医影在线

标题: CT13768:少见病例,血管畸形。 [打印本页]

作者: XIANXIANZHONGYI    时间: 2008-6-1 02:32
标题: CT13768:少见病例,血管畸形。
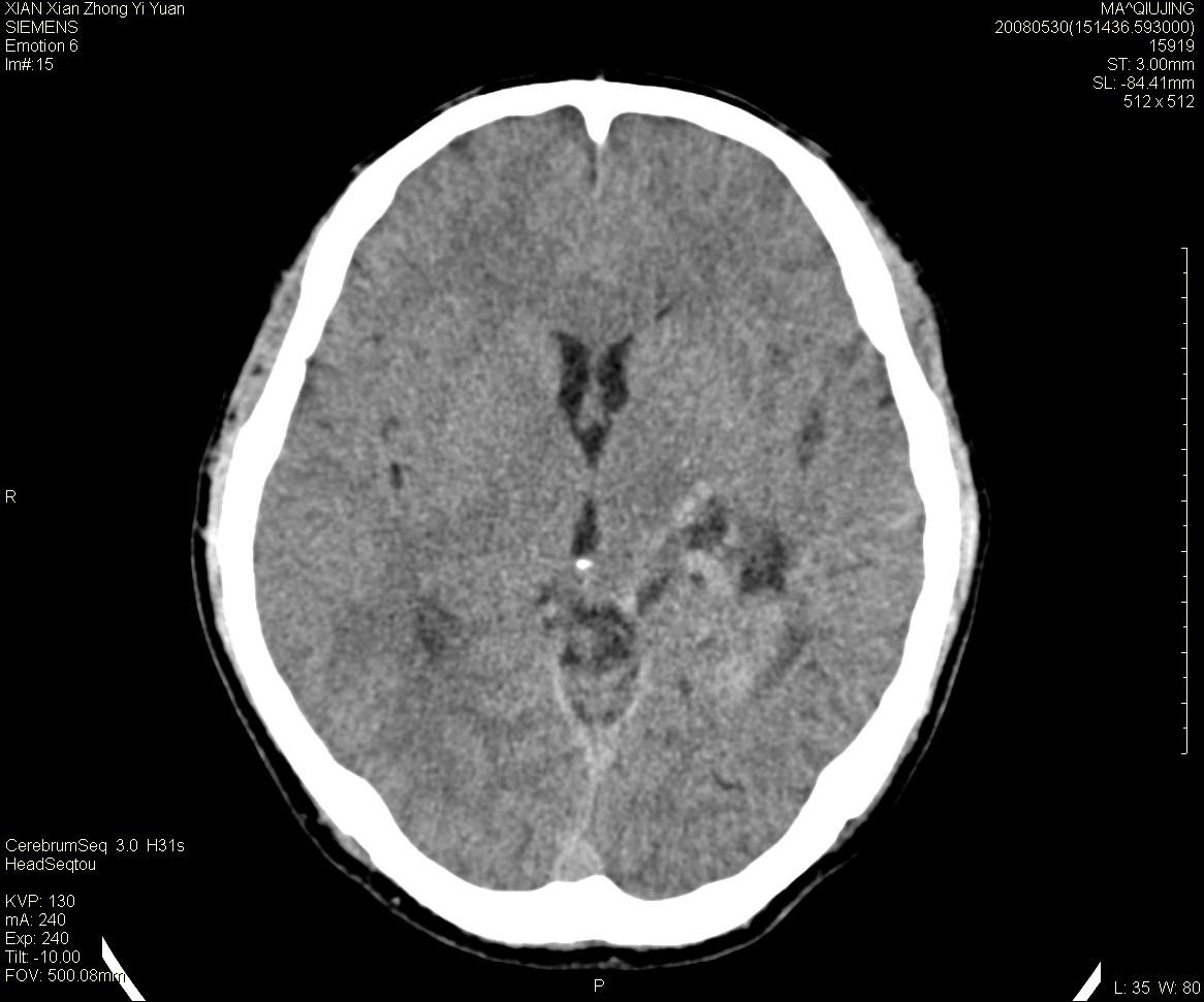
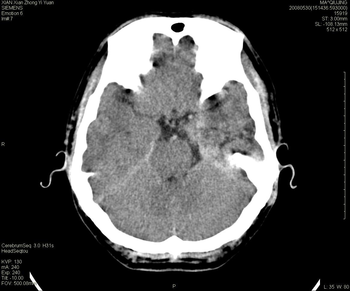
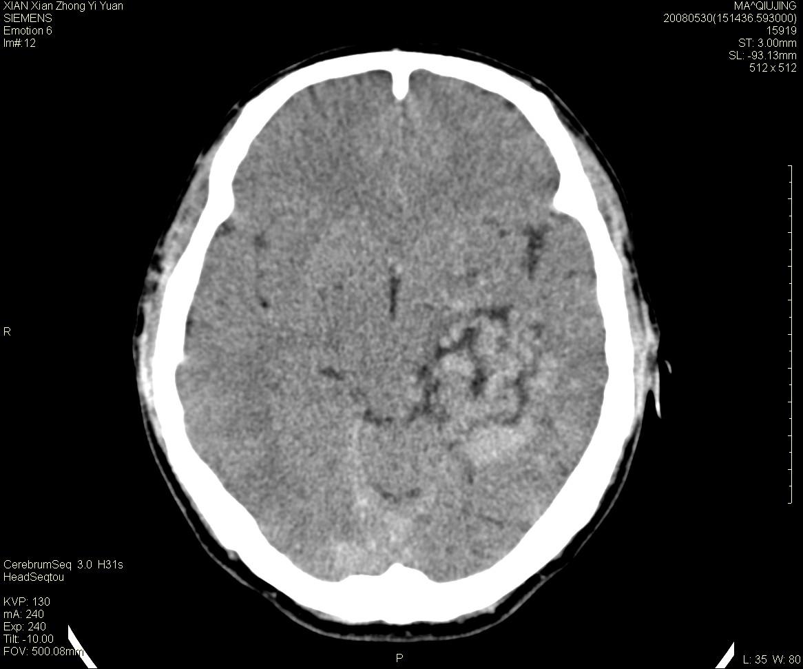
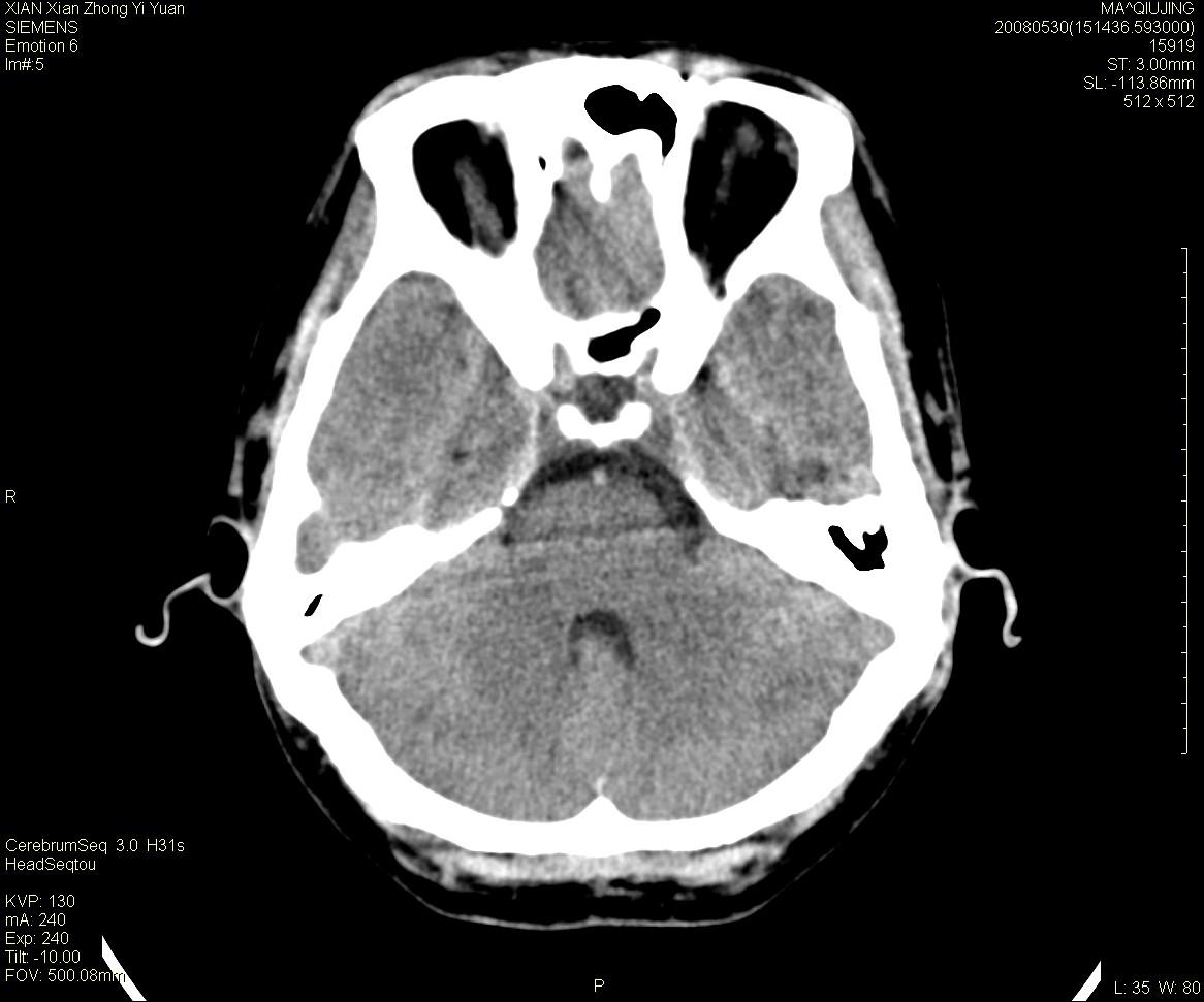
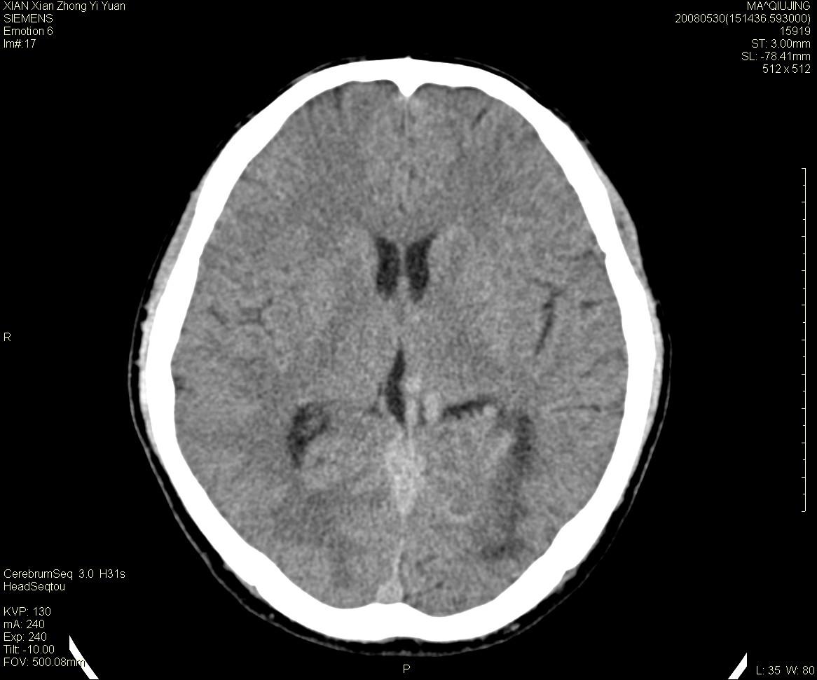
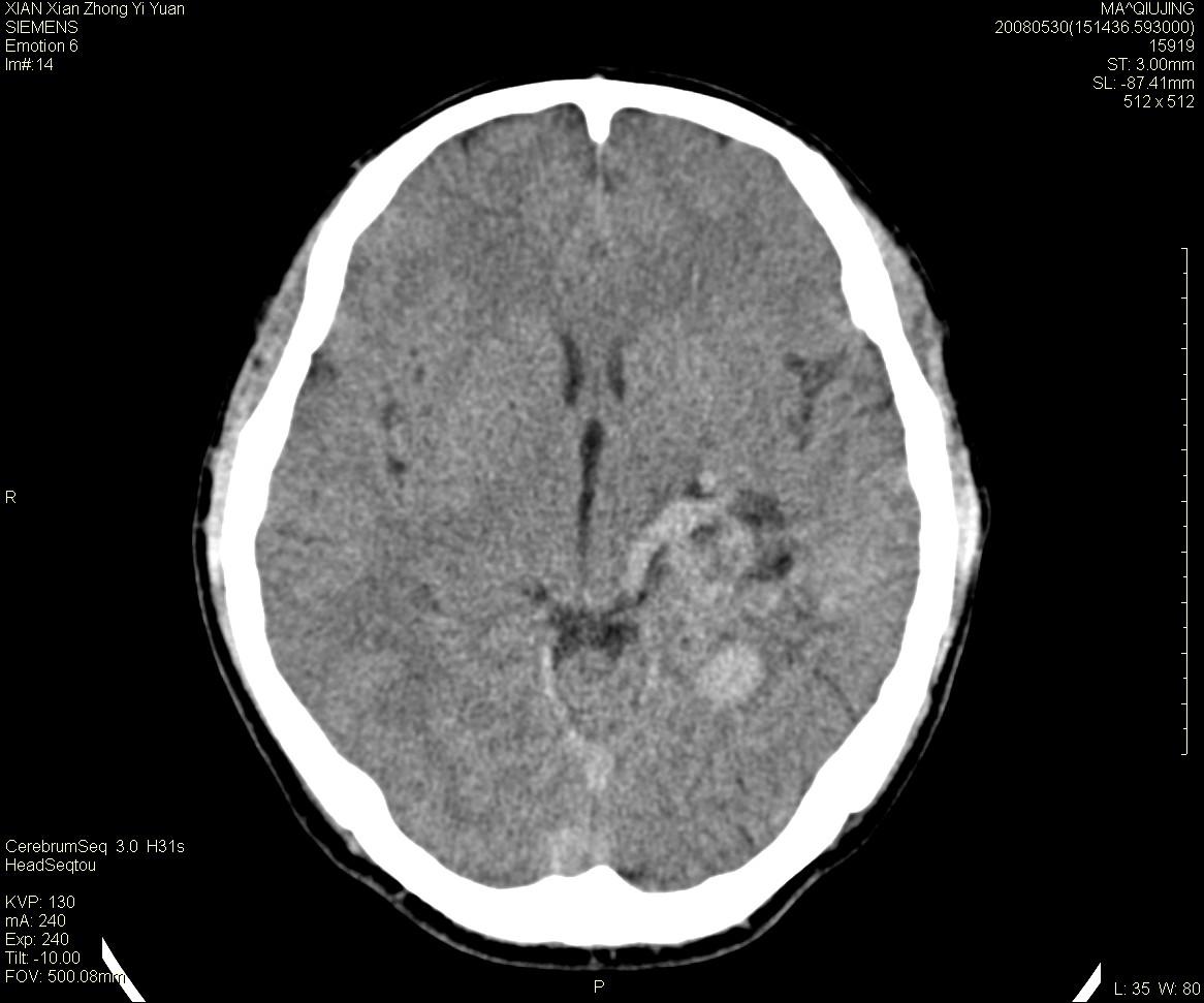
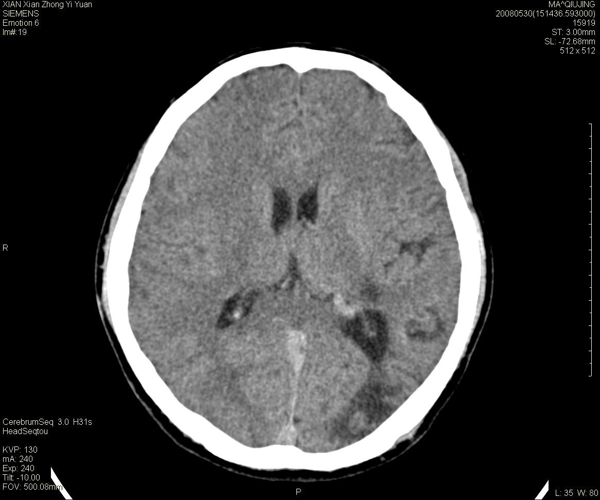
患者m47,头晕数年,没给强化,让做dsa去了。















[本贴已被 翁志蓬 于 2008-5-31 22:20:16 修改过]

作者: hjk    时间: 2008-6-1 02:37
支持
作者: 37度    时间: 2008-6-1 02:40
dsa结果呢?期待。
作者: XIANXIANZHONGYI    时间: 2008-6-1 03:17
呵呵,小医院dsa做不了,片子可能弄不到了。患者可能去海军总医院了。
作者: 光影相伴    时间: 2008-6-1 03:19
支持:脑血管畸形。
作者: wzr    时间: 2008-6-1 04:11
avm
作者: 杀毒软件    时间: 2008-6-1 04:19
期待结果
作者: 卜一    时间: 2008-6-1 04:24
支持:脑血管畸形。
作者: 358450m    时间: 2008-6-1 04:34
脑血管畸形。
作者: hongtao    时间: 2008-6-1 04:36
脑血管畸形。
作者: 王仕学    时间: 2008-6-1 04:47
支持:脑血管畸形。
作者: ydx_74    时间: 2008-6-1 04:52
第一感觉:avm,但其中更低密度区不清楚,好像有脂肪密度,胆脂瘤破裂?
作者: Little330    时间: 2008-6-1 04:58
avm,低密度区应该是以前出血过的液化灶
作者: mzh123    时间: 2008-6-1 05:01
标题: 回复:少见病例,血管畸形。
以下是引用光影相伴在2008-5-31 19:19:00的发言:[br]支持:脑血管畸形。

作者: LIAOQIANG    时间: 2008-6-1 05:01
支持:脑血管畸形。
作者: zsl6918    时间: 2008-6-1 05:05
符合脑血管畸形
作者: wqs571018    时间: 2008-6-1 05:14
avm可能,期待结果。
作者: zzzzffff    时间: 2008-6-1 05:16
典型病例
作者: 随光逐影    时间: 2008-6-1 05:24
脑血管畸形。
作者: 长城干红    时间: 2008-6-1 05:52
血管畸形,支持,如果增强扫描,则可见粗大,迂曲血管团。
作者: pujunzhi    时间: 2008-6-1 06:05
支持:脑血管畸形。
作者: jing    时间: 2008-6-1 06:09
脑血管畸形
作者: zhangnianqiu_20    时间: 2008-6-1 06:19
脑血管畸形。
作者: 宇宙CT    时间: 2008-6-1 07:08
支持:脑血管畸形。
作者: hexue    时间: 2008-6-1 08:04
期待结果
作者: yangyudong333    时间: 2008-6-1 14:21
期待结果
作者: jiangjing    时间: 2008-6-1 14:45
支持:脑血管畸形。
作者: xulianj    时间: 2008-6-1 17:44
avm支持
作者: zjzjr    时间: 2008-6-1 18:46
支持:脑血管畸形。
作者: 悬壶济世    时间: 2008-6-1 18:49
avm
作者: 影象小辈    时间: 2008-6-1 19:11
脑血管畸形。
作者: 胖姐    时间: 2008-6-1 21:02
期待结果
作者: panyishengct    时间: 2008-6-1 21:21
脑血管畸形。
作者: liuyue    时间: 2008-6-1 23:40
脑血管畸形。
作者: 拾荒者    时间: 2008-6-2 05:29
支持脑血管畸形,avm可能。
作者: ncx2008znz    时间: 2008-6-2 17:26
脑血管畸形可能性大 但应与血管肿瘤相鉴别
作者: dr.yang    时间: 2011-7-25 00:13
支持脑血管畸形,avm可能。




欢迎光临 医影在线 (http://bbs.radida.com/bbs/) Powered by Discuz! X3.2