱癌
作者: qc80012345    时间: 2008-5-30 02:35
膀胱癌伴转移。
作者: 前行    时间: 2008-5-30 02:36

作者: 影象小辈    时间: 2008-5-30 02:43
支持
作者: 沉默是金    时间: 2008-5-30 03:10
标题: 回复:排尿不畅4天,抗炎治疗无效,现尿中可见血块
以下是引用qc80012345在2008-5-29 18:35:00的发言:[br]膀胱癌伴转移。

作者: wqs571018    时间: 2008-5-30 03:47
膀胱癌。
作者: 沙漠骆驼    时间: 2008-5-30 04:14
膀胱癌伴转移。 支持。
作者: xulianj    时间: 2008-5-30 04:55
膀胱癌伴转移。 支持。
作者: 随光逐影    时间: 2008-5-30 04:58
膀胱癌。
作者: wj2039    时间: 2008-5-30 05:01
膀胱癌伴转移。 支持
作者: hongtao    时间: 2008-5-30 05:05
膀胱癌。
作者: 72xiang.zi    时间: 2008-5-30 05:08
膀胱癌伴转移。
作者: lxq2000    时间: 2008-5-30 05:11
膀胱癌伴转移。
作者: ※学生※    时间: 2008-5-30 05:48
支持
作者: panyishengct    时间: 2008-5-30 05:53
膀胱癌伴转移。
作者: 一棵树    时间: 2008-5-30 05:59
支持膀胱癌。
作者: zjzjr    时间: 2008-5-30 17:31
膀胱癌。
作者: zsl6918    时间: 2008-5-30 21:28
膀胱内多发恶性占位,癌可能性大
作者: 拾荒者    时间: 2008-5-30 21:37
考虑膀胱癌转移。
作者: pujunzhi    时间: 2008-5-30 23:52
膀胱癌
作者: 深泽交通    时间: 2008-5-31 01:20
标题: 回复:ct13730:排尿不畅4天,抗炎治疗无效,现尿中可见血块
以下是引用wj2039在2008-5-29 21:01:00的发言:[br]膀胱癌伴转移。 支持

作者: zhw974247    时间: 2008-5-31 04:03
膀胱癌伴转移,支持。
作者: peijunlong    时间: 2008-5-31 07:22
膀胱癌伴转移,支持
作者: 刘阿赵    时间: 2008-6-9 17:58
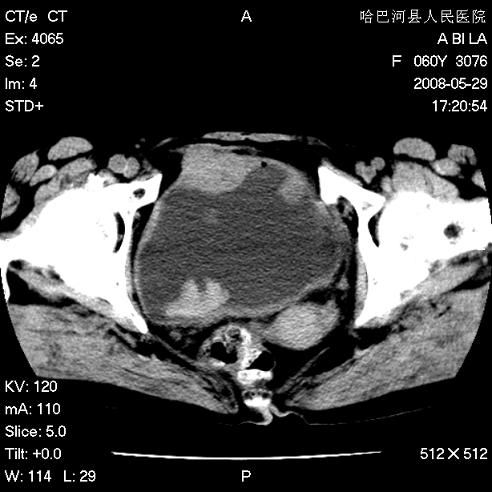
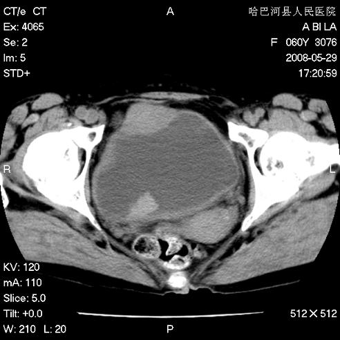
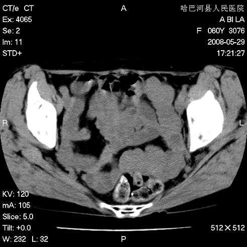
手术结果及病理:膀胱癌并膀胱壁转移,膀胱内血块




欢迎光临 医影在线 (http://bbs.radida.com/bbs/) Powered by Discuz! X3.2