




















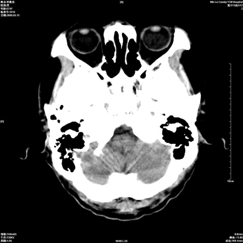
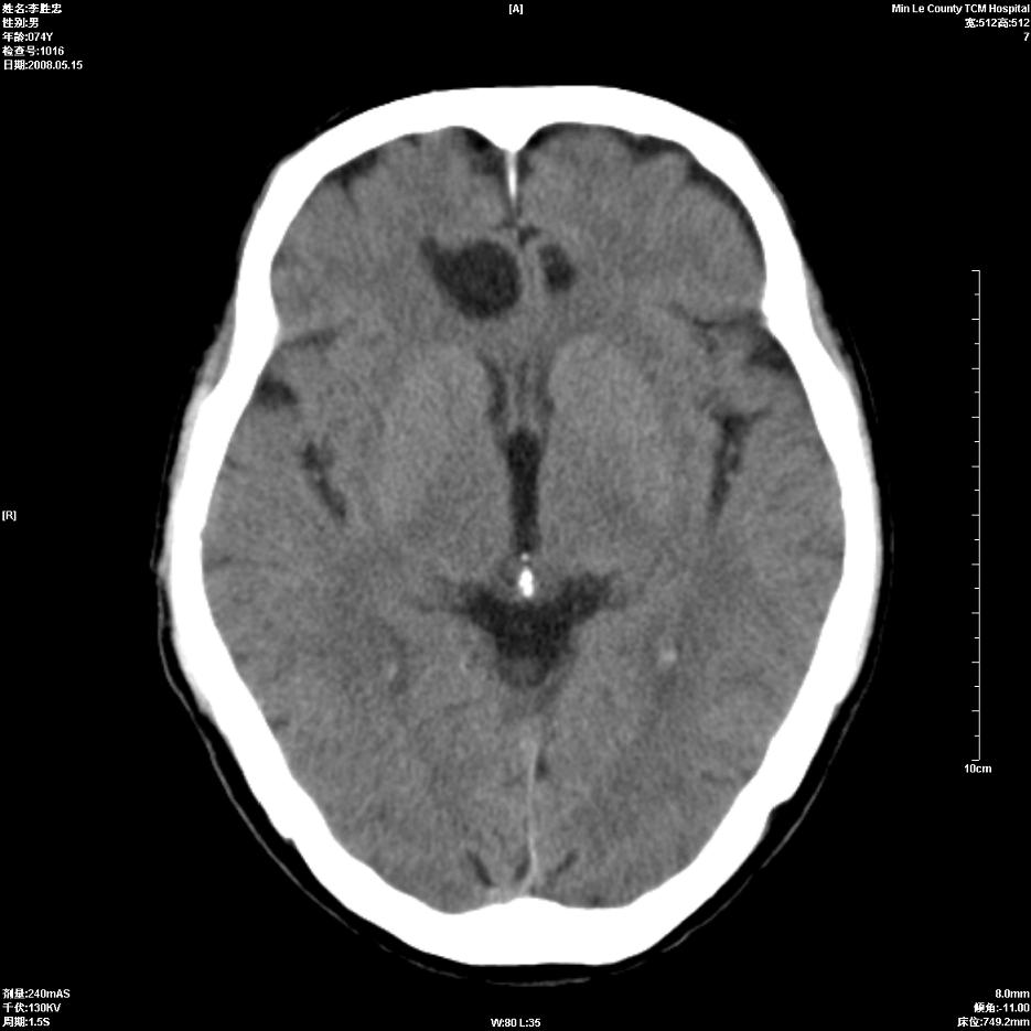
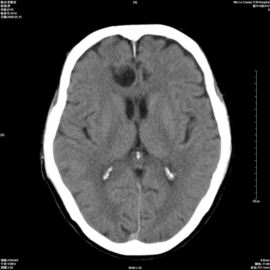
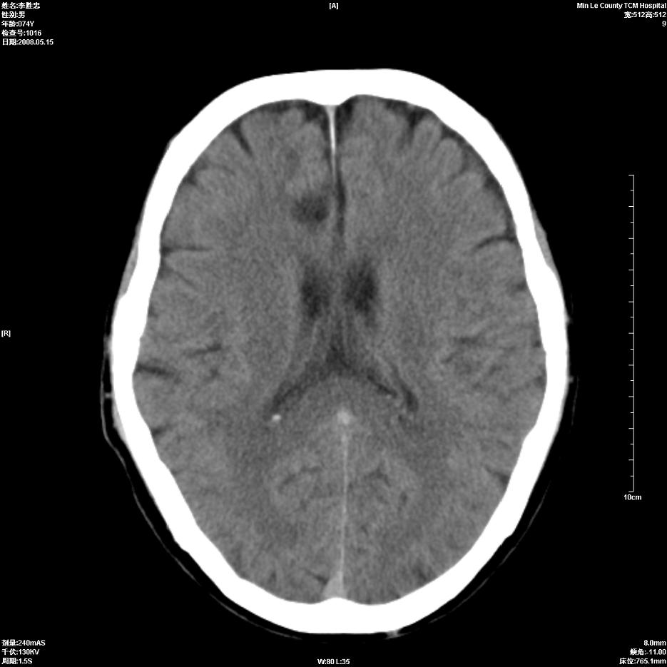
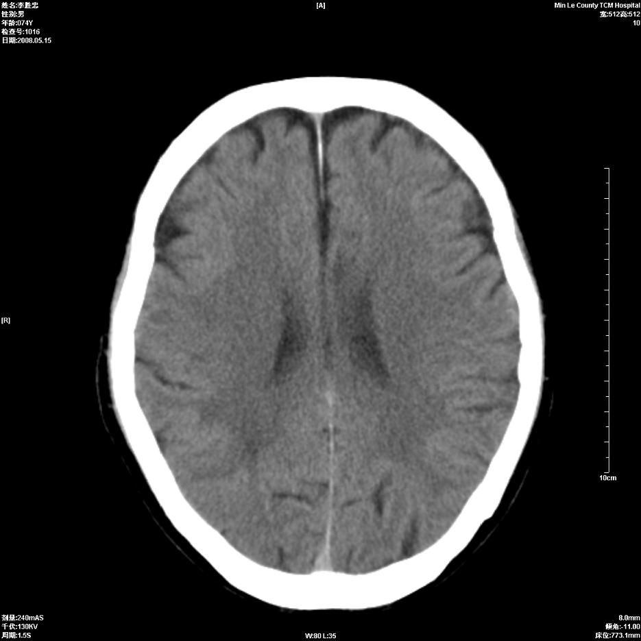
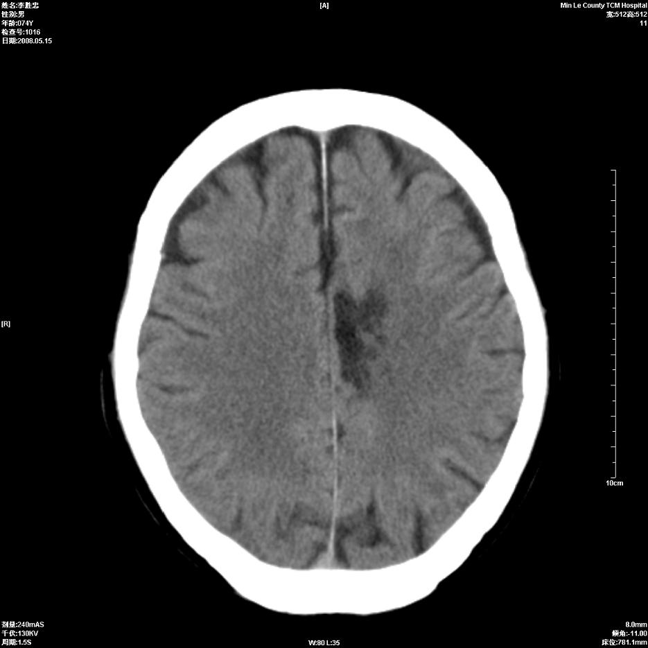
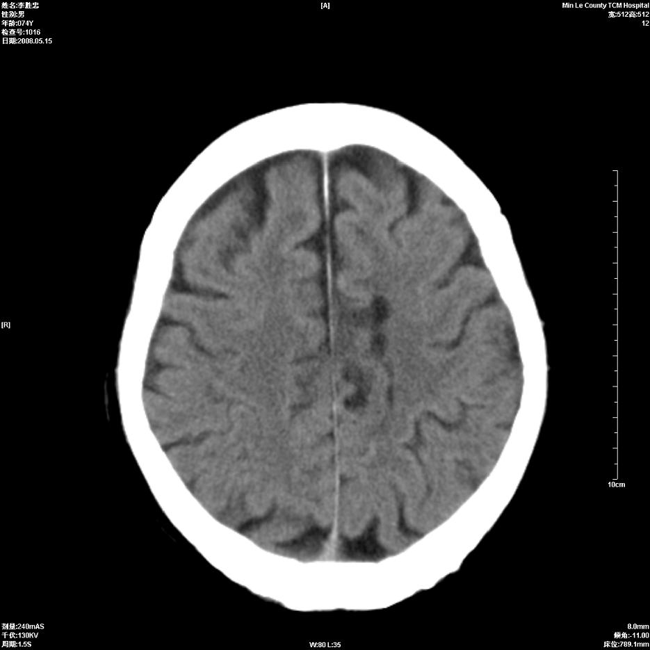
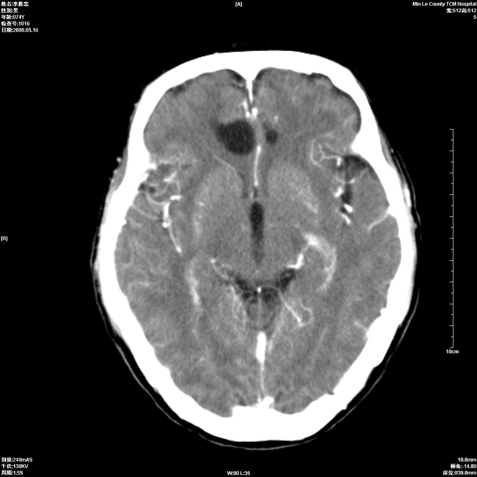
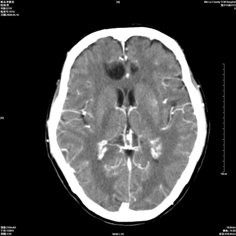
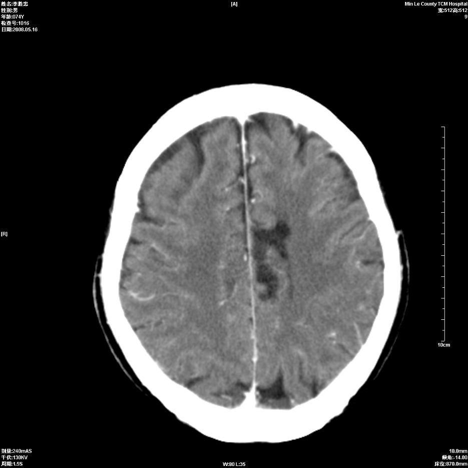
以下是引用hhcckk在2008-5-30 14:26:00的发言:[br]病灶跨中线,有占位效应,强化不明显,考虑胼胝体区低级别的星形细胞瘤可能性大,建议mr检查
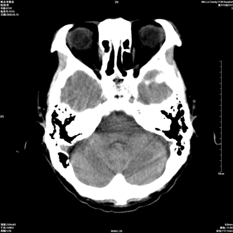
以下是引用深泽交通医院在2008-5-30 15:06:00的发言:[br]多发蛛网膜囊肿
以下是引用hhcckk在2008-5-30 14:26:00的发言:[br]病灶跨中线,有占位效应,强化不明显,考虑胼胝体区低级别的星形细胞瘤可能性大,建议mr检查
| 欢迎光临 医影在线 (http://bbs.radida.com/bbs/) | Powered by Discuz! X3.2 |