医影在线

标题: CT13739:有谁见过这样的双侧硬膜下积液? [打印本页]

作者: 黄奕    时间: 2008-5-30 07:05
标题: CT13739:有谁见过这样的双侧硬膜下积液?
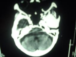
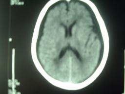
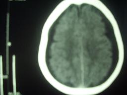
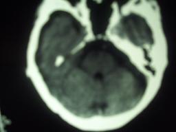
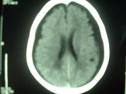
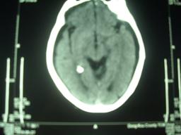
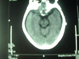
男,90岁,5天前曾摔倒,头颅并未受伤,今天突然头疼,但无呕吐!











ct结果怀疑双侧硬膜下积液!


[本贴已被 翁志蓬 于 2008-5-29 23:26:29 修改过]

作者: 尹鹄    时间: 2008-5-30 07:30
双侧硬膜下积液!
作者: panyishengct    时间: 2008-5-30 07:30
双侧硬膜下积液!
作者: 随光逐影    时间: 2008-5-30 07:41
双侧硬膜下积液。
作者: 尹鹄    时间: 2008-5-30 07:43
外伤性硬膜下积液(traumatic subdural effusion, tse)又名外伤性硬膜下水瘤, tse好发于60岁以上老年人,这与老年人存在不同程度脑萎缩、硬膜下间隙增大有关。根据颅脑损伤病史,伤后头痛、头晕、恶心、呕吐等症状,及ct扫描表现为单侧或双侧颅内骨板侧低密度,呈弧形或新月形,与脑组织边界清楚,tse不难诊断
作者: wzr    时间: 2008-5-30 09:39
双侧硬膜下积液
作者: yangyudong333    时间: 2008-5-30 13:47
双侧硬膜下积液
作者: yuhongjun    时间: 2008-5-30 14:10
双侧硬膜下积液
作者: 长城干红    时间: 2008-5-30 15:44
属于比较常见的,双侧硬膜下积液,有些老年人仅见积液而无症状。
作者: 358450m    时间: 2008-5-30 15:51
双侧硬膜下积液!
作者: 杀毒软件    时间: 2008-5-30 16:53
支持双侧硬膜下积液
作者: shuhuang2007    时间: 2008-5-30 17:15
双侧硬膜下积液.
作者: 文莱    时间: 2008-5-30 17:26
双侧硬膜下积液
作者: 快乐流星    时间: 2008-5-30 17:51
支持
作者: 大师xcb    时间: 2008-5-30 17:52
外伤性硬膜下积液(traumatic subdural effusion, tse)又名外伤性硬膜下水瘤, tse好发于60岁以上老年人,这与老年人存在不同程度脑萎缩、硬膜下间隙增大有关。根据颅脑损伤病史,伤后头痛、头晕、恶心、呕吐等症状,及ct扫描表现为单侧或双侧颅内骨板侧低密度,呈弧形或新月形,与脑组织边界清楚,tse不难诊断。very good!
作者: qiushi    时间: 2008-5-30 18:11
外伤性硬膜下积液(tse)又名硬膜下水瘤,是颅脑外伤蛛网膜撕裂,使脑脊液在硬膜下积聚所致.近年来,国内外学者注意到tse可转变为慢性硬膜下血肿(csdh)
   
     tse和csdh作为两个不同的颅脑疾病,分别由mayo和virchow于1894年和1857年首先报道,tse的发病机理是颅脑外伤时,脑组织在颅内剧烈移动,外侧裂池、视交叉池或脑表面的蛛网膜被坚固的颅骨撕破形成一个单向活瓣,使脑脊液由蛛网膜下腔向硬膜下腔积聚而成。而csdh的发病原因仍不清楚,多数学者认为血肿是头部损伤引起,也有认为可能与血管性或出血疾病有关。1979年,日本学者yamada等首先报道3例类似的演变。
     tse演变为csdh的发生率各家报道不一,从0~58%,日本学者的报道其发生率较高;关于病变演进的机理,目前仍有争议,一些学者认为是tse发生后,硬膜下积液的积聚使脑实质和硬膜的距离增大,桥静脉被牵拉变长,破裂出血所至,它好发于老年人,可能与老年人脑萎缩后硬膜下腔增大有关。
  另有学者则反对上述观点,认为csdh可能并非由tse转变而来,而是由急性硬膜下血肿液化所至,认为ct中的低密度可能是csdh,而不是tse。他们观察到,在tse的积液中,往往存在血性液体或者呈淡黄色的脑脊液。但这一观点无法解释的是,tse往往在伤后数日或一周内即形成,而急性硬膜下血肿变为低密度灶,往往需2周时间.
作者: sl789    时间: 2008-5-30 19:08
双侧硬膜下积液,较常见。
作者: zjzjr    时间: 2008-5-30 19:25
双侧硬膜下积液
作者: 宇宙CT    时间: 2008-5-30 19:39
外伤性硬膜下积液(traumatic subdural effusion, tse)又名外伤性硬膜下水瘤, tse好发于60岁以上老年人,这与老年人存在不同程度脑萎缩、硬膜下间隙增大有关。根据颅脑损伤病史,伤后头痛、头晕、恶心、呕吐等症状,及ct扫描表现为单侧或双侧颅内骨板侧低密度,呈弧形或新月形,与脑组织边界清楚,tse不难诊断
作者: 深泽交通    时间: 2008-5-30 19:39
zhi chi
作者: zsl6918    时间: 2008-5-30 19:42
外周性脑萎缩
作者: pujunzhi    时间: 2008-5-31 06:06
双侧硬膜下积液,个别病例随访观察可形成慢性硬膜下血肿,此例波及范围大,应警惕!
作者: hjk    时间: 2008-5-31 06:25
支持
作者: peijunlong    时间: 2008-5-31 07:01
男,90岁,5天前曾摔倒,头颅并未受伤,今天突然头疼,但无呕吐
外伤性硬膜下积液(traumatic subdural effusion, tse)又名外伤性硬膜下水瘤, tse好发于60岁以上老年人,这与老年人存在不同程度脑萎缩、硬膜下间隙增大有关。根据颅脑损伤病史,伤后头痛、头晕、恶心、呕吐等症状,及ct扫描表现为单侧或双侧颅内骨板侧低密度,呈弧形或新月形,与脑组织边界清楚,tse不难诊断
作者: 拾荒者    时间: 2008-6-1 04:46
考虑双侧硬膜下积液。
作者: hnyzdjb    时间: 2008-6-13 02:45
双侧硬膜下积液!
作者: wansheng    时间: 2008-6-13 03:51
双侧硬膜下积液,老年人较常见。
作者: zhuming943066    时间: 2008-6-13 03:58
老年性脑萎缩,积液不考虑




欢迎光临 医影在线 (http://bbs.radida.com/bbs/) Powered by Discuz! X3.2