医影在线

标题: CT13799:风心?肺动脉发育异常? [打印本页]

作者: LIAIZHI    时间: 2008-6-2 20:45
标题: CT13799:风心?肺动脉发育异常?
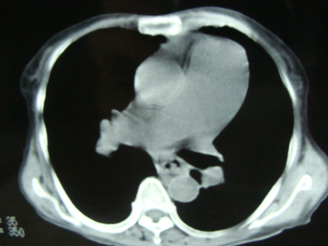
xxx女.72岁,胸闷不适,一侧下肢水肿.肺窗没见异常.不上传.








[本贴已被 jiajie 于 2008-6-2 13:07:46 修改过]

作者: 深泽交通    时间: 2008-6-2 21:13
肺动脉根部,右室增宽;肺门小;是什麽征象///
作者: 358450m    时间: 2008-6-2 21:28
右肺动肺截断.肺动肺脉高压
作者: mzh123    时间: 2008-6-2 22:19
标题: 回复:ct13799:风心?肺动脉发育异常?
以下是引用358450m在2008-6-2 13:28:00的发言:[br]右肺动肺截断.肺动肺脉高压

或动脉瘤
作者: 卜一    时间: 2008-6-2 23:12
不好说!还是结合彩超进一步确诊!另:腹腔积液—原因?
作者: clj20    时间: 2008-6-2 23:21
楼主是不是发过了:http://www.radida.com/radinet/read.php?tid=39992
作者: 宇宙CT    时间: 2008-6-3 00:17
右肺动肺截断.肺动肺脉高压
作者: 深泽交通    时间: 2008-6-3 01:44
请参考13783号第3页老爱克斯发言
作者: xulianj    时间: 2008-6-3 04:17
要结合其它影像学检查
作者: 拾荒者    时间: 2008-6-3 06:09
结合b超检查。
作者: zhangling    时间: 2008-6-3 06:20
我看食管下段管腔狭窄,壁明显厚,腹水,肝右叶低密度灶
食管癌?肝转移?腹水
建议食管镜检查
作者: zjzjr    时间: 2008-6-3 17:30
主肺动脉扩张,腹水.
作者: dyqct    时间: 2008-6-3 23:24
考虑:1、肺动脉高压(原因?);
      2、肝硬化伴腹水。
      3、心脏病变应有听诊,彩超检查。




欢迎光临 医影在线 (http://bbs.radida.com/bbs/) Powered by Discuz! X3.2