医影在线
标题: CT13803:反复性鼻塞、流涕一年余 [打印本页]
作者: 刘阿赵 时间: 2008-6-3 02:42
标题: CT13803:反复性鼻塞、流涕一年余



























































[本贴已被 刘阿赵 于 2008-6-2 18:48:58 修改过]
[本贴已被 jiajie 于 2008-6-2 19:27:37 修改过]
作者: 齐原 时间: 2008-6-3 03:02
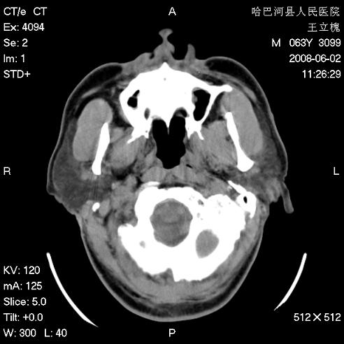
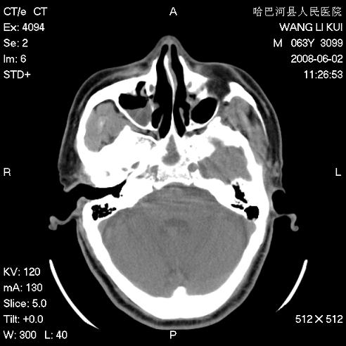
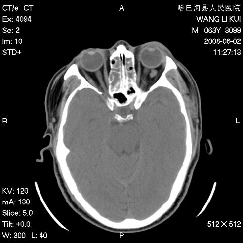
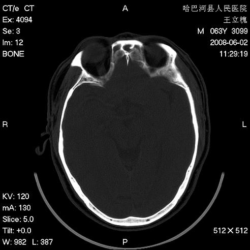
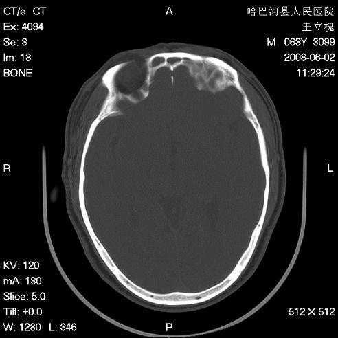
副鼻窦炎,右上额窦积脓。左眼肌锥内见致密影,视神經受压
作者: 沉默是金 时间: 2008-6-3 03:02
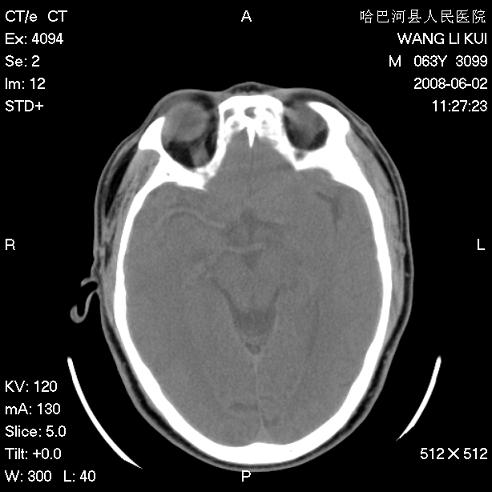
1.全组副鼻窦炎2.双侧上颌窦积液
作者: 前行 时间: 2008-6-3 03:07
全组副鼻窦炎
作者: mzh123 时间: 2008-6-3 03:26
标题: 回复:反复性鼻塞、流涕一年余
以下是引用前行在2008-6-2 19:07:00的发言:[br]全组副鼻窦炎[br]
作者: 358450m 时间: 2008-6-3 03:26
全组副鼻窦炎
作者: 岚儿 时间: 2008-6-3 03:36
标题: 回复:ct13803:反复性鼻塞、流涕一年余
以下是引用前行在2008-6-2 19:07:00的发言:[br]全组副鼻窦炎[br]
作者: 沙漠骆驼 时间: 2008-6-3 03:38
、 全组副鼻窦炎 , 支持。
作者: 求知若渴 时间: 2008-6-3 04:27
全组副鼻窦炎
作者: chry3 时间: 2008-6-3 04:31
全组副鼻窦炎
作者: panyishengct 时间: 2008-6-3 04:35
全组副鼻窦炎
作者: xulianj 时间: 2008-6-3 05:01
.全组副鼻窦炎
作者: zhw974247 时间: 2008-6-3 05:10
全组副鼻窦炎。
作者: 欧阳双全 时间: 2008-6-3 05:15
全组副鼻窦炎
作者: lrj 时间: 2008-6-3 05:20
全组副鼻窦炎
作者: hongtao 时间: 2008-6-3 05:20
1.全组副鼻窦炎2.双侧上颌窦积液
作者: fanjhua 时间: 2008-6-3 05:43
全组副鼻窦炎
作者: 天南地北 时间: 2008-6-3 05:43
标题: 回复:ct13803:反复性鼻塞、流涕一年余

作者: 不学无术 时间: 2008-6-3 05:51
全组副鼻窦炎 肌锥内高密度灶。建议进一步检察检查
作者: 王仕学 时间: 2008-6-3 05:56
1、全组副鼻窦炎。
2、左眼眶肌锥内病变,小血管瘤?建议增强。
作者: 影像孺子牛 时间: 2008-6-3 06:22
支持 全组副鼻窦炎。
作者: 宇宙CT 时间: 2008-6-3 06:34
.全组副鼻窦炎2.双侧上颌窦积液
作者: zsl6918 时间: 2008-6-3 06:37
支持副鼻窦炎
作者: 杀毒软件 时间: 2008-6-3 06:58
1、全组副鼻窦炎。
2、左眼眶肌锥内病变,建议增强
作者: yangyudong333 时间: 2008-6-3 14:12
1、全组副鼻窦炎。
2、左眼眶肌锥内病变,建议增强
作者: 卜一 时间: 2008-6-3 14:22
1、全组副鼻窦炎。
2、左眼眶肌锥内病变,小血管瘤?建议增强。支持!
作者: 随光逐影 时间: 2008-6-3 16:17
1)全副鼻窦炎(左侧上颌窦黏膜下囊肿或息肉)。2)左眼眶肌锥内不规则小结节状软组织密度影;考虑为小血管瘤可能。建议行ct增强扫描检查。
作者: 深泽交通 时间: 2008-6-3 17:08
标题: 回复:ct13803:反复性鼻塞、流涕一年余
以下是引用chry3在2008-6-2 20:31:00的发言:[br]全组副鼻窦炎
作者: zjzjr 时间: 2008-6-3 17:17
全组副鼻窦炎
作者: dyqct 时间: 2008-6-3 18:43
标题: 回复:ct13803:反复性鼻塞、流涕一年余
以下是引用王仕学在2008-6-2 21:56:00的发言:[br]1、全组副鼻窦炎。[br]2、左眼眶肌锥内病变,小血管瘤?建议增强。
支持!
作者: 拾荒者 时间: 2008-6-4 04:37
全组副鼻窦炎,左侧肌锥内不规则形软组织肿块影,与眼外肌密度相当,左侧视神经受压,肿块与视神经及眼外肌分界清晰,眼外肌无增粗,眶壁无破坏,球后脂肪间隙不模糊,考虑良性改变,小血管瘤或神经源性肿瘤可能,建议增强扫描。
作者: 刘阿赵 时间: 2008-6-9 17:56
谢谢,增强扫描做了,眶内病灶与海绵窦同步明显强化,血管瘤
| 欢迎光临 医影在线 (http://bbs.radida.com/bbs/) |
Powered by Discuz! X3.2 |