



















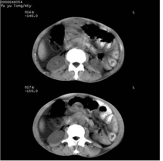
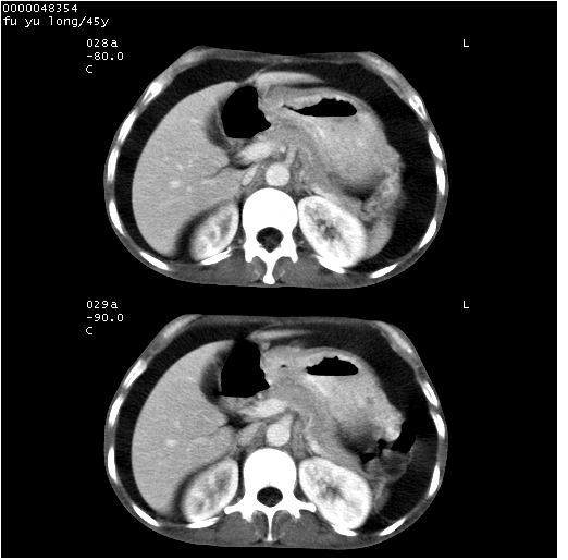
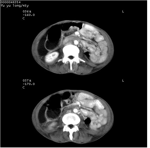
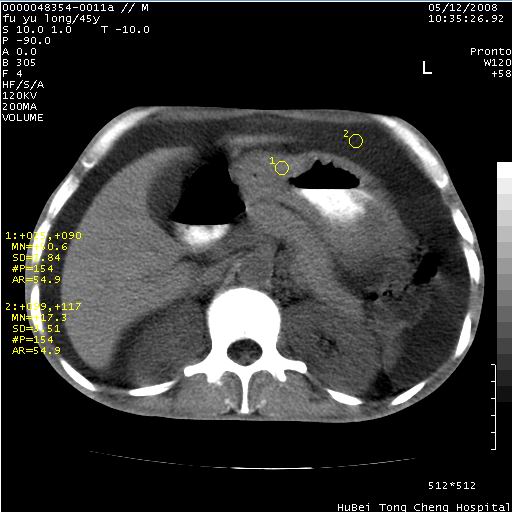
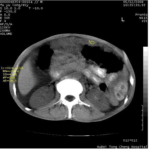
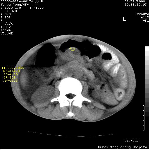
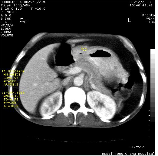
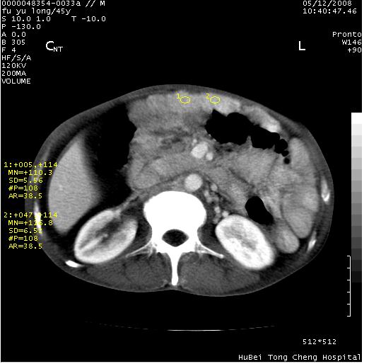
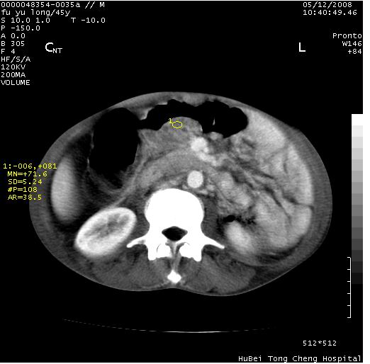
以下是引用医影拾贝在2008-5-30 2:38:00的发言:[br]气肿性胃炎、胃十二指肠溃疡、腹膜炎,考虑穿孔可能性较大
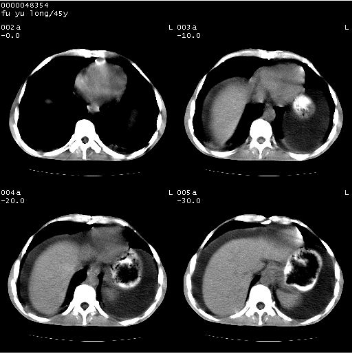
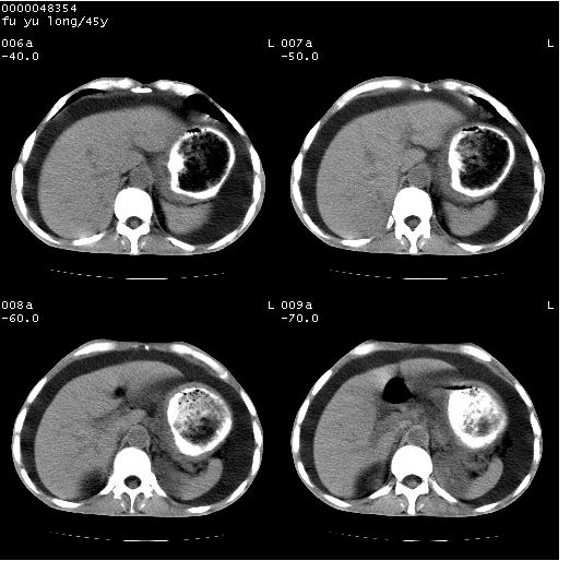
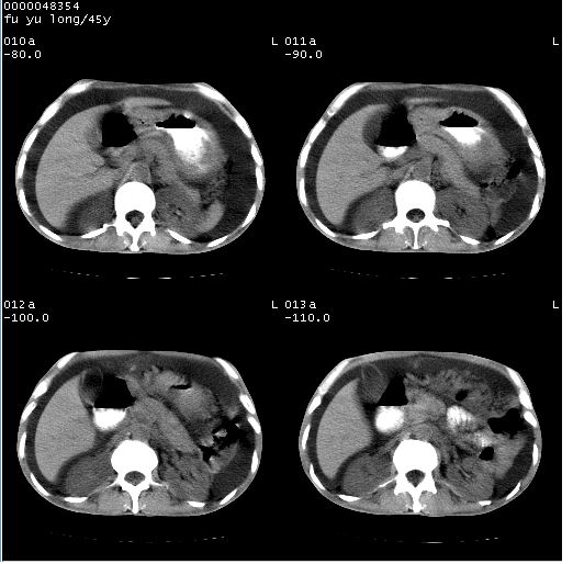
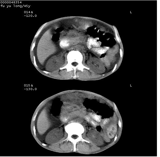
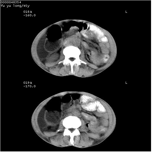
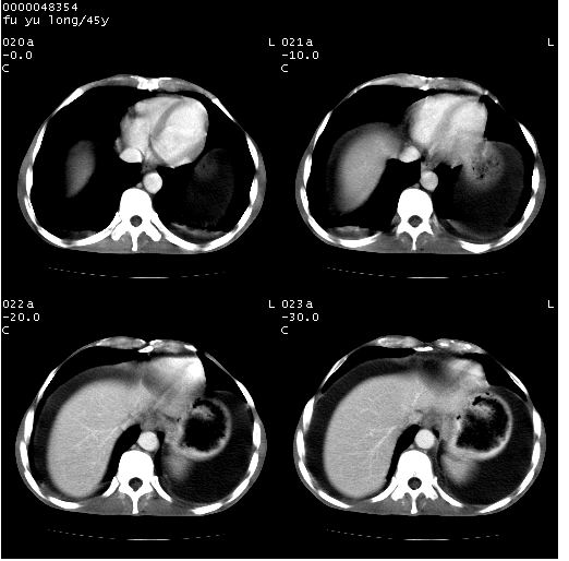
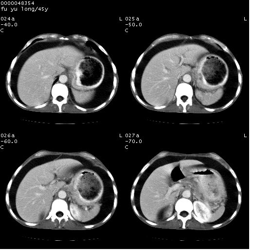
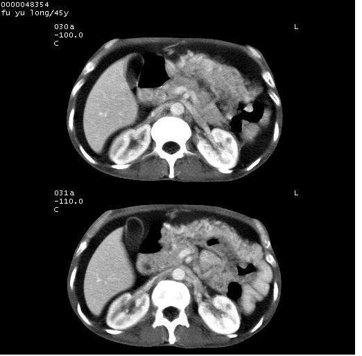
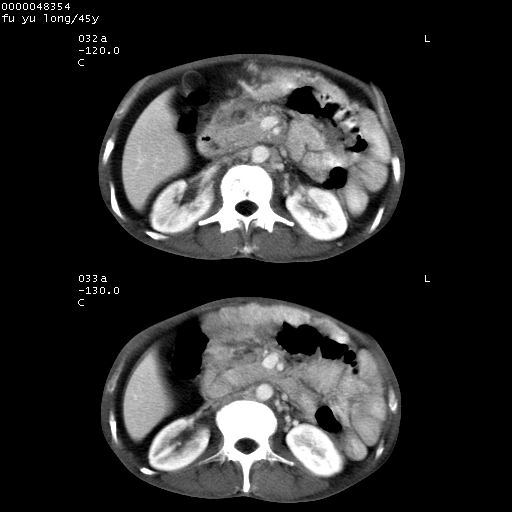
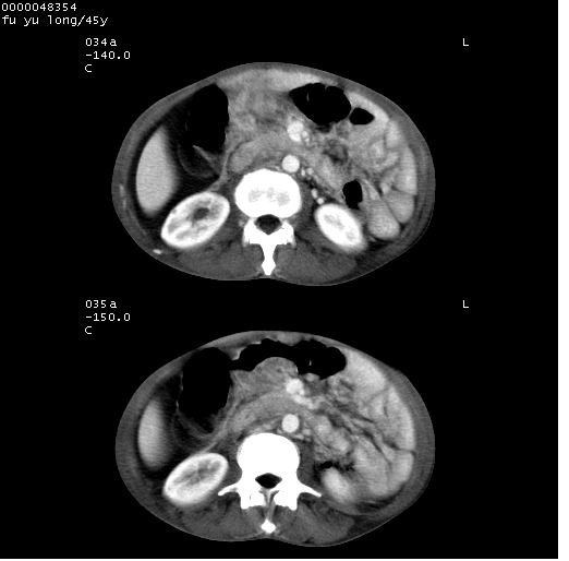
以下是引用lkc8963在2008-5-30 8:44:00的发言:[br]胃窦癌伴网膜(胃结肠韧带)/腹膜及腹膜后淋巴结转移.
以下是引用医影拾贝在2008-5-30 2:38:00的发言:[br]气肿性胃炎、胃十二指肠溃疡、腹膜炎,考虑穿孔可能性较大
| 欢迎光临 医影在线 (http://bbs.radida.com/bbs/) | Powered by Discuz! X3.2 |