






以下是引用liuyue在2008-6-1 18:06:00的发言:[br]1.肺动脉高压,2.腹水。[br]请结合b超。
以下是引用shuqiang1在2008-6-1 17:20:00的发言:[br]肺动脉高压!原因待查,做彩超!
以下是引用lvji在2008-6-1 17:31:00的发言:[br]肺动脉高压,腹水。
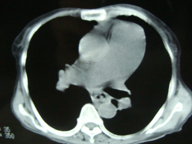
以下是引用老爱克斯新网客在2008-6-2 6:38:00的发言:[br]ct表现是肺动脉根部明显扩张,右心室增大,左房左室及右房都不大,因此可以除外风心。高血压心脏病。冠心病。定位片基本可以除外肺心病,(心肌病。心包积液更不可能)因此除外了后天性获得性心脏病。其表现也可以除外室缺。房缺。动脉导管未闭等常见的先心病。如果是原发性肺动脉高压除肺动脉根部扩张外双侧肺动脉尤其是右下肺动脉干应该也有扩张。因此我认为最大的可能是肺动脉瓣狭窄伴有窄后扩张,建议做一下彩超就知道了。期待结果。
以下是引用老爱克斯新网客在2008-6-2 6:38:00的发言:[br]ct表现是肺动脉根部明显扩张,右心室增大,左房左室及右房都不大,因此可以除外风心。高血压心脏病。冠心病。定位片基本可以除外肺心病,(心肌病。心包积液更不可能)因此除外了后天性获得性心脏病。其表现也可以除外室缺。房缺。动脉导管未闭等常见的先心病。如果是原发性肺动脉高压除肺动脉根部扩张外双侧肺动脉尤其是右下肺动脉干应该也有扩张。因此我认为最大的可能是肺动脉瓣狭窄伴有窄后扩张,建议做一下彩超就知道了。期待结果。
| 欢迎光临 医影在线 (http://bbs.radida.com/bbs/) | Powered by Discuz! X3.2 |