医影在线
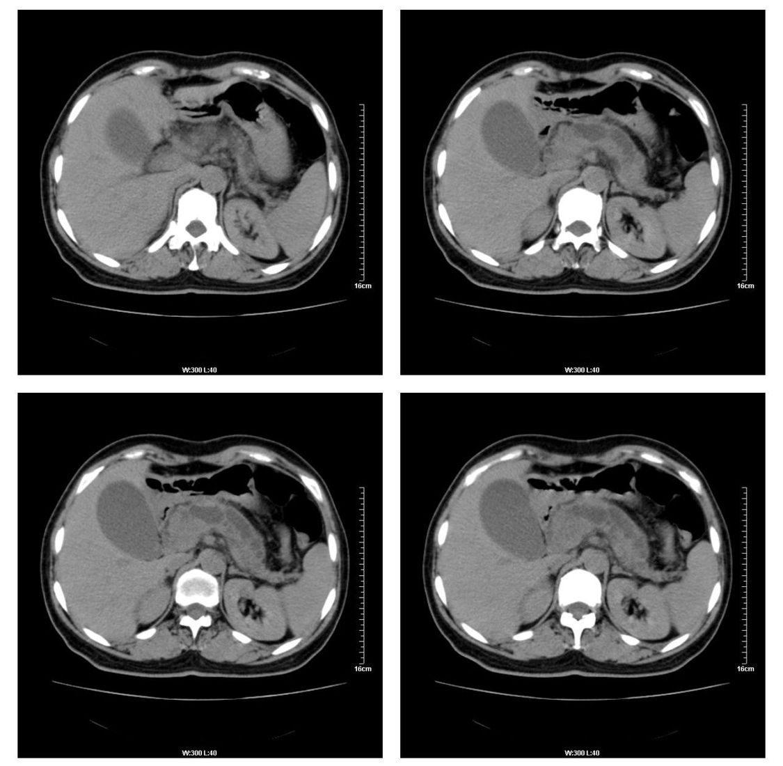
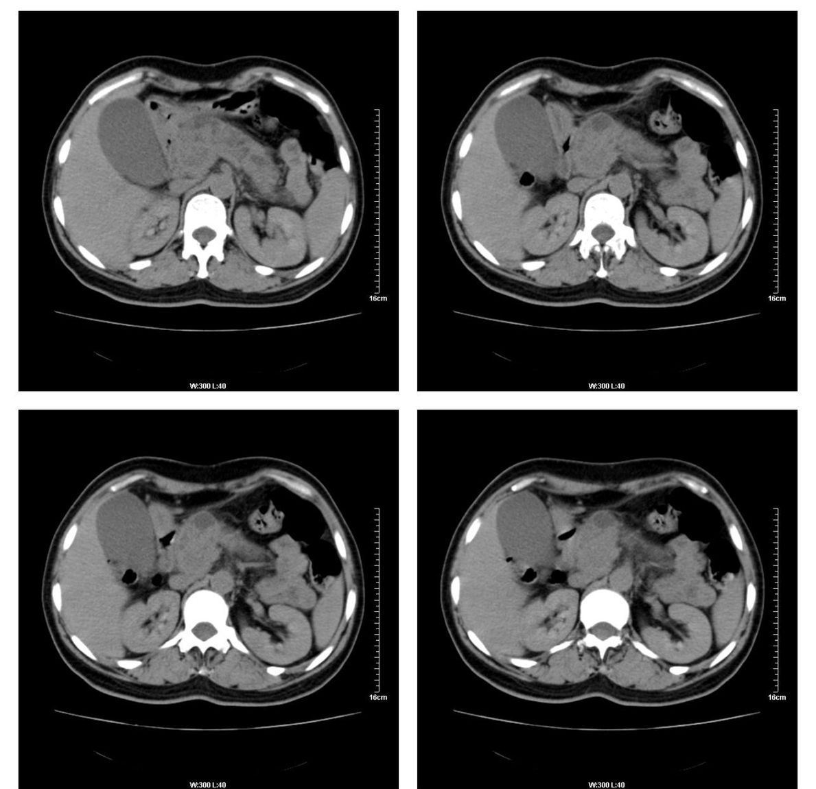
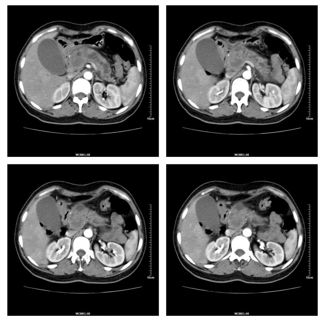
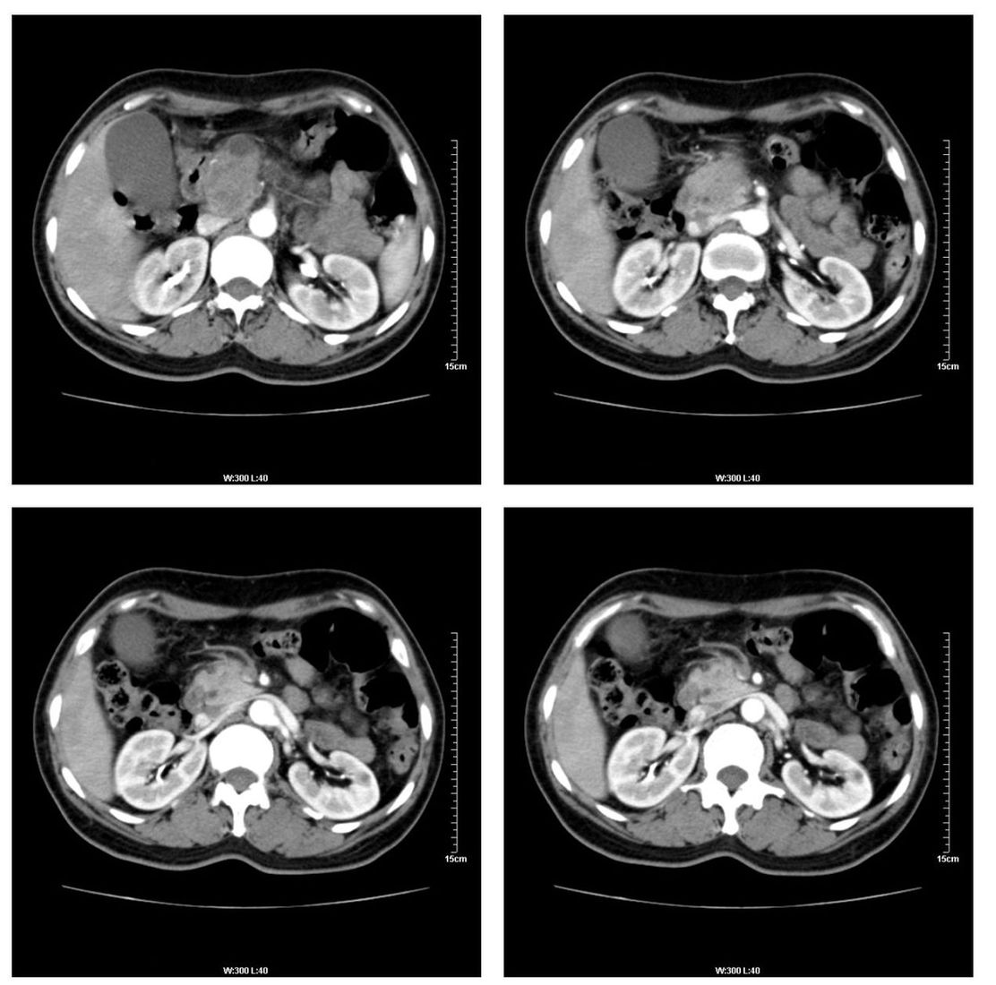
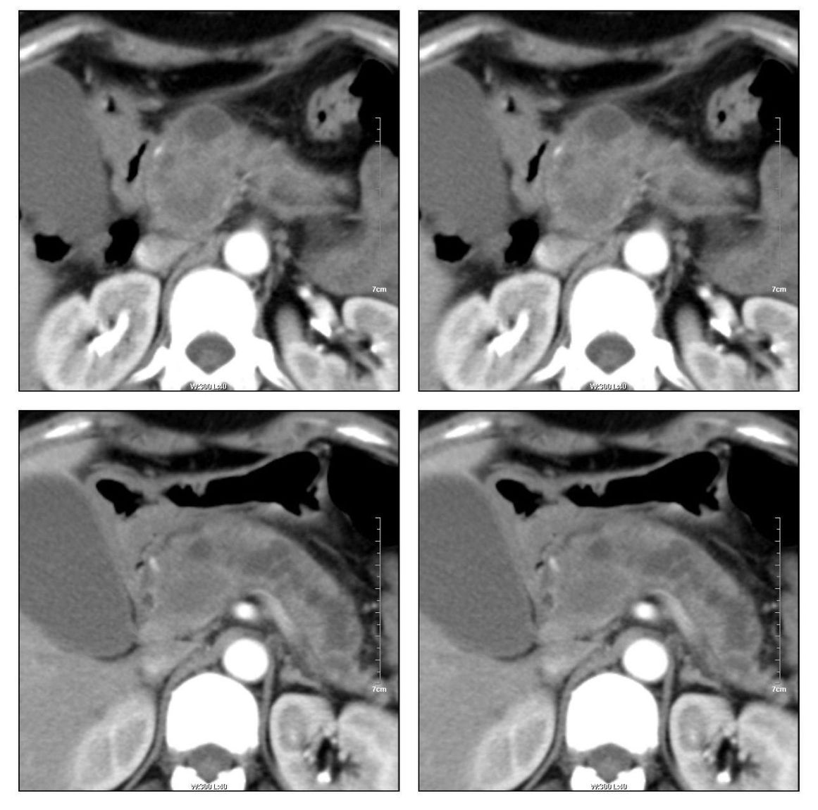
标题: CT13800:女性,52岁。腹痛、腹胀、消瘦及乏力5个月。 [打印本页]
作者: fanshl 时间: 2008-6-3 01:29
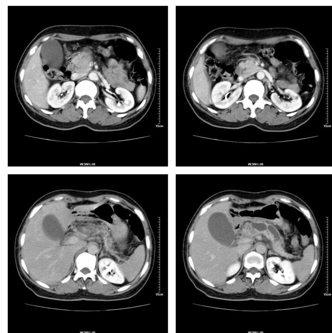
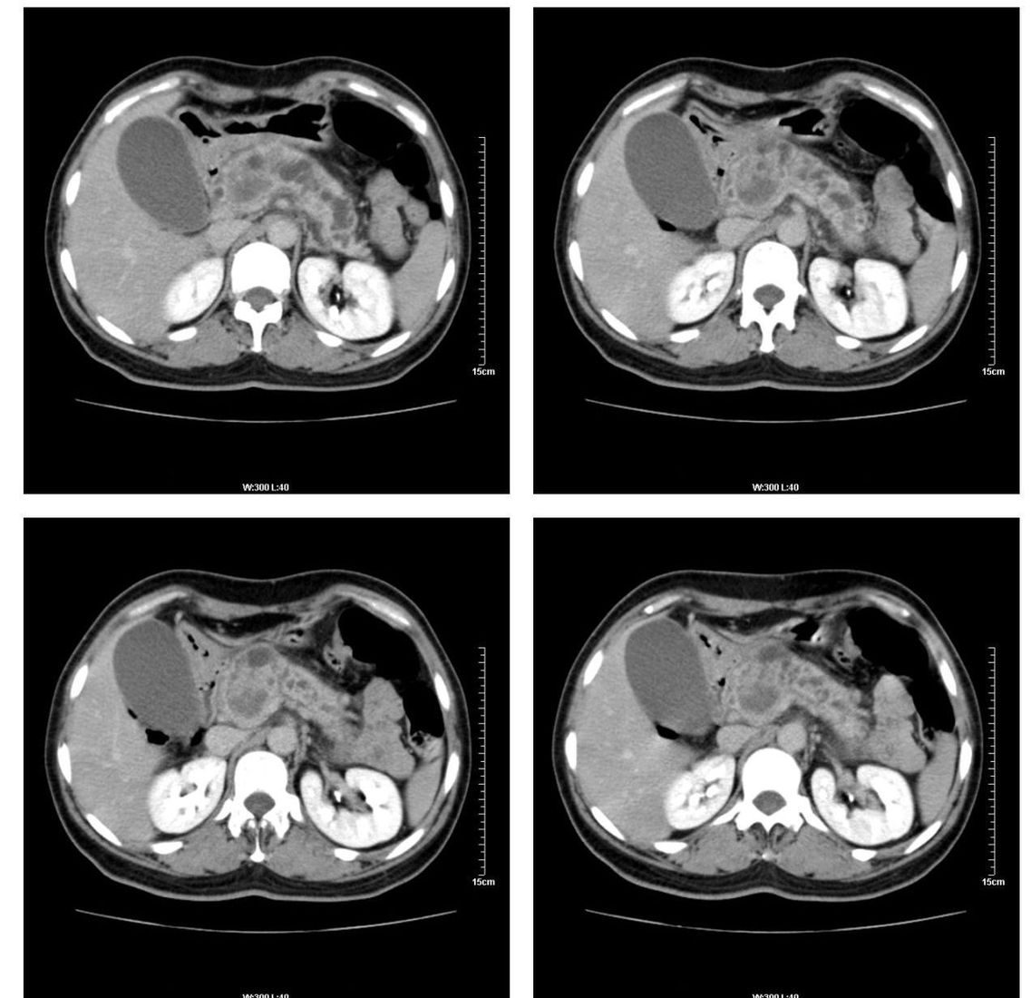
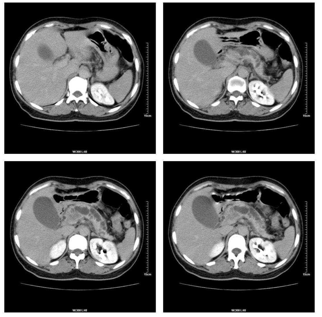
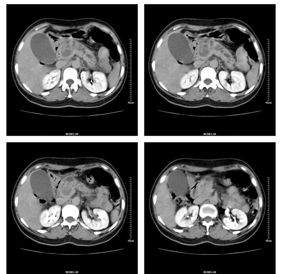
标题: CT13800:女性,52岁。腹痛、腹胀、消瘦及乏力5个月。















[本贴已被 jiajie 于 2008-6-2 19:20:06 修改过]
作者: 李衡钧 时间: 2008-6-3 01:42
考虑慢性胰腺炎
作者: 358450m 时间: 2008-6-3 02:04
考虑慢性胰腺炎
作者: 前行 时间: 2008-6-3 02:08
建议mr检查
作者: 希望 时间: 2008-6-3 02:59
考虑慢性胰腺炎
作者: zhangling 时间: 2008-6-3 03:25
考虑慢性胰腺炎
作者: 张嘉航 时间: 2008-6-3 03:29
考虑胰腺导管内乳头状黏液肿瘤.建议mri
作者: mzh123 时间: 2008-6-3 03:31
考虑慢性胰腺炎,不除外胰腺占位
作者: 王仕学 时间: 2008-6-3 04:16
考虑慢性胰腺炎,不除外胰腺占位
作者: chry3 时间: 2008-6-3 04:43
慢性胰腺炎、胰腺假囊肿形成,胆总管梗阻,胆囊扩张
作者: xulianj 时间: 2008-6-3 05:05
标题: ct13800
胰腺癌可能大
[本贴已被 xulianj 于 2008-6-2 21:18:34 修改过]
作者: zhw974247 时间: 2008-6-3 05:05
慢性胰腺炎、胰腺假囊肿形成。
作者: jsgdoctor 时间: 2008-6-3 05:14
考虑胰头癌
作者: 不学无术 时间: 2008-6-3 05:24
慢性胰腺炎、胰腺假囊肿形成,胆总管梗阻,胆囊扩张,不除外胰腺占位
作者: fanjhua 时间: 2008-6-3 05:45
考虑慢性胰腺炎、胰腺假囊肿形成。
作者: whzht 时间: 2008-6-3 05:55
考虑胰腺囊腺癌。
作者: 拾荒者 时间: 2008-6-3 06:06
标题: 回复:ct13800:女性,52岁。腹痛、腹胀、消瘦及乏力5个月。
以下是引用张嘉航在2008-6-2 19:29:00的发言:[br]考虑胰腺导管内乳头状黏液肿瘤.建议mri
支持!
作者: 杀毒软件 时间: 2008-6-3 07:10
标题: 回复:ct13800:女性,52岁。腹痛、腹胀、消瘦及乏力5个月。
以下是引用张嘉航在2008-6-2 19:29:00的发言:[br]考虑胰腺导管内乳头状黏液肿瘤.建议mri
支持
作者: 随光逐影 时间: 2008-6-3 16:38
考虑胰头癌可能。
作者: zjzjr 时间: 2008-6-3 17:28
考虑胰头癌可能。
作者: pujunzhi 时间: 2008-6-3 20:42
考虑胰头癌可能性大。
作者: dyqct 时间: 2008-6-3 23:21
标题: 回复:ct13800:女性,52岁。腹痛、腹胀、消瘦及乏力5个月。
以下是引用zjzjr在2008-6-3 9:28:00的发言:[br]考虑胰头癌可能。
各期时间抓的不太好,门静脉始终显示不佳(门脉瘤栓形成?)。
作者: 岚儿 时间: 2008-6-3 23:31
慢性胰腺炎、胰腺假囊肿形成,胆囊扩张.
| 欢迎光临 医影在线 (http://bbs.radida.com/bbs/) |
Powered by Discuz! X3.2 |