医影在线

标题: CT13796:请会诊右上费病变! [打印本页]

作者: 岚儿    时间: 2008-6-2 20:06
标题: CT13796:请会诊右上费病变!
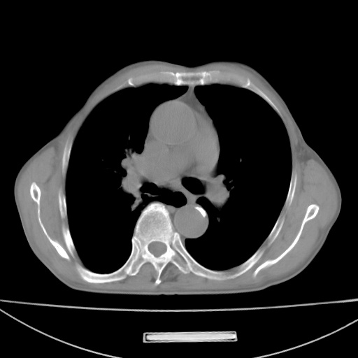
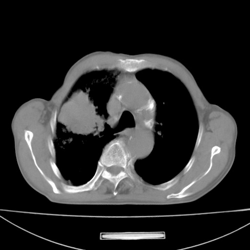
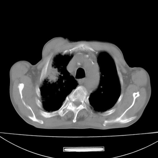
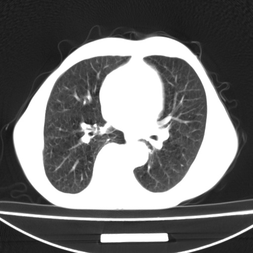
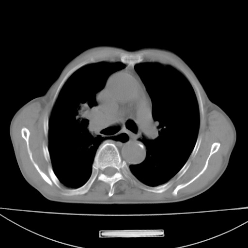
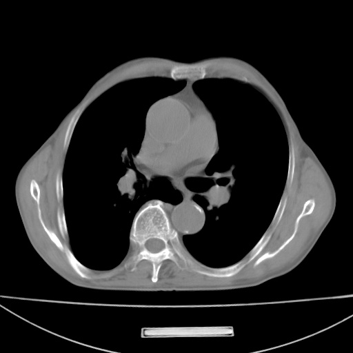
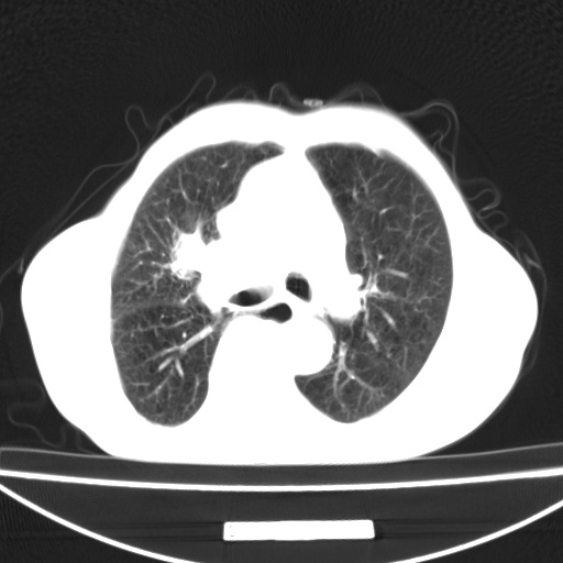
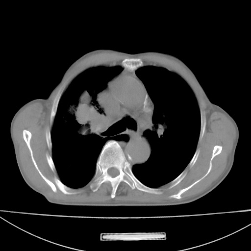
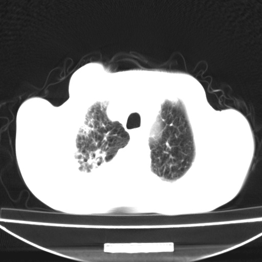
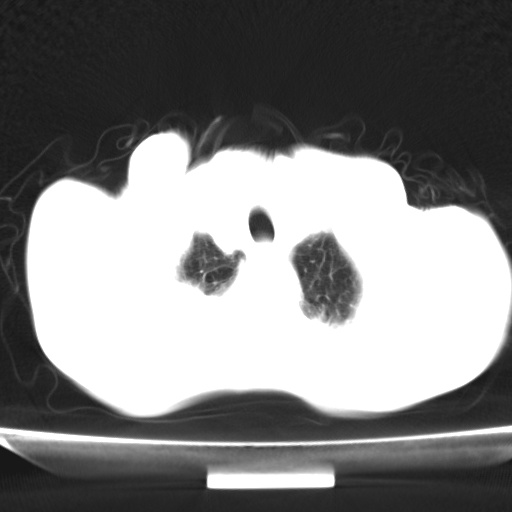
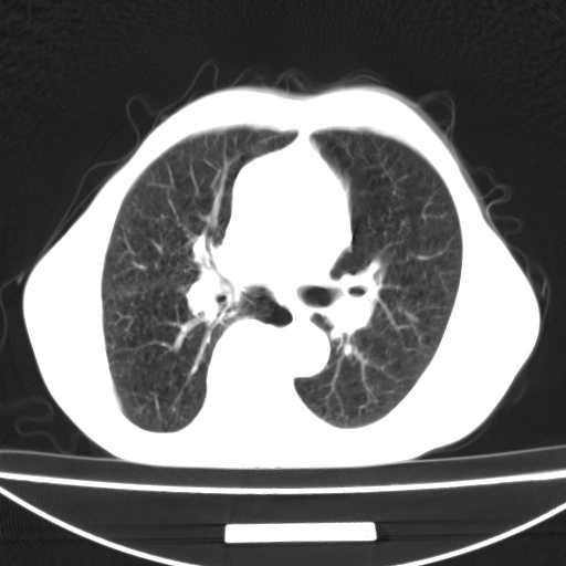
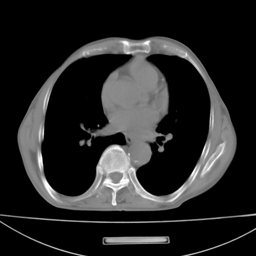
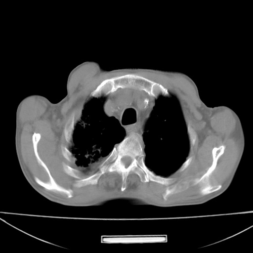
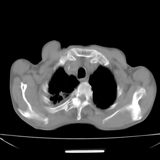
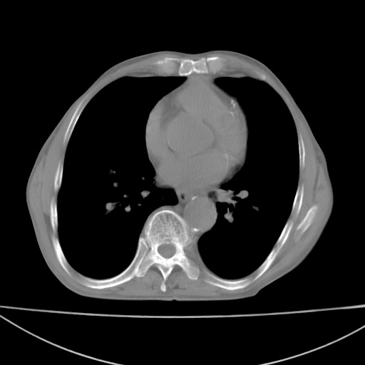
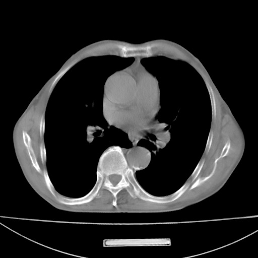
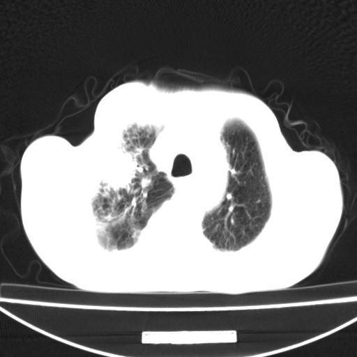
患者男80岁,反复咳嗽多年,咳喘伴咯血1月




























[本贴已被 jiajie 于 2008-6-2 12:50:48 修改过]

作者: zjzjr    时间: 2008-6-2 20:47
右上肺周围型肺癌伴肺门淋巴结转移.右上肺继发型肺结核.
作者: lrj    时间: 2008-6-2 21:04
肺结核造成的疤痕癌可能性大
作者: 358450m    时间: 2008-6-2 21:18
右上肺周围型肺癌伴肺门淋巴结转移
作者: 深泽交通    时间: 2008-6-2 21:20
标题: 回复:ct13796:请会诊右上费病变!
以下是引用zjzjr在2008-6-2 12:47:00的发言:[br]右上肺周围型肺癌伴肺门淋巴结转移.右上肺继发型肺结核.

作者: chiyulongniao    时间: 2008-6-2 21:27
右肺上叶占位性病变,考虑周围型肺癌,肺门淋巴结转移。要是能提供更多的临床资料就好了,以供鉴别诊断。
作者: liuyue    时间: 2008-6-2 21:34
右上肺周围型肺癌伴肺门淋巴结转移
作者: 快乐流星    时间: 2008-6-2 22:12
右肺尖周围型肺癌伴肺门淋巴结肿大
右肺尖结核
作者: 王仕学    时间: 2008-6-2 22:50
右肺上叶占位性病变,考虑周围型肺癌,肺门淋巴结转移。
右肺尖结核
作者: muzi888    时间: 2008-6-2 22:56
右肺上叶占位性病变,考虑周围型肺癌,肺门淋巴结转移。
右肺尖结核
作者: 卜一    时间: 2008-6-2 23:20
右上肺周围型肺癌伴肺门淋巴结转移。支持!另:右肺继发性肺结核!
作者: 宇宙CT    时间: 2008-6-3 00:14
右上肺周围型肺癌伴肺门淋巴结转移.右上肺继发型肺结核.
作者: yangyudong333    时间: 2008-6-3 01:02
右上肺周围型肺癌伴肺门淋巴结转移。支持!另:右肺继发性肺结核!
作者: ljchenshiying    时间: 2008-6-3 02:00
考虑周围型肺癌,肺门淋巴结转移.
作者: 求知若渴    时间: 2008-6-3 04:04
右上肺周围型肺癌伴肺门淋巴结转移
作者: xulianj    时间: 2008-6-3 04:47
右上肺周围型肺癌伴肺门、纵膈淋巴结转移
作者: 拾荒者    时间: 2008-6-3 06:19
右上肺周围型肺癌伴肺门淋巴结转移  。
作者: zhangling    时间: 2008-6-3 06:28
右上肺周围型肺癌伴肺门淋巴结转移
作者: zsl6918    时间: 2008-6-3 06:44
符合右肺癌表现
作者: 随光逐影    时间: 2008-6-3 16:27
考虑为:右肺上叶肺癌伴阻塞性肺炎、右肺门及纵膈淋巴结转移。
作者: shuqiang1    时间: 2008-6-3 20:13
支持大家右上肺周围型肺癌伴肺门淋巴结转移
作者: dyqct    时间: 2008-6-3 23:36
标题: 回复:ct13796:请会诊右上费病变!
以下是引用zjzjr在2008-6-2 12:47:00的发言:[br]右上肺周围型肺癌伴肺门淋巴结转移.右上肺继发型肺结核.

支持!
作者: realzyc    时间: 2008-6-3 23:46
右上肺结核合并右上肺癌,肺门淋巴结肿大




欢迎光临 医影在线 (http://bbs.radida.com/bbs/) Powered by Discuz! X3.2