医影在线

标题: CT13794:M63Y,头颅CT平扫 [打印本页]

作者: muzi888    时间: 2008-6-2 19:49
标题: CT13794:M63Y,头颅CT平扫
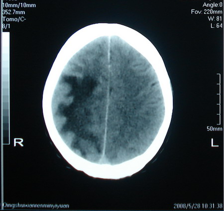
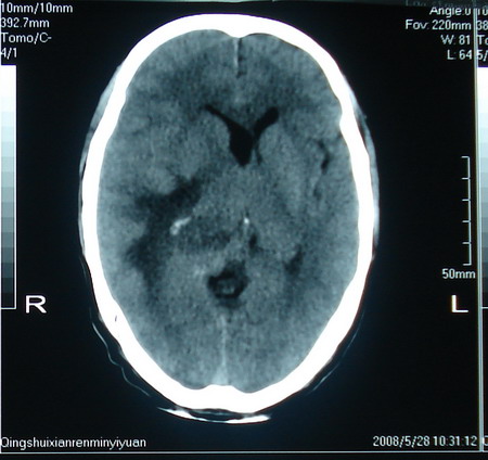
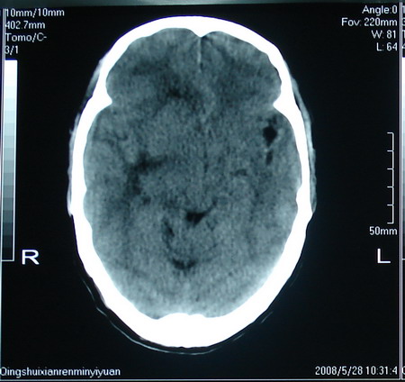
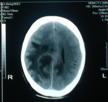
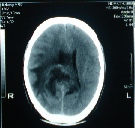
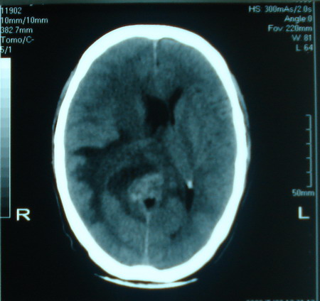
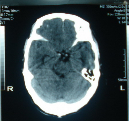
男,63岁,头痛,呕吐,意识模糊一周。无发烧及感染史。










[本贴已被 jiajie 于 2008-6-2 12:38:23 修改过]

作者: 前行    时间: 2008-6-2 20:21
脑膜瘤可能。建议增强或mr检查
作者: zjzjr    时间: 2008-6-2 20:45
支持占位性病变,建议增强.
作者: 358450m    时间: 2008-6-2 21:20
胶质瘤
作者: 深泽交通    时间: 2008-6-2 21:22
交质瘤可能;恶
作者: liuyue    时间: 2008-6-2 21:55
胶质瘤可能性大。
作者: 快乐流星    时间: 2008-6-2 22:16
支持恶性胶质瘤,增强
作者: mzh123    时间: 2008-6-2 22:22
标题: 回复:ct13794:m63y,头颅ct平扫
以下是引用liuyue在2008-6-2 13:55:00的发言:[br]胶质瘤可能性大。

作者: 王仕学    时间: 2008-6-2 22:52
占位性病变,建议增强.
作者: 影象小辈    时间: 2008-6-2 23:07
胶质母细胞瘤
作者: 老渔夫    时间: 2008-6-2 23:49
小肿瘤大水肿,考虑转移瘤
作者: 宇宙CT    时间: 2008-6-3 00:21
占位性病变,建议增强.
作者: 固体胶    时间: 2008-6-3 00:37
支持胶质瘤
作者: yangyudong333    时间: 2008-6-3 01:03
占位性病变,建议增强.
作者: xulianj    时间: 2008-6-3 03:54
支持胶质母细胞瘤可能;增强吧!
作者: 拾荒者    时间: 2008-6-3 06:02
胶质母细胞瘤可能,建议增强扫描。
作者: zhangling    时间: 2008-6-3 06:11
占位性病变,建议增强.
作者: guohengxin    时间: 2008-6-3 07:54
脑肿瘤 1 室管膜瘤 2 转移瘤
作者: 随光逐影    时间: 2008-6-3 16:07
考虑为:胶质瘤可能性大,不排除转移瘤。建议:行进一步检查。
作者: pujunzhi    时间: 2008-6-3 20:37
胶质瘤可能性大,建议增强扫描。
作者: 岚儿    时间: 2008-6-3 23:59
胶质瘤可能性大,建议增强扫描
作者: dyqct    时间: 2008-6-4 00:14
支持右侧丘脑恶性胶质母细胞瘤可能性大,建议增强进一步检查。




欢迎光临 医影在线 (http://bbs.radida.com/bbs/) Powered by Discuz! X3.2