医影在线
标题: CT13789:F,25Y。术前胸部X线检查偶然发现两肺病变——请提 [打印本页]
作者: 随光逐影 时间: 2008-6-2 06:57
标题: CT13789:F,25Y。术前胸部X线检查偶然发现两肺病变——请提
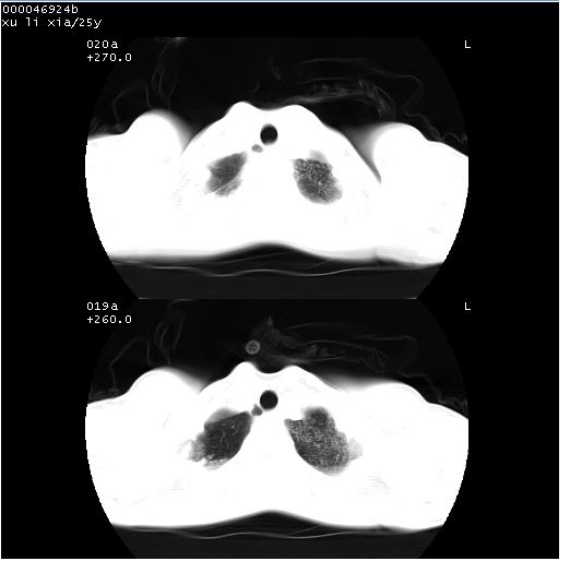
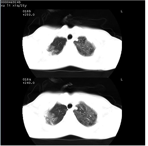
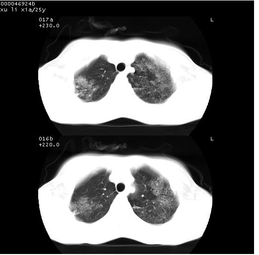
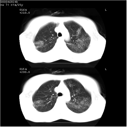
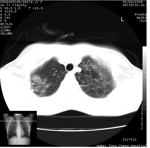
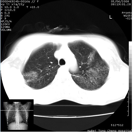
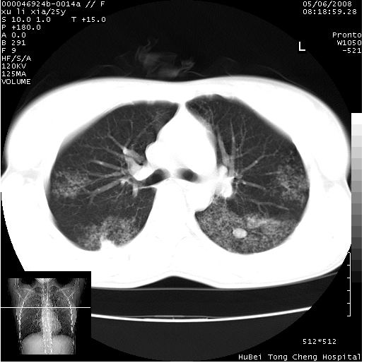
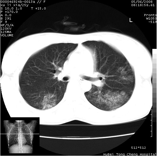
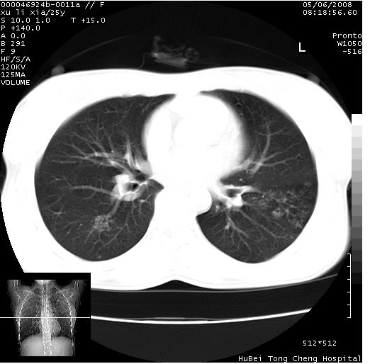
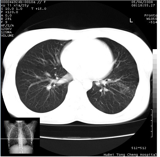
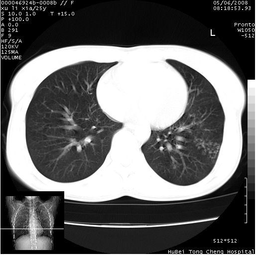
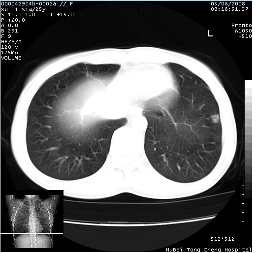
患者 女,25岁。因“左侧卵巢肿瘤”术前胸片偶然发现两肺病变。平素无明显不适,无呼吸系统症状及体征,无传染病史。
cr x线胸片提示:两肺感染性病变(结核可能性大)。
盆腔ct扫描(ps+ce)提示:左侧附件区畸胎瘤。
结核菌素试验:阴性。
临床诊断:1)左侧卵巢肿瘤。2)两肺感染性病变。
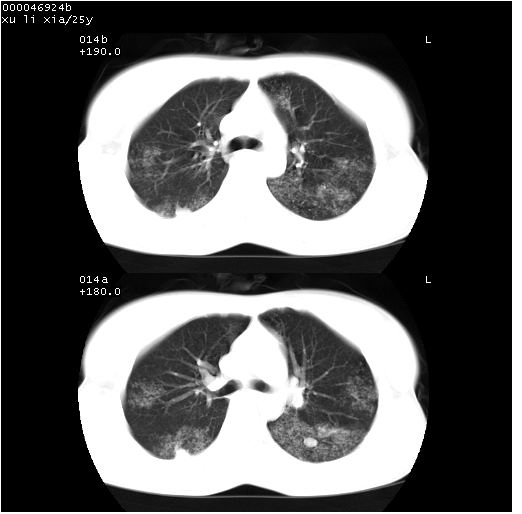
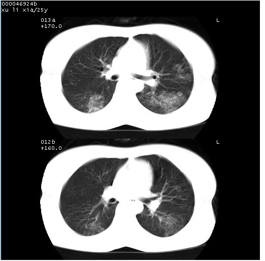
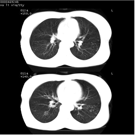
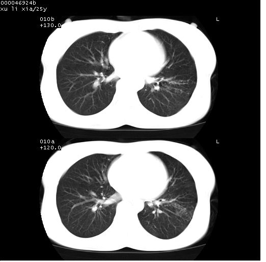
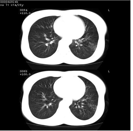
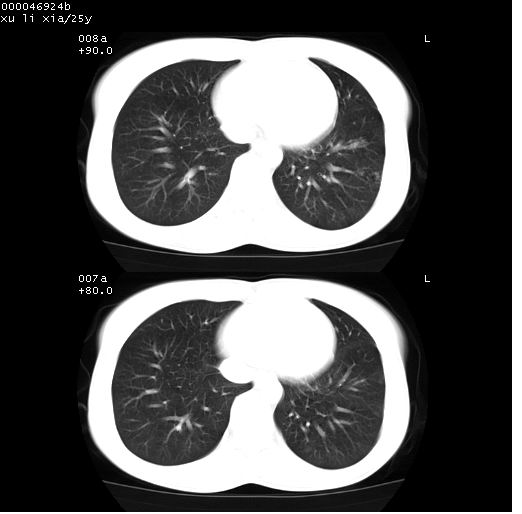
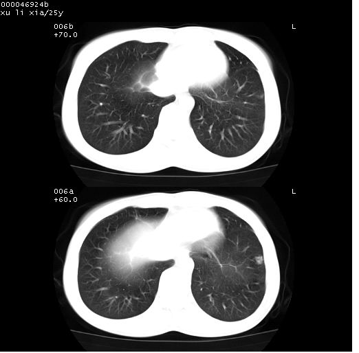
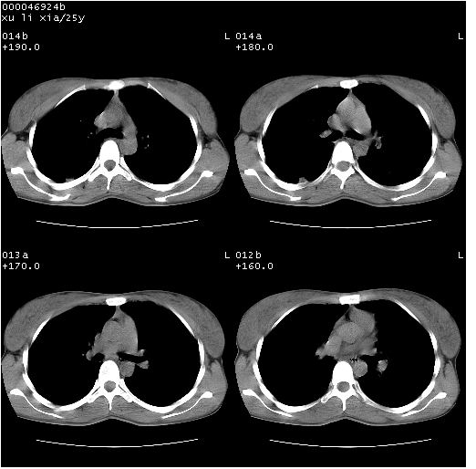
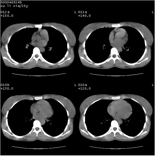
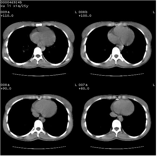
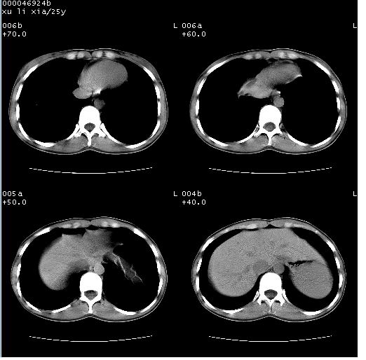
胸部ct轴位平扫(层厚10mm,螺距1.5,重建间隔10mm),图像如下:






























(注:上级医院会诊胸部ct片——考虑为肺部真菌感染。)
[本贴已被 jiajie 于 2008-6-2 6:29:35 修改过]
作者: panyishengct 时间: 2008-6-2 07:12
考虑感染性病变.
作者: 守望可可 时间: 2008-6-2 07:30
病灶呈地图样分布于肺外围,与正常组织分界清晰+弥漫性磨玻璃影中见小叶间隔增厚呈碎石路样表现+年轻女性,无明显临床症状=肺泡蛋白沉积症?
作者: hnyzdjb 时间: 2008-6-2 07:41
支持肺泡蛋白沉积症
作者: xxhwh 时间: 2008-6-2 07:53
影像表现比较像真菌感染,但临床不支持
病灶呈地图样分布于肺外围,与正常组织分界清晰+弥漫性磨玻璃影中见小叶间隔增厚呈碎石路样表现+年轻女性,无明显临床症状=肺泡蛋白沉积症?
守望可可西里兄分析的很好,支持!
作者: yangyudong333 时间: 2008-6-2 13:52
支持肺泡蛋白沉积症
作者: yuhongjun 时间: 2008-6-2 13:58
支持肺泡蛋白沉积症。
作者: zjb 时间: 2008-6-2 13:59
标题: 回复:f,25y。术前胸部x线检查偶然发现两肺病变——请提
以下是引用yangyudong333在2008-6-2 5:52:00的发言:[br]支持肺泡蛋白沉积症
支持
作者: 卜一 时间: 2008-6-2 14:42
双肺病灶以渗出影搀杂斑点状阴影为主,部分阴影融合成团片,并沿纹理明显见播散灶。支持楼主:两肺感染性病变(结核可能性大)!
作者: 358450m 时间: 2008-6-2 15:42
考虑感染性病变.
作者: qingjing 时间: 2008-6-2 15:54
双肺上叶可见节段性渗出性病变,可见树芽征像,左肺下叶背段可见结节影。
首先考虑结核,请结合痰检。
作者: clj20 时间: 2008-6-2 16:45
标题: 回复
1\\结核可能性大2\\与卵巢肿瘤有关疾病
[本贴已被 clj20 于 2008-6-2 8:50:00 修改过]
作者: 王仕学 时间: 2008-6-2 17:19
双肺病灶以渗出影搀杂斑点状阴影为主,部分阴影融合成团片,并沿纹理明显见播散灶。支持楼主:两肺感染性病变(结核可能性大)!
作者: peijunlong 时间: 2008-6-2 17:57
病灶呈离心性分布,以两上肺多见,远离肺血管纹理,有部分肺间质条索影,病人症状轻微,考虑结节病。
作者: 深泽交通 时间: 2008-6-2 18:36
平行于间质走行微结节影;拌钙化灶;分布通气好的肺野
作者: zjzjr 时间: 2008-6-2 19:07
支持肺泡蛋白沉积症
作者: xulianj 时间: 2008-6-3 04:44
支持肺泡蛋白沉积症。
作者: 拾荒者 时间: 2008-6-3 04:50
肺泡蛋白沉积症?过敏性肺炎?
作者: shuqiang1 时间: 2008-6-3 21:01
两肺小团状高回声不解!
| 欢迎光临 医影在线 (http://bbs.radida.com/bbs/) |
Powered by Discuz! X3.2 |