






















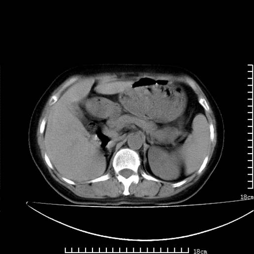
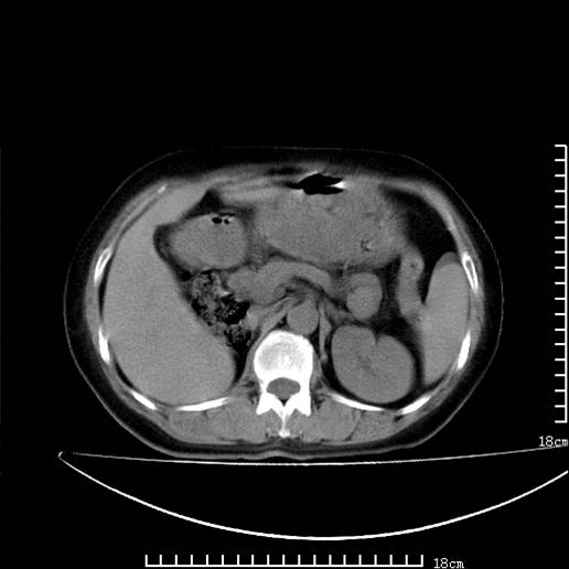
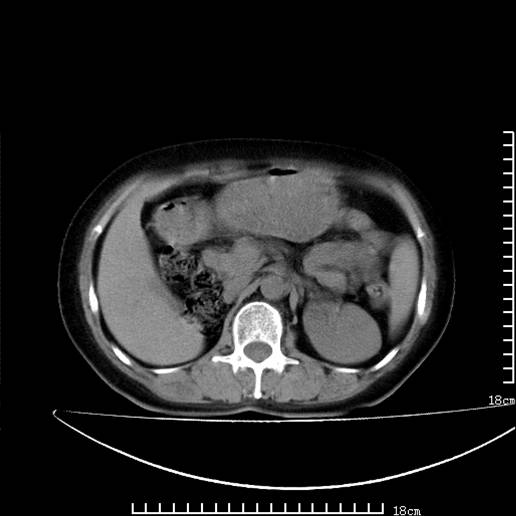
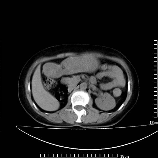
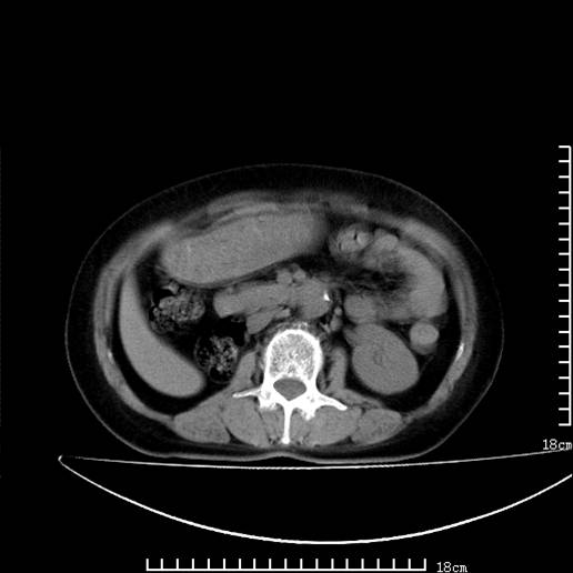
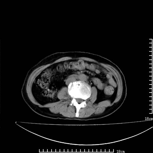
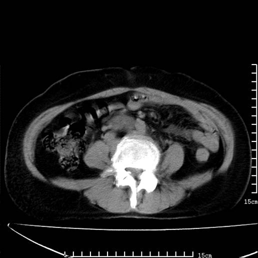
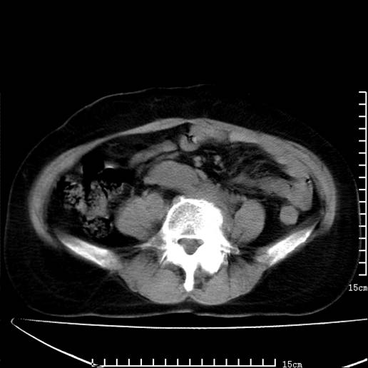
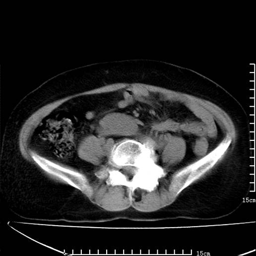
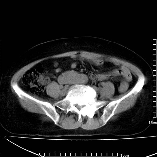
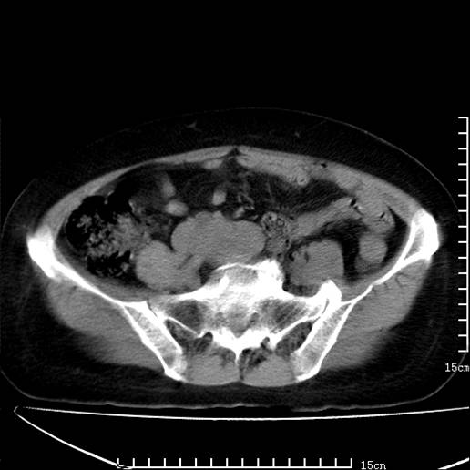
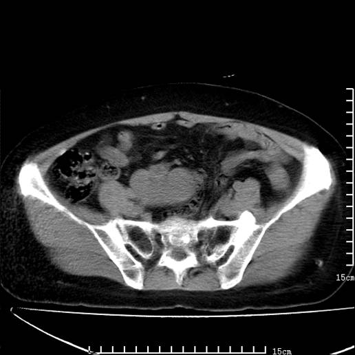
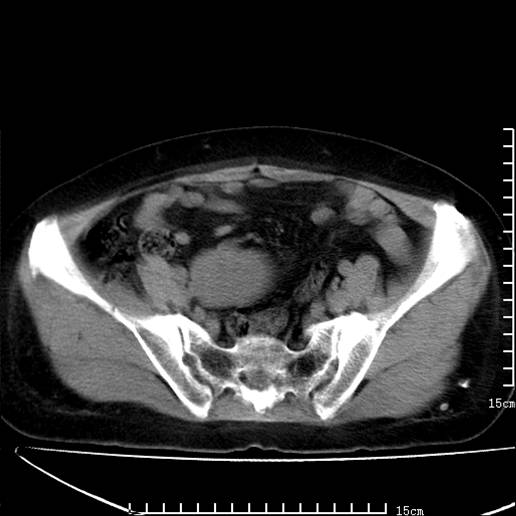
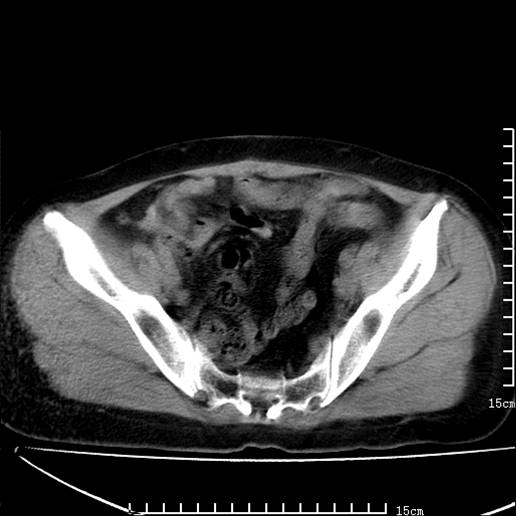
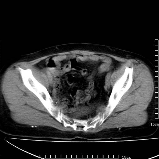
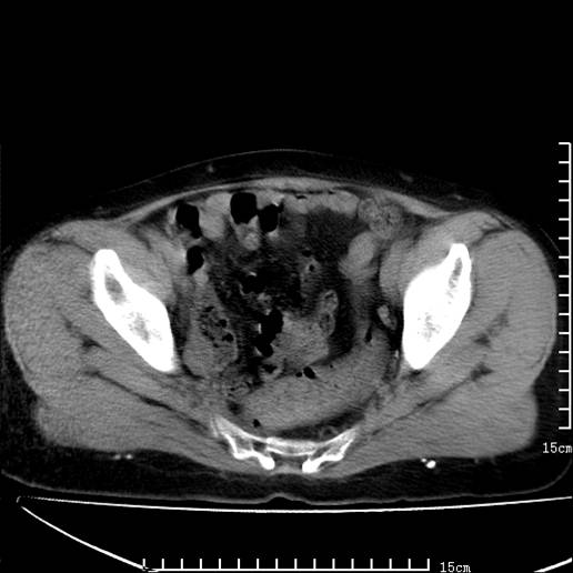
以下是引用pujunzhi在2008-5-30 15:31:00的发言:[br]异位肾—盆腔肾。当看到肾窝无肾脏时,要想到孤立肾和异位肾,异位肾最常见是盆腔肾,偶见胸腔,易误认为肺占位,只要想到就不会漏诊。建议增强扫描。
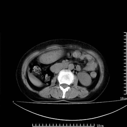
以下是引用haha215315在2008-5-30 16:39:00的发言:[br][br] [br] 异位肾—盆腔肾。当看到肾窝无肾脏时,要想到孤立肾和异位肾,异位肾最常见是盆腔肾,偶见胸腔,易误认为肺占位,只要想到就不会漏诊。建议增强扫描。 [br] [br]支持!
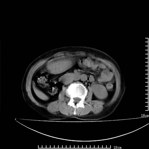
以下是引用pujunzhi在2008-5-30 15:31:00的发言:[br]异位肾—盆腔肾。当看到肾窝无肾脏时,要想到孤立肾和异位肾,异位肾最常见是盆腔肾,偶见胸腔,易误认为肺占位,只要想到就不会漏诊。建议增强扫描。
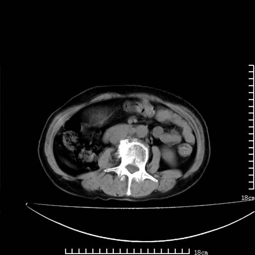
以下是引用pujunzhi在2008-5-30 15:31:00的发言:[br]异位肾—盆腔肾。当看到肾窝无肾脏时,要想到孤立肾和异位肾,异位肾最常见是盆腔肾,偶见胸腔,易误认为肺占位,只要想到就不会漏诊。建议增强扫描。
| 欢迎光临 医影在线 (http://bbs.radida.com/bbs/) | Powered by Discuz! X3.2 |