医影在线

标题: CT13801:腹部肾脏 [打印本页]

作者: xn2ylwg    时间: 2008-6-2 22:08
标题: CT13801:腹部肾脏
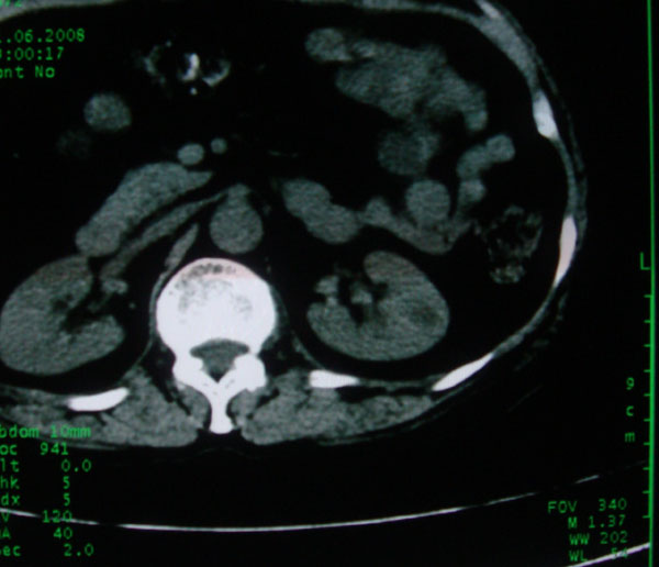
患者女性体查.发现左肾有低密度影,大家考虑是什么.其它方面没有什么异常.低密度影ct值约22hu.









[本贴已被 jiajie 于 2008-6-2 19:23:02 修改过]

作者: 358450m    时间: 2008-6-2 22:17
左肾囊肿
作者: xulianj    时间: 2008-6-3 03:43
不感乱下结论,建议增强。
作者: 拾荒者    时间: 2008-6-3 05:46
左肾低密度影,境界尚清,查体发现,临床无其他首先考虑肾囊肿,如果增强一下对鉴别有帮助。
作者: panyishengct    时间: 2008-6-3 05:57
左肾低密度影,境界尚清,查体发现,临床无其他首先考虑肾囊肿,如果增强一下对鉴别有帮助。
作者: zhangling    时间: 2008-6-3 06:48
肾囊肿可能
作者: 守望可可    时间: 2008-6-3 07:04
  左肾不均匀低密度,其形态不规则、边界不清楚,更谈不上锐利。虽无局部凸出,但最后一张片显示仍有比较明显的隆起,我多考虑为肾癌,建议增强或mri检查。
作者: guohengxin    时间: 2008-6-3 07:50
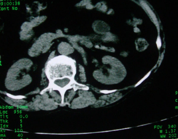
上传增强ct
作者: 随光逐影    时间: 2008-6-3 16:29
左肾肾实质内低密度灶,性质待定。建议:行进一步检查。
作者: zjzjr    时间: 2008-6-3 17:25
左肾低密度影,境界尚清,查体发现,临床无其他首先考虑肾囊肿,如果增强一下对鉴别有帮助。
作者: dyqct    时间: 2008-6-3 23:15
标题: 回复:ct13801:腹部肾脏
以下是引用panyishengct在2008-6-2 21:57:00的发言:[br]左肾低密度影,境界尚清,查体发现,临床无其他首先考虑肾囊肿,如果增强一下对鉴别有帮助。  [br]   [br]

支持!




欢迎光临 医影在线 (http://bbs.radida.com/bbs/) Powered by Discuz! X3.2