










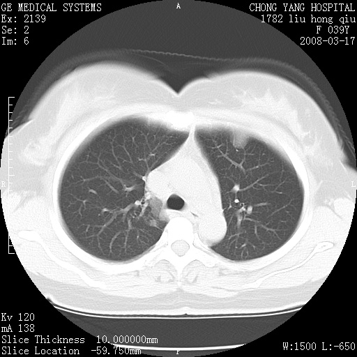
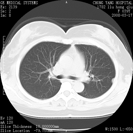
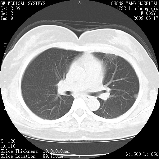
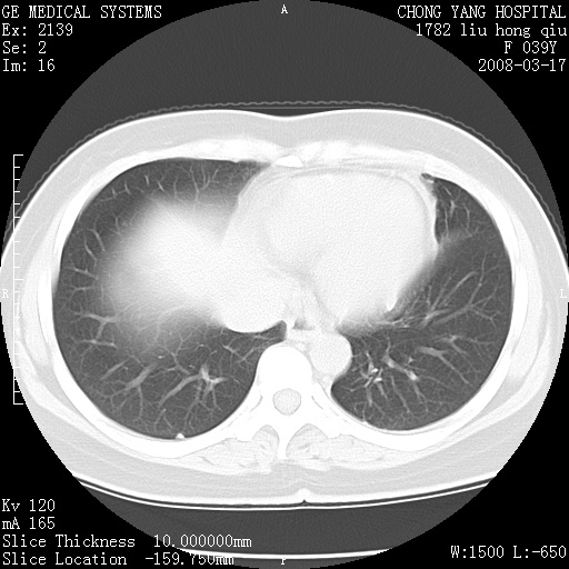
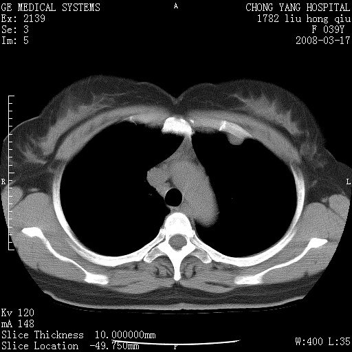
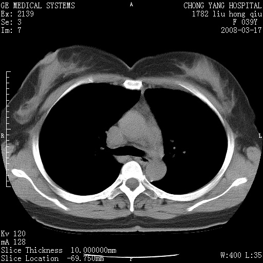
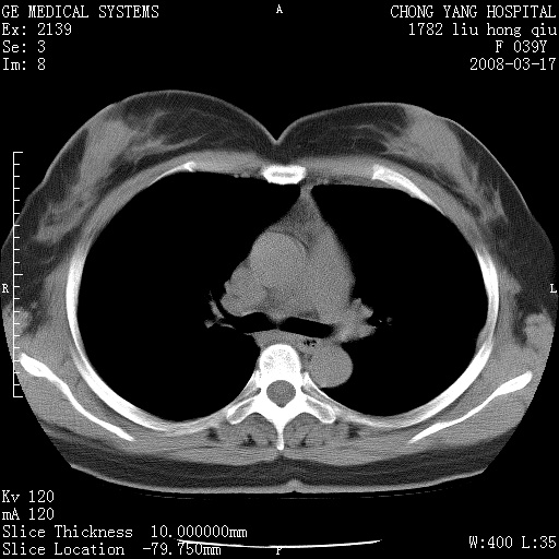
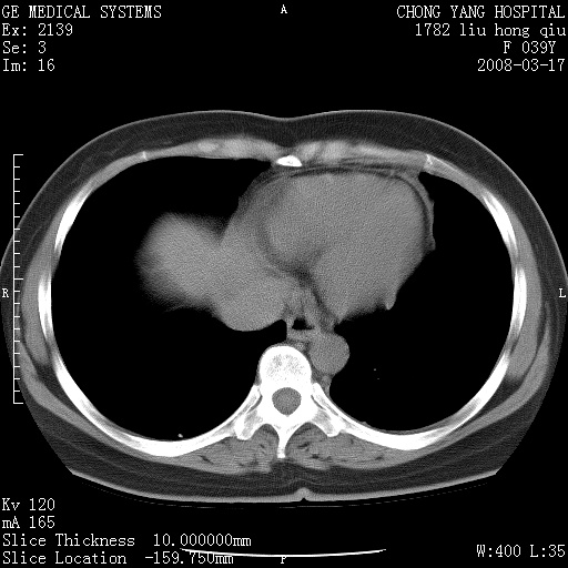
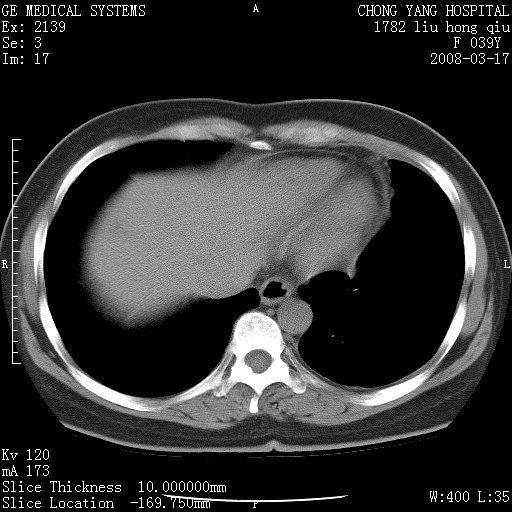
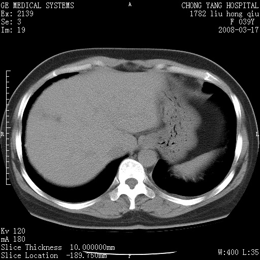
以下是引用yangxue121在2008-5-31 20:24:00的发言:[br]考虑多发胸膜间皮瘤[br]左侧少量胸腔积液[br]肝脏密度不均
以下是引用王仕学在2008-5-31 20:10:00的发言:[br]考虑胸膜间皮瘤。
以下是引用长城干红在2008-5-31 21:42:00的发言:[br]肝脏密度不均,建议增强扫描,胸膜下多发结节,考虑为胸膜来源的原发肿瘤或转移瘤。
以下是引用王仕学在2008-5-31 20:10:00的发言:[br]考虑胸膜间皮瘤。
| 欢迎光临 医影在线 (http://bbs.radida.com/bbs/) | Powered by Discuz! X3.2 |