医影在线
标题: CT13748:男,26岁,头部外伤。 [打印本页]
作者: liuyue 时间: 2008-5-30 22:23
标题: CT13748:男,26岁,头部外伤。
神清,语利。自小右侧上下肢肌力增强,呈痉挛状态。智力正常。













[本贴已被 翁志蓬 于 2008-5-30 17:53:54 修改过]
作者: hhcckk 时间: 2008-5-30 22:31
标题: 回复:男,26岁,头部外伤。

作者: 长城干红 时间: 2008-5-30 22:40
支持楼上
作者: 深泽交通 时间: 2008-5-30 22:58
标题: 回复:男,26岁,头部外伤。
以下是引用长城干红在2008-5-30 14:40:00的发言:[br]支持楼上
作者: yuxia0635 时间: 2008-5-30 23:02
脑裂贯通畸形
作者: qiushi 时间: 2008-5-30 23:12
脑裂贯通畸形伴灰质异位.
作者: 借酒温书 时间: 2008-5-30 23:13
脑裂畸形
作者: 还珠格格 时间: 2008-5-30 23:33
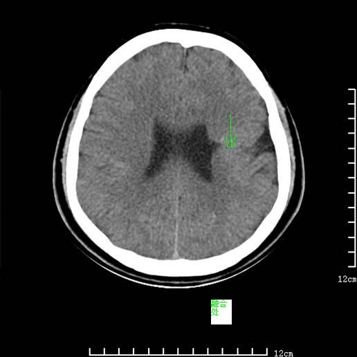
左侧大脑表面可见一裂隙延伸至侧脑室的室管膜下区,相应侧脑室外壁呈局限性峰状隆起,与裂隙相连,裂隙边缘可见密度较高的皮质结构 支持 考虑 脑裂畸形。
作者: 卜一 时间: 2008-5-31 00:01
脑裂贯通畸形!
作者: pujunzhi 时间: 2008-5-31 00:13
典型的脑裂畸形
作者: 王2008 时间: 2008-5-31 00:18
支持脑裂畸形。
作者: 随光逐影 时间: 2008-5-31 00:22
典型 脑裂畸形。
作者: haha215315 时间: 2008-5-31 00:32
脑裂畸形.
支持!
作者: 杀毒软件 时间: 2008-5-31 00:48
典型 ,谢分享
作者: 魏伟 时间: 2008-5-31 02:09
支持
作者: 358450m 时间: 2008-5-31 02:49
脑裂畸形
作者: qingjing 时间: 2008-5-31 04:09
左侧脑裂畸形
作者: xulianj 时间: 2008-5-31 04:11
脑裂畸形
作者: yangyudong333 时间: 2008-5-31 04:19
典型的脑裂畸形
作者: zhw974247 时间: 2008-5-31 04:24
左侧大脑表面可见一裂隙延伸至侧脑室的室管膜下区,相应侧脑室外壁呈局限性峰状隆起,与裂隙相连,裂隙边缘可见密度较高的皮质结构 支持 考虑 脑裂畸形。
作者: bailaode 时间: 2008-5-31 04:46
标题: 回复:ct13748:男,26岁,头部外伤。
融合型脑裂畸形:表现为横贯大脑半球的灰质密度影,其外端分离,并分别与两侧皮层灰质相延续,局部蛛网膜下腔扩大;内端抵达脑室壁,并有分离,局部侧脑室呈三角形扩大。


[本贴已被 bailaode 于 2008-5-30 20:51:10 修改过]
作者: zsl6918 时间: 2008-5-31 04:56
脑裂畸形
作者: jsgdoctor 时间: 2008-5-31 05:12
脑裂畸形
作者: 72xiang.zi 时间: 2008-5-31 05:46
脑裂畸形
作者: wxy7406 时间: 2008-5-31 05:50
脑裂贯通畸形伴灰质异位。
支持!
作者: zhuren 时间: 2008-5-31 06:13
标题: 回复:ct13748:男,26岁,头部外伤。
以下是引用pujunzhi在2008-5-30 16:13:00的发言:[br]典型的脑裂畸形
作者: hjk 时间: 2008-5-31 06:18
典型
作者: peijunlong 时间: 2008-5-31 06:35
脑裂贯通畸形伴灰质异位。
作者: gjj6818 时间: 2008-5-31 06:53
脑裂贯通畸形
作者: zjzjr 时间: 2008-5-31 17:39
典型脑裂畸形(开唇型)伴灰质移位.
作者: 拾荒者 时间: 2008-6-1 05:49
典型的左侧脑裂畸形。谢谢分享!
作者: dr.yang 时间: 2011-7-25 00:07
典型脑裂畸形(开唇型)伴灰质移位.
| 欢迎光临 医影在线 (http://bbs.radida.com/bbs/) |
Powered by Discuz! X3.2 |